自考题库
首页
所有科目
自考历年真题
考试分类
关于本站
游客
账号设置
退出登录
注册
登录
出自:放射医学主治医师
中年男性,腰部不适,伴有阵发性腹痛,行KUB和IVP检查,见下图,你考虑哪种疾病()
A:肾积水
B:肾肿瘤
C:输尿管积水
D:输尿管结石
E:肾囊肿
皮革状胃,以下X线征象哪项是错误的()
A:胃黏膜皱襞形态不变
B:胃腔缩小
C:幽门管多呈关闭状态
D:胃壁蠕动消失
E:食管无扩张
施莫尔结节是指椎间盘()
A:向前突出
B:向后突出
C:向椎间孔突出
D:向椎旁突出
E:向椎体内突出
肺部转移瘤可来自()
A:血行转移
B:淋巴转移
C:邻近器官直接蔓延
D:以上都是
E:以上都不是
心脏黏液瘤最好发生于()
A:左心室
B:右心室
C:左心房
D:右心房
E:心包
能够和抗癌剂混合成乳剂,注入后既能闭塞血管,又能缓慢释放化疗药物,广泛用于肝癌的栓塞治疗的长期、外围性栓塞剂是()
A:异丁基-2-氰丙烯酸盐
B:可脱离性球囊
C:钢圈
D:鱼肝油酸钠
E:碘化油
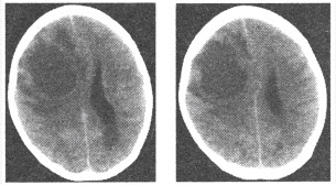
女,30岁,左侧肢体无力1周,无发热,增强CT检查如图,最可能的诊断为()
A:胶质瘤
B:脑膜瘤
C:淋巴瘤
D:转移瘤
E:脑脓肿
矩阵是()
A:表示一个横成行纵成列的数字阵列
B:代表一定厚度的三维体积单元
C:构成数字图像像素的基本单元
D:正立方体单元
E:各向同性图像
急性化脓性骨髓炎发病10天内X线平片检查可见()
A:新生骨形成
B:明显的骨质破坏
C:骨骼无明显变化
D:出现死骨
E:骨膜增生
患者自幼出现胸骨左缘第2肋间二级收缩期喷射性杂音,第二心音固定分裂,无发绀,最可能的X线表现是下列哪项()
A:肺血少,肺动脉段突出,右心房、室增大
B:肺血多,肺动脉段突出,右心房、室增大
C:肺血多,主动脉结突出,左、右心室增大
D:肺血多,肺动脉段突出,左、右心室增大
E:肺血少,肺动脉段凹陷,右心室增大
患者,女,63岁,左上肺癌切除后8个月发现腰痛,X线平片见第2、4腰椎体及椎弓根有骨质破坏,第2腰椎体压缩骨折。首先考虑为()
A:老年性骨质疏松
B:多发性骨髓瘤
C:骨转移瘤
D:腰椎退行性骨关节病
E:脊索瘤
泪滴距()
A:髂翼的外侧面与股骨颈外侧面的弧形连线
B:上耻骨支的下缘与股骨颈内侧缘的弧形连线
C:股骨上干骺端的内侧面与相邻髋臼壁的距离
D:经过两侧"Y"形软骨中央的连线
E:经过髋臼外侧缘向下的垂线
中心型肺癌X线不易发现的征象为()
A:肺不张
B:肺气肿
C:阻塞性肺炎
D:支气管黏液嵌塞
E:肺门肿块
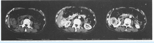
患者,男,65岁。全程无痛性血尿半年,不伴尿急、尿痛;半年反复肉眼血尿,尿常规示:红细胞4~5/HP,白细胞0~2/HP,蛋白(+),查体:双肾区叩击痛阴性,尿道未见异常。
第1题,共3个问题
(多选题)患者可进行的影像学检查()
A:腹部平片
B:CT
C:MRI
D:逆行膀胱造影
E:超声
F:IVP
第2题,共3个问题
(单选题)CT检查所示如下图,诊断为()
A:肾癌
B:肾盂癌
C:肾囊肿
D:肾错构瘤
E:肾母细胞瘤
F:肾转移瘤
第3题,共3个问题
(多选题)关于肾癌的说法
不正确
的是()
A:病灶可合并出血、钙化
B:是乏血供肿瘤
C:青年易发病,女性多于男性患者
D:典型增强表现为“快进快出”
E:肾实质内肿块
F:以上都不是
肠套叠最常见的类型是()
A:小肠型
B:回盲型
C:回结肠型
D:结肠型
E:复式套叠
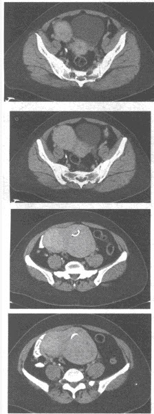
女,35岁,下腹部不适,CT扫描子宫增大呈分叶状,CT扫描如图所示,首先应该考虑的是()
A:子宫肌瘤
B:子宫内膜癌
C:葡萄胎
D:妊娠
E:子宫肌腺瘤
女性,36岁,右膝关节肿胀疼痛2年,X线示膝关节股骨和胫骨非承重面虫噬样骨质破坏,骨质密度低,关节肿胀。
第1题,共2个问题
(单选题)应诊断何种疾病()
A:关节结核
B:化脓性关节炎
C:类风湿关节炎
D:退行性骨关节病
E:神经性关节病
第2题,共2个问题
(单选题)哪种检查方法显示关节积液最敏感()
A:平片
B:DSA
C:CT平扫
D:MRI
E:增强CT扫描
大脑前动脉出血主要位于()
A:前纵裂池
B:后纵裂池
C:外侧裂池
D:环池
E:前纵裂池和鞍上池
以下关于鼻咽癌的描述,
不正确
的是()
A:鼻咽癌常表现为一侧咽隐窝变浅或消失
B:早期鼻咽癌MRI
1
TWI显示效果较T
2
WI好
C:鼻咽癌可沿肌束、神经血管束蔓延
D:患侧咽旁间隙向内移位
E:鼻咽癌MRI增强后呈中等程度强化
关于烟雾病,下列说法正确的是()
A:又称Sturge-Weber综合征
B:病理改变主要是双侧颈内动脉起始段管腔狭窄,也可以完全闭塞
C:病变区内膜增生肥厚、变性,侧支循环明显扩张形成毛细血管网
D:好发于欧美白色人种,好发年龄20~30岁
E:以单发病灶,一过性病程为特点
患儿,8岁。患急性传染病后,又出现气急、发绀、咳嗽、鼻翼扇动等症状,而呼吸体征少。X线片主要表现为肺纹理增强、网状及小结节状影、肺气肿等。该病最可能诊断为()
A:化脓性肺炎
B:间质性肺炎
C:过敏性肺炎
D:大叶性肺炎
E:放射性肺炎
骨样骨瘤的MRI表现中,哪项错误()
A:肿瘤的未钙化部分在T
1
WI上呈低到中等信号,T
2
WI上呈高信号
B:肿瘤的钙化部分在T
1
WI和T
2
WI上均呈高信号
C:瘤巢周围骨质硬化在T
1
WI和T
2
WI上均呈低信号
D:肿瘤周围的骨髓和软组织呈长T
1
、长T
2
信号
E:部分肿瘤伴有邻近关节积液和滑膜炎症
卵巢转移癌最常见的原发性肿瘤是()
A:肺癌
B:胶质瘤
C:肾癌
D:甲状腺癌
E:胃肠道或乳腺肿瘤
肾上腺转移瘤()
A:水样密度类圆形肿块,不发生强化
B:低密度类圆形肿块,发生强化
C:双侧均为软组织密度肿块,发生不同程度均匀强化
D:密度不均匀肿块,内有脂肪性低密度灶
E:较大软组织密度肿块,中心有不规则坏死、囊变,并呈不均匀强化
患者,男,62岁,有无痛性血尿;X线平片可见肾轮廓局限性外凸;尿路造影见肾盏拉长、狭窄和受压变形,下组肾盏边缘不规则,并有不规则充盈缺损出现。该患者进一步检查首选()
A:B型超声
B:逆行性输尿管造影
C:肾图
D:肾穿刺活检
E:CT
下列哪种病变起源于骨髓及造血组织()
A:骨巨细胞瘤
B:骨样骨瘤
C:骨软骨瘤
D:尤因肉瘤
E:动脉瘤样骨囊肿
X线机房的主防护应该有铅当量的厚度为()
A:4mmPb
B:3mmPb
C:2mmPb
D:1mmPb
E:0.5mmPb
女,56岁,反复发热、咳嗽、咳脓痰3个月,胸片见左下肺多个薄壁囊腔,可见多个小液气平面,首先应考虑()
A:肺脓肿
B:肺支气管囊肿
C:肺癌空洞
D:肺结核空洞
E:囊状支气管扩张
患者,女,43岁。右乳腺癌手术放疗结束后出现咳嗽,多为干咳无痰,时有低热。胸部X线片显示右上、中肺野出现大片状致密阴影,CT扫描显示病灶跨叶分布,病灶边缘较平直。请问该患者应诊断为()
A:过敏性肺炎
B:真菌性肺炎
C:放射性肺炎
D:间质性肺炎
E:肺炎型肺癌
患者,女,绝经后不规则阴道流血,并有下腹部及腰部疼痛,CT提示子宫腔内可见软组织密度肿物,肿瘤呈菜花状或结节状,妇科检查宫颈口有突出物质,质脆,触之易出血。
第1题,共3个问题
(单选题)下列子宫体癌描述错误的是()
A:主要表现为绝经后不规则阴道流血
B:增强扫描没有意义
C:需要与平滑肌肉瘤鉴别
D:肿块可呈菜花状
E:增强后呈明显强化
第2题,共3个问题
(单选题)下面的CT表现错误的是()
A:密度高于正常强化的子宫肌
B:肿块呈菜花状或者结节状
C:周围可为更低的积液所环绕
D:附件可受侵
E:肿瘤可以填满整个子宫
第3题,共3个问题
(单选题)最可能的诊断为()
A:子宫肌瘤
B:宫颈癌
C:子宫体癌
D:子宫腺肌病
E:平滑肌肉瘤
首页
<上一页
48
49
50
51
52
下一页>
尾页