自考题库
首页
所有科目
自考历年真题
考试分类
关于本站
游客
账号设置
退出登录
注册
登录
出自:神经病学高级职称
高血压脑病的血压突然升高通常在( )
A:舒张压>140mmHg,或血压>180/120mmHg
B:舒张压>110mmHg,或血压>140/90mmHg
C:舒张压>120mmHg,或血压>160/100mmHg
D:舒张压>120mmHg,或血压>150/90mmng
E:舒张压>130mmHg,或血压>170/110mmHg
动眼神经检查包括( )
A:瞳孔大小
B:眼裂大小
C:角膜反射
D:眼球向上、下、内运动
E:瞳孔对光反射、调节反射
癫痫患者在发作间歇期的首次脑电图检查中,痫样放电的发现率为( )
A:<50%
B:<40%
C:<30%
D:<20%
E:<10%
脑缺血后脑组织开始明显水肿并且出现大量炎性细胞浸润发生在( )
A:坏死期
B:急性期
C:软化期
D:超早期
E:恢复期
膝腱反射的节段定位是 ( )
A:S
1-2
B:S
3-5
C:L
1-2
D:L
2-4
E:S
4-5
何谓Wilson病?
深感觉检查包括哪些内容?
脑棘球蚴病的临床表现为( )
A:发热、头痛、昏迷等脑炎样
B:颅内压增高和(或)脑局灶损害的脑瘤样
C:迅速偏瘫等脑局灶损害的卒中样
D:妄想、幻觉等精神分裂症样
E:智能减退等痴呆样
一个45岁的基底动脉尖动脉瘤患者,4年来出现进行性痉挛性下肢轻瘫,近期迅速出现尿失禁,并有双足趾麻木,右侧重于左侧,以及双大腿和后背疼痛。上述症状有较为缓渐的波动,但病情加重与减轻之间没有明显的界线。患者视力、眼球运动及四肢近端活动无明显异常。动脉瘤夹闭术后3个月病情无明显改善。 对膀胱功能采取膀胱内压描记分析有可能出现下述哪种异常( )
A:膀胱张力低下
B:大量的残余尿
C:膀胱过早排空
D:膀胱排空自主控制正常
E:尿道感染
可通过降低毛细血管的通透性,维持血脑屏障功能,从而抗脑水肿的药物是( )
多在脑水肿症状较轻病情好转期应用,但用量过大或输液过快时容易发生溶血的药物是( )
可以降低脑水肿,但易并发感染或促进上消化道应激性溃疡并且影响血压和血糖控制的药物是( )
A:甘露醇
B:利尿剂
C:复方甘油
D:地塞米松
E:白蛋白
何谓进行性肌营养不良症(PMD)及临床分型?
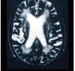
根据患者MRI表现,考虑其痴呆最可能的原因是( )
A:癫痫
B:血管病
C:Alzheimer病
D:Parkinson病
E:Creutzfeldt-Jakob病
如图箭头所示为小脑哪个部位( )
A:小脑中脚
B:小脑下脚
C:小脑扁桃体
D:小脑上脚
E:小脑蚓部
重症肌无力40岁以前发病者以_________性居多,中年以上发病者以_________性居多。
急性突起的周围性面瘫伴同侧外耳道内脓液、听力减退,可能的诊断为( )
A:特发性面神经麻痹
B:Guillain-Barre综合征
C:小脑脑桥角病变
D:耳源性面神经麻痹
E:Hunt综合征
低颅压性头痛
对亚急性硬化性全脑炎的病程和预后描述正确的是( )
A:病程可持续数月至2~3年
B:通常1~3年内死亡
C:少数病例也可有病程持续10年以上
D:预后很好
E:70%的患者病情可长期稳定或缓解
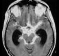
女患者,35岁,发热、头痛、呕吐3天,体重减轻,有肺结核史5年。查体颈抵抗感,克氏征(±)头颅MRI表现如图,最可能的诊断是( )
A:病毒性脑膜炎
B:隐球菌性脑膜炎
C:单纯疱疹病毒性脑炎
D:结核性脑膜炎
E:神经系统钩端螺旋体病
脑桥出血有哪些临床特点?
同心圆性硬化在MRI上有何特异表现?
脑动脉系统包括前循环:供应____________和__________部分的血液。后循环:供应____________、__________、_______、__________和__________的血液。
癫痫病理灶
疑似椎—基底动脉血栓形成时,临床表现为脑桥外侧综合征(MillArd-GuBle综合征),即同侧眼球外展麻痹和周围性面肌麻痹,对侧肢体偏瘫。应考虑哪一部分血栓形成( )
疑似椎—基底动脉血栓形成时,临床表现为眩晕,眼球震颤,交叉性痛、温觉减退,同侧肢体小脑性共济失调,同侧真性球麻痹,同侧霍纳征,一般没有锥体束受损的表现,应考虑哪一部分血栓形成( )
疑似椎—基底动脉血栓形成时,临床表现为Foville综合征,即双眼球向病变侧的侧视运动障碍及对侧偏瘫,但有的仅表现为对侧偏瘫,应考虑哪一部分血栓形成( )
A:单侧脑桥正中动脉血栓形成
B:单侧脑桥旁中央动脉血栓形成
C:小脑后下动脉血栓形成
D:小脑梗死
重复神经电刺激时,低频波幅递减大于__________和高频刺激波幅递减大于________为异常;高频刺激波幅递增大于__________为可疑异常,大于_________为异常。
深反射亢进见于( )
A:后根受损
B:前角受损
C:肌肉病变
D:后索受损
E:锥体束受损
Lennox-Gastaut综合征首选哪种药物治疗?
患者,女,50岁。二天前开始头痛,服止痛片可缓解。2小时前打麻将时又突然头痛加剧,并呕吐,继之倒地,呼之不应。急送医院就诊。查体:神志清楚,痛苦表情,对答切题;眼底正常,左睑下垂,瞳孔散大,光反射消失;无面瘫,伸舌居中;右上下肢轻瘫,感觉正常;颈抵抗,Kernig征阳性。你准备作什么检查来确定诊断?
皮肌炎(DM)
无张力性发作
颈内动脉系统主要供血部位是( )
A:基底核区
B:小脑和脑干
C:眼部和大脑前3/5的脑组织
D:大脑各个皮质区
E:大脑前3/5脑组织
首页
<上一页
48
49
50
51
52
下一页>
尾页