自考题库
首页
所有科目
自考历年真题
考试分类
关于本站
游客
账号设置
退出登录
注册
登录
出自:放射医学技术(士)
下列摄影条件换算关系,错误的是()
A:其他条件不变时,管电压的N次方与管电流成正比
B:管电压是影响影像密度、对比度及信息量的重要因素
C:由于X线管容量的限制,管电流的选择不是任意的,应从X线管规格表中找出对应于管电压和摄影时间的最大管电流
D:其他条件不变时,管电流与摄影距离的平方成正比
E:其他条件不变时,管电流与增感屏的增感率成反比
横向弛豫是指()
A:T1弛豫
B:自旋-自旋弛豫
C:自旋-晶格弛豫
D:氢质子顺磁场方向排列
E:氢质子逆磁场方向排列
下列对电容电流的描述正确的是()
A:电容电流对自整流X线机管电流测量电路有影响
B:在半波整流电路中,电容电流对管电流测量有影响
C:在单相全波整流电路中,电容电流对管电流测量没有影响
D:在透视时,电容电流对单相全波整流电路管电流测量影响较大
E:在摄影时,电容电流对单相全波整流电路管电流测量影响较大
关于脊柱CT平扫的技术描述错误的是()
A:颈椎扫描,患者头部略垫高,使椎体尽可能与床面平行
B:胸椎扫描,患者双手抱头
C:腰椎扫描,用一专用的腿垫,把患者的双腿抬高
D:骶椎扫描,患者侧卧
E:颈椎和腰椎常规扫描做侧位定位像
胰岛A细胞分泌()
A:胰岛素
B:胰高血糖素
C:降钙素
D:糖皮质激素
E:生长素
包裹性积液X线摄影体位除胸部正位,还应加照()
A:前弓位
B:侧位
C:侧卧水平正位
D:仰卧前后位
E:切线位
有关标准姿势的叙述,错误的是()
A:人体直立
B:掌心向前
C:两眼向前方平视
D:双上肢下垂置躯干两侧
E:两下肢并拢,足尖外展
患者,男性,60岁。进行性吞咽困难3个月来诊。
第1题,共1个问题
(单选题)若患者拟行手术治疗,了解周围外侵情况首选检查方法为()
A:胸部X线片
B:上消化道钡透
C:DSA
D:MRI检查
E:胸部CT
颅内肿瘤应尽早选用的检查方法为()
A:透视
B:摄片
C:CT
D:B超
E:脑血管造影
关于数字合成体层叙述正确的是()
A:一次采集只能重建特定层面
B:不能进行负重立位摄影
C:不产生金属伪影
D:辐射剂量大
E:不能多层面连续观察,重检率高,检查时间长
关于X线防护标准的规定,错误的是()
A:全身均匀照射时≤50mSv/年
B:丙种放射工作条件需监测并记录
C:公众的个人剂量当量:单个组织≤50mSv/年
D:未满16岁者可以参与放射工作
E:非放射专业学生教学期间有效剂量当量≤0.5mSv/年
关于CT扫描技术,理解错误的是()
A:定位扫描指X线球管和探测器静止不动,X线球管在病人移动的同时进行曝光
B:重叠扫描指扫描层厚小于层间距的扫描
C:薄层扫描指扫描的层厚及层间距在3~5mm范围内的扫描
D:高分辨率扫描是为增加较小病变的检出率而采取的增加扫描条件的薄层扫描
E:目标扫描仅对感兴趣的平面实施扫描
采用下列哪种方法可以提高食管静脉曲张的显示率()
A:立位比卧位好
B:深吸气或加用Valsalva法
C:多做吞咽动作
D:呼气后屏气
E:不做吞咽动作
脑可分为四部分,其中包括()
A:脑干、小脑、间脑、大脑
B:大脑、间脑、小脑、中脑
C:大脑、小脑、中脑、延髓
D:大脑、间脑、小脑、脑桥
E:脑桥、中脑、延髓、脊髓
DSA基于()
A:数字荧光成像
B:超声波成像
C:断层成像
D:核素成像
E:模拟成像
关节的辅助结构
不包括
()
A:囊内韧带
B:关节盘
C:半月板
D:关节唇
E:关节面
下列哪一项不是左心房增大的X线表现()
A:左主支气管抬高
B:左四弓征
C:右三弓征
D:食管受压移位吸气时消失
E:双房征
能量减影成像是使用两种()进行成像
A:不同能量造影剂
B:不同能量X线
C:不同能量的电流
D:不同能量的机械波
E:不同能量的机器
下述导致几何学模糊增加的因素是()
A:尽量用小焦点
B:增大焦-片距
C:减小肢-片距
D:减小焦-肢距
E:使用大照射野
以下设备
不属于
数字X线设备的是()
A:DF
B:DSA
C:DR
D:CR
E:MRI
单相全波整流输出电压峰值V1与交流输入峰值V2的关系是()
A:Vl>V2
B:Vl
C:Vl≈V2
D:Vl=1.4V2
E:V2=1.4V1
膈的主动脉裂孔位置()
A:在第12胸椎水平
B:在第11胸椎水平
C:在第10胸椎水平
D:在第8胸椎水平
E:在第1腰椎水平
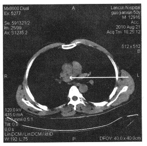
下面胸部断层图像中箭头所指为()
A:主动脉弓
B:肺动脉干
C:右肺动脉
D:上腔静脉
E:纵隔淋巴结
与感光效应呈平方反比关系的因素是()
A:管电流量
B:摄影距离
C:管电压值
D:胶片感度
E:增感率
影响照片影像密度的因素错误的是()
A:正常曝光时,密度与照射量成正比
B:管电压增加,照片密度增加
C:被照体厚度、密度增加,影像密度增加
D:摄影距离增大,密度降低
E:与照片的显影加工条件有关
X线球管组件的散热方式
不包括
()
A:密封管套,风扇散热
B:密封管套,自然散热
C:密封管套,空调散热
D:闭路油循环风冷散热
E:管套内冷水循环散热
对影像增强器组成的正确描述是()
A:由输入屏、电子透镜、输出屏组成
B:由增强器、光学系统、摄像机组成
C:由管套、增强管、吸气泵组成
D:由增强管、管套、电源组成
E:由增强管、物镜、监视器组成
为增加管套的散热速度,机器本身常用的方法
不包括
()
A:密封管套、自然散热
B:密封管套氟利昂散热
C:密封管套、风扇散热
D:闭路油循环风冷散热
E:管套内冷水循环散热
CT检查前患者的准备工作
不包括
()
A:患者须携带有关检查资料
B:被检查患者的家属不能进入CT室
C:对患者应作好耐心的解释说明工作
D:对于不能合作的患者事先给予镇静剂
E:需要做增强的患者做或不做过敏试验
关于增感屏的结构叙述错误的是()
A:包括基层
B:包括保护层
C:包括乳剂层
D:包括荧光体层
E:包括反射层或吸收层
首页
<上一页
48
49
50
51
52
下一页>
尾页