自考题库
首页
所有科目
自考历年真题
考试分类
关于本站
游客
账号设置
退出登录
注册
登录
出自:放射医学主治医师
支架血管成形术的并发症,
不包括
()
A:支架移位
B:血管损伤:包括血管壁穿通和血管破裂
C:支架内急性血栓形成或远端血管血栓栓塞
D:支架感染
E:支架后慢血流
患者,女,28岁,葡萄胎清宫术后4个月,阴道不规则流血,子宫稍大,尿HCG(+),胸片示双下肺有多处片状阴影。最可能的诊断是()
A:葡萄胎残留
B:侵蚀性葡萄胎
C:先兆流产
D:异位妊娠
E:绒毛膜癌
急性心肌缺血的MRS表现为()
A:磷酸肌酸峰升高
B:ATP峰降低
C:无机磷化合物峰降低
D:无机磷化合物/磷酸肌酸降低
E:乳酸峰不变
肝脓肿典型CT征象是()
A:晕圈征
B:半月征
C:靶征
D:牛眼征
E:囊中囊征
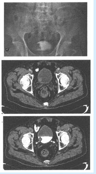
患者,男,65岁,因肉眼血尿2周就诊。无明确原因肉眼全程血尿,无腰痛、下肢水肿,实验室检查:血常规正常,尿常规镜检满视野红细胞,X线平片无异常征象。
第1题,共6个问题
(多选题)根据上述资料,还应该做哪些检查()
A:CT
B:MRI
C:IVP
D:US
E:ECT
F:DSA
第2题,共6个问题
(单选题)患者行IVP及CT检查,图像如下,应考虑患何种疾病()
A:膀胱息肉
B:膀胱癌
C:膀胱横纹肌肉瘤
D:膀胱平滑肌肉瘤
E:膀胱结核
F:膀胱憩室
第3题,共6个问题
(多选题)诊断依据是哪些()
A:IVP右侧膀胱充盈缺损
B:CT膀胱邻近右输尿管息肉样、较宽基底、轮廓不规则肿块
C:右侧输尿管扭曲、扩张
D:临床上全程无痛性血尿
E:老年人
F:盆腔内淋巴结不肿大
第4题,共6个问题
(单选题)诊断该病最敏感、最可靠的是哪些检查()
A:CT
B:US
C:MRI
D:膀胱镜检加活检
E:IVP
F:KUB
第5题,共6个问题
(多选题)本病应该与哪些疾病鉴别诊断()
A:膀胱结核
B:膀胱息肉
C:输尿管肿瘤
D:子宫肌瘤
E:膀胱转移瘤
F:前列腺增生
第6题,共6个问题
(多选题)膀胱癌从病理上可分为()
A:移行细胞癌
B:鳞状细胞癌
C:腺癌
D:未分化癌
E:原位癌
F:髓样癌
第5腰椎关节面呈()
A:水平位
B:冠状位
C:矢状位
D:凸面型
E:波浪形
男,52岁,乙肝表面抗原阳性,USG发现肝内多发略低回声结节灶,CT增强扫描动脉期病灶呈片样或环样强化,静脉期病灶密度低于周围肝组织。
第1题,共2个问题
(单选题)CT诊断为()
A:弥漫性肝癌、肝转移瘤
B:结节性肝硬化、肝转移瘤
C:弥漫性肝癌、结节性肝硬化
D:结节性肝硬化、胆管细胞癌
E:肝转移瘤、肝腺瘤
第2题,共2个问题
(单选题)以下哪种CT征象有利于上述两种疾病的鉴别()
A:肝叶比例失调
B:门静脉癌栓形成
C:病灶内出血
D:胆管扩张
E:脾大
男性生殖系统最常见的疾病是下列哪一项()
A:前列腺增生
B:精囊病变
C:前列腺癌
D:睾丸肿瘤
E:输精管囊肿
患者,女,35岁。经肾盂切开取石术及D.J管安置术后,现欲了解D.J管位置,最佳的检查方法为()
A:排泄性尿路造影
B:逆行肾盂造影
C:B超
D:MRI
E:腹部平片
不需选用微导管进行栓塞治疗的疾病为()
A:颅内动脉瘤
B:颅内AVM
C:硬脑膜动静脉瘘
D:肝亚段栓塞
E:多发性脾破裂出血
甲状旁腺功能亢进早期骨骼改变是()
A:骨质密度减低
B:骨膜下骨质吸收
C:骨内囊状透亮区
D:病理性骨折
E:骨骼变形
女性,43岁,发现左侧颌下包块2年多,近3个月明显增大。行CT增强扫描如图所示:
第1题,共2个问题
(单选题)最可能的诊断是()
A:血管瘤
B:淋巴结核
C:神经鞘瘤
D:淋巴管囊肿
E:淋巴瘤
第2题,共2个问题
(单选题)若要明确肿瘤与邻近结构的关系,最好行以下哪种检查()
A:X线平片
B:CT
C:超声
D:MRI
E:DSA
关于Caroli病的CT表现,错误的是()
A:肝内胆管扩张,右叶为主
B:肝门区中心胆管不扩张
C:肝内多个小囊状区域,与肝内胆管不连接
D:扩张的肝内胆管可有小结石影
E:肝硬化表现
肾周血肿是()
A:血液在肾包膜外吉氏筋膜内
B:局部肾实质损伤,肾内血肿
C:肾实质内出现低密度三角区
D:从肾实质到集合管系统的分裂伤
E:血液在肾外及肾包膜内呈新月形
患儿,男,12岁,头痛、呕吐2周。CT示第四脑室扩大,内有菜花样混杂密度,不均匀强化。最可能的诊断为()
A:脑膜瘤
B:髓母细胞瘤
C:脉络丛乳头状瘤
D:室管膜瘤
E:星形细胞瘤
胃后壁穿孔()
A:网膜囊积气
B:腹膜后间隙积气
C:网膜囊积气、腹膜后间隙不积气
D:网膜囊不积气、腹膜后间隙积气
E:两者均无
CT()
A:利用透过人体的X线,直接使胶片感光的成像方法
B:利用透过人体的X线,首先记录于影像板上,然后经激光读取影像板上的潜影,经计算机处理后获得数字化图像的成像方法
C:利用透过人体的X线,在荧光成像基础上进行缩微摄片的成像方法
D:利用透过人体的X线,首先由弧形排列的探测器取得信息,经计算机处理而获得的重建断层图像的成像方法
E:利用透过人体的X线,直接用平板探测器等类似的电子暗盒取得信息,经计算机处理后获得数字化图像的成像方法
下咽部以下的颈椎前软组织厚度可达()
A:10mm
B:12mm
C:14mm
D:16mm
E:18mm
患者,男,50岁。腹痛1个月伴黄疸1周,体重减轻5kg。CT检查发现胰腺占位,肿块边缘呈分叶状,胰腺正常光滑连续的轮廓曲线被中断,诊断为胰腺癌。一般情况下不出现的影像学表现是()
A:平扫时肿瘤与胰腺实质呈等密度或略低密度
B:肿瘤内可有不规则边界模糊的低密度液化坏死区
C:增强扫描大多数肿块早期明显强化而呈高密度,周围正常胰腺组织强化较慢
D:肿块侵犯胰内胆总管和主胰管可引起阻塞出现胆管和胰管扩张,呈现双管征
E:上消化道钡餐表现为十二指肠内缘黏膜皱襞受压变平或呈异常的毛刷状,以及十二指肠腔内出现充盈缺损或内缘出现双边压迹
患者,男,45岁。已婚,无痛性肉眼血尿2个月余入院,患者自述近2个月来体重减轻4kg,绞痛发作时伴恶心、呕吐,面色苍白甚至虚脱症状,入院检查:心、肺无异常,腹部触诊可触及肿块。
第1题,共2个问题
(单选题)最可能的初步诊断为()
A:肾结石
B:肾恶性肿瘤
C:肾脓肿
D:肾结核
E:肾外伤
第2题,共2个问题
(单选题)首选影像学检查方法应选用()
A:X线尿路造影和CT
B:MRI
C:B超
D:肾动脉造影
E:CT平扫
脑梗死水肿消退的时间()
A:1周
B:2周
C:2~3周
D:4周
E:1个月
透明细胞癌最好发的部位是()
A:肾实质
B:肾小盏
C:肾盂
D:输尿管
E:膀胱
有关硅肺的叙述错误的是()
A:早期可出现间隔B线
B:矽结节的显示是诊断硅肺的主要依据
C:矽结节大多数从两肺上野开始出现
D:矽结节的开始出现以右肺多见
E:矽结节的晚期融合一般在两侧锁骨附近外围开始
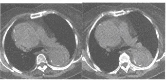
女性,58岁。突感胸骨后疼痛来院就诊。行胸部CT平扫如图:
第1题,共3个问题
(单选题)应首先排除()
A:胸主动脉硬化
B:主动脉壁内血肿
C:胸主动脉夹层并破裂
D:胸主动脉破裂
E:主动脉炎
第2题,共3个问题
(单选题)若考虑上述诊断则可能的分型是()
A:主动脉夹层(DeBakeyⅠ型或Ⅱ型)
B:主动脉夹层(DeBakeyⅡ型)
C:主动脉夹层(DeBakeyⅢ型)
D:主动脉夹层(StanfordB型)
E:无法确定
第3题,共3个问题
(单选题)若要明确诊断,应首选的方法为()
A:X线平片
B:胸部超声
C:MSCTA
D:MRI
E:放射性核素扫描
患者,男,30岁。寒战、高热、咳嗽、气促4天。4天前受凉后突然出现寒战、高热,体温40℃,以午后、晚间为重,咳嗽,咳暗红色血痰,右侧胸痛,深吸气及咳嗽时加重,伴气促。右上肺叩诊浊音,语颤增强,可闻及支气管呼吸音。血WBC19×10/L,N90%。病变在X线下最可能的表现为()
A:呈片状或三角形致密影,致密影内可见支气管充气征
B:呈斑片状模糊致密影,密度不均
C:呈网状及小斑片状影
D:呈浓密的团块状影
E:呈局限性斑片状阴影
肾结核钙化X线表现
不包括
()
A:环状排列
B:斑块状
C:条状
D:均匀细沙状
E:簇状排列
肾结核患者中,静脉肾盂造影最早出现的肾盂改变发生在()
A:肾皮质
B:肾柱
C:肾盂
D:肾锥体
E:以上都不是
有关成人型多囊肾与双侧性多发单纯性囊肿的鉴别诊断,
不正确
的是()
A:后者肾脏增大不明显
B:后者囊肿数目少
C:前者常合并有肝、脾或胰腺囊肿
D:后者无家族史
E:前者一般无钙化
关于肝囊肿的CT表现,哪项是错误的()
A:单发或多发
B:圆形水样密度
C:平扫囊壁一般不显示
D:边界锐利光滑
E:增强扫描囊肿内无强化,囊壁强化而显影
肿块位于肾与肾上腺区时,可判断为肾脏肿瘤的MRI表现是()
A:肿瘤大部分位于肾上腺区
B:肾皮髓质分界消失
C:肾皮髓质分界清晰可见
D:肾上腺显示不清
E:肿瘤与肾脏分界清楚
首页
<上一页
49
50
51
52
53
下一页>
尾页