男,28岁。大量饮酒后中上腹疼痛5小时,同时伴恶心呕吐1小时,呕吐物为胃内容物,含有胆汁样物,无咖啡样液,呕吐后不缓解,并感腹痛逐渐扩散至全腹,逐渐出现腹胀,发热,因而来院就诊。
第1题,共6个问题
(多选题)从临床表现应考虑哪些疾病()
A:急性胃炎
B:急性胆囊炎
C:急性胰腺炎
D:胃、十二指肠急性穿孔
E:急性肾绞痛
F:急性肾炎
第2题,共6个问题
(单选题)应做哪些影像学检查()
A:MRI
B:US
C:ECT
D:CT
E:X线数字减影血管造影
F:消化道造影
第3题,共6个问题
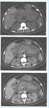
(单选题)患者所做CT图像如下,应考虑哪种疾病() 
A:腹膜后脂肪瘤
B:腹膜后脂肪肉瘤
C:平滑肌肉瘤
D:急性胰腺炎
E:腹膜炎症
F:慢性胆囊炎急性发作
第4题,共6个问题
(多选题)诊断依据是哪些()
A:患者过量饮酒,伴上腹疼痛、恶心呕吐1小时
B:胰腺外形增大,密度不均,边界模糊,与周围组织分界不清
C:胰腺周围有少量水样低密度影
D:胰体外形缩小,密度不均呈团块影
E:肾周筋膜增厚
F:MRI对胰腺假囊肿、出血的定位和大小、形态的判断优于CT
第5题,共6个问题
(多选题)还应做哪些检查()
A:实验室检查:①血白细胞;②血、尿淀粉酶
B:AFP与CEA
C:胃淀粉酶测定
D:血糖测定
E:心肌酶测定
F:胰岛素水平测定
第6题,共6个问题
(多选题)该病出现的并发症有哪些()
A:早期多为休克,后期以感染性并发症为突出
B:局部常见脓肿、假囊肿、腹水等
C:局部可出现软组织肿块
D:出现全身性黄疸
E:胰管扩张
F:腹部可见腹壁静脉曲张