自考题库
首页
所有科目
自考历年真题
考试分类
关于本站
游客
账号设置
退出登录
注册
登录
出自:内分泌学高级职称
下列是高渗性昏迷临床特点的是()。
A:皮肤潮湿多汗,呼吸正常
B:多发于青年,已有糖尿病史
C:脉搏饱满,血压稍高
D:尿糖阴性,尿酮阴性
E:起病慢,有嗜睡幻觉、震颤、抽搐等
患者:男性,20岁,因隐睾就诊,出生时正常,智力正常,初中毕业,因身材矮小(身高1.25m),常有自卑感,不和群。查:营养一般,皮肤细腻,无胡须,肝脾未及;血压:100/70mmHg,心率:78次/分钟。最适合的治疗是()。
A:生长激素替代治疗
B:生长激素替代治疗后,绒促性素治疗
C:L-T4替代治疗
D:增加营养
E:补充钙剂
下列哪项检查能反映下丘脑-垂体-甲状腺轴功能( )
A:TT3、TT4
B:TSH
C:TT4、FT4
D:TT3、FT3
E:FT3FT4
下列选项中,不符合嗜铬细胞瘤消化系统表现的是()。
A:可引起腹泻
B:胆石症发生率高
C:可引起胆汁潴留
D:可引起肠出血
E:可引起肠扩张
女性,28岁。烦渴多尿1年,不规律用胰岛素治疗,纳差、呕吐3天。体检:T36.2℃,呼吸深大有异味。血糖22mmol/L,尿糖(++++),酮体(+++)。最可能的诊断为()。
A:急性肠炎+代谢性酸中毒
B:代谢性碱中毒
C:乳酸酸中毒
D:糖尿病酮症酸中毒
E:非酮症高渗性糖尿病昏迷
女,40岁,因“半年体重增加20kg,伴月经紊乱、多毛、头痛”来诊,蝶鞍X片未见蝶鞍扩大,皮质醇节律消失,小剂量地塞米松抑制率20%,大剂量地塞米松抑制率60%,诊断考虑是( )
A:肾上腺皮质腺瘤
B:肥胖症
C:Cushing病
D:肾上腺皮质癌
E:异位ACTH综合征
胰岛素推注完毕后,针头至少要留置在体内()后再拔出。
完整的内分泌疾病的诊断应包括______、______、_______三个方面。
需要与生长激素缺乏性侏儒症相鉴别的有()。
A:黏多糖综合征
B:骨软骨发育不良
C:社会心理性侏儒
D:特发性矮小症
E:营养障碍
下列哪些符合激素的化学特点分类( )
A:肽类激素
B:类固醇类激素
C:脂类激素
D:氨基酸类激素
E:胺类激素
下列各项中除了哪一项之外都与低血糖临床表现的严重程度密切相关( )
A:年龄
B:低血糖发生的时间
C:低血糖发生的速度和持续时间
D:机体对低血糖的反应
E:低血糖的程度
患者女,75岁,因“乏力、肌肉酸痛2d”来诊。入院前1周因“流涕、咳嗽”自服“阿奇霉素”7d。无发热,无少尿、水肿。无外伤史。既往有高血压、冠心病、混合性血脂异常史(高LDL-C血症和低HDL-C血症),长期口服阿托伐他汀、阿司匹林、依那普利、HCT。否认糖尿病病史。查体:T36.6℃,P80次/min,R18次/min,BP120/70mmHg;心、肺未见异常;四肢肌肉压痛,双下肢无水肿。
第1题,共3个问题
(单选题)为明确诊断,应进行的检查是()。
A:CK
B:AST和ALT
C:肾功能
D:血常规
E:胸部X线片
第2题,共3个问题
(单选题)如患者查CK高于正常上限5倍,血Scr100μmol/L,最先采取的措施是()。
A:停用阿司匹林
B:停用阿托伐他汀
C:停用依那普利
D:停用HCT
E:不予处理
第3题,共3个问题
(单选题)肌肉酸痛的原因首先排除()。
A:退行性关节病变
B:他汀类药物引起的肌炎
C:感冒
D:冠心病
E:混合性血脂异常
患者男,63岁,因“左乳房肿胀6个月,体重明显减轻2个月”来诊。患者1年前无明显原因出现右乳房明显肿胀,怕热、多汗、心悸,于当地医院行手术切除右乳肿块,病理报告为乳腺增生。半年前出现左乳肿胀,近2个月体重明显减轻就诊。查体:P92次/min;消瘦貌,眼球无突出,甲状腺Ⅰ度弥漫性肿大;右侧乳晕处可见约3cm长术痕;双手细震颤(+);睾丸未见异常。考虑该患者乳房增生的原因可能为()。
A:生理性
B:睾丸功能减退
C:药物性
D:甲状腺功能亢进
E:老年性
F:特发性
男性,40岁,体检发现空腹血糖6.4mmol/L。如患者糖负荷后2小时血糖11.1mmol/L,下列正确的是()。
A:再复查一次空腹血糖
B:诊断糖尿病
C:糖化血红蛋白
D:复查糖耐量试验
E:餐后2小时血糖
男子乳房发育的治疗药物除外()。
A:睾酮
B:他莫西芬
C:克罗米芬
D:绒毛膜促性腺激素
E:丹那唑
皮质醇增多症常见的皮肤改变中
不包括
()。
A:紫纹
B:淤斑
C:白斑
D:毛囊角化
E:皮肤癣
有些2型糖尿病患者可发生餐后反应性低血糖。
垂体瘤的诊断
治疗甲状腺危象宜采用()。
A:大量抗甲状腺药物
B:复方碘液
C:β-肾上腺素受体阻滞剂
D:肾上腺皮质激素
E:ATD治疗首选PTN
高脂蛋白血症Ⅰ型( )
A:血脂测定主要为甘油三酯增高
B:血脂测定主要为胆固醇增高
C:胆固醇水平可以正常或轻度增高
D:主要为血浆中乳糜微粒增加所致
E:又称家族性高乳糜微粒血症
患者:女性,25岁,3个月来闭经,乳房胀,TRH兴奋实验无明显变化。
第1题,共2个问题
(单选题)下面哪项催乳素检查结果可帮助确诊()。
A:150μg/L
B:200μg/L
C:250μg/L
D:300μg/L
E:350μg/L
第2题,共2个问题
(单选题)最可能的诊断是()。
A:早孕
B:甲亢
C:泌乳素瘤
D:结核
E:继发性闭经
下列哪些情况适于胰岛素治疗( )
A:T1DM
B:T2DM(肥胖)
C:DKA
D:DM合并肺TB
E:妊娠期DM
Grave突眼按病变程度可分为________和________两类。
下列检查项目不可用于评价甲状腺药物的疗效的是( )
A:甲状腺摄(131)I率
B:基础代谢率
C:TT3,TT4
D:FT3,FT4
E:血浆蛋白结合碘
男,30岁,主诉口渴、多饮、多尿1个月,尿比重偏低。为确证此病人有无尿崩症,下列试验应首选()。
A:禁水试验
B:测量每日尿总量
C:禁水-加压素联合试验
D:测血浆渗透压
E:测尿渗透压
2型糖尿病患者,空腹血糖9mmol/L,血Scr165μmol/L(正常值<110μmol/L),余均正常。首选药物为()。
A:格列吡嗪
B:格列本脲
C:格列齐特
D:格列喹酮
E:二甲双胍
神经内分泌组织是指()。
A:垂体前叶
B:垂体后叶
C:下丘脑
D:垂体门脉系统
E:鞍区的颅咽管组织
男,56岁,身高170cm,体重80kg,其母亲有糖尿病。查:空腹血糖8.5mmol/L,多次尿糖(+),治疗方案首选( )
A:单纯控制饮食
B:控制饮食+达美康
C:控制饮食十优降糖
D:控制饮食+体育锻炼
E:减肥
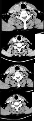
男,43岁,因右颈部扪及一包块来院就诊。如图所示该患者应诊断为( )
A:甲状腺腺瘤
B:甲状腺腺癌
C:结节性甲状腺肿
D:甲状腺原发淋巴瘤
E:甲状腺转移瘤
浸润性突眼与非浸润性突眼不同之处,
不包括
()。
A:病情呈进行性
B:所伴有甲亢症状也较重
C:眼球突出度>19mm
D:可有眼球后软组织、眼外肌受累
E:可有角膜炎
首页
<上一页
47
48
49
50
51
下一页>
尾页