自考题库
首页
所有科目
自考历年真题
考试分类
关于本站
游客
账号设置
退出登录
注册
登录
出自:骨外科高级职称
男性,30岁。左膝关节疼痛5个月,逐渐加重,上、下楼梯困难。查体:左髌骨下缘局限性压痛,髌骨研磨试验(+),股四头肌萎缩。X线检查未见异常,核素扫描见髌骨局限性核素浓聚。正确的诊断是()
A:半月板损伤
B:髌韧带损伤
C:交叉韧带损伤
D:髌骨软骨软化症
E:膝关节骨关节炎
肱骨外科颈骨折术后处理正确的是()
A:肩关节外展45°
B:肩关节前屈45°
C:1周拆除缝线
D:2周后开始功能锻炼
E:3周拆除外展架
32岁男性,3天前无明显诱因出现右手中指近节指骨肿胀,疼痛,查体:右手中指近节指骨膨隆,皮肤颜色正常,轻微压痛,关节运动不受限,可能性最大的诊断是( )
A:骨囊肿
B:骨巨细胞瘤
C:内生软骨瘤
D:骨软骨瘤
E:骨结核
前臂骨折最严重的并发症是()
A:骨折不愈合
B:骨折畸形愈合
C:骨折交叉愈合
D:骨筋膜室综合征
E:异位骨化
3岁男孩,妈妈在给穿衣服时牵拉左腕,患儿突然大哭,左肘功能障碍,左手不肯拿取玩物。检查:肘关节略屈曲,桡骨头外有压痛。其可能的诊断是()
A:左肘关节脱位
B:左肱骨髁上骨折
C:左肱骨内髁撕脱骨折
D:左肱骨外髁撕脱骨折
E:左桡骨头半脱位
关于腰椎滑脱下列哪项正确( )
A:腰椎滑脱均应积极手术治疗
B:退变性腰椎滑脱常超过Ⅱ°
C:峡部型滑脱多无明确的外伤史
D:腰椎滑脱手术治疗最关键是滑脱复位与固定
E:腰椎正侧位X线片可清晰显示峡部情况
65岁,男性病人,腰痛半年,活动后疼痛加重,X线片发现第2腰椎有2cm×2cm溶骨性骨质破坏一侧椎弓根消失,椎间隙正常。下列诊断哪项可能性最大()
A:腰椎结核
B:骨巨细胞瘤
C:转移性骨肿瘤
D:骨囊肿
E:内生性骨软骨瘤
关于骨肉瘤的临床表现,下列正确的是()
A:早期出现间歇性麻木和疼痛,进而为持续性疼痛并逐渐加重
B:局部出现软组织肿块,质硬,增长速度较快
C:肢体出现运动功能障碍
D:体检局部可有压痛及浅表静脉怒张
E:以上都是
断肢的急救
不包括
哪一方面()
A:迅速运送
B:包扎
C:保存断肢
D:清创
E:止血
患者男,24岁,体操运动员。因进行体操训练时突然听到“啪”的响声,随即感到右侧跟腱处剧烈疼痛1h入院。要想确诊应进行的检查是(提示该患者临床表现不典型。)()
A:X线
B:CT
C:B型超声
D:MRI
E:ECT
F:手术探查
骨肿瘤的诊断原则是______、______和______相结合。
男,33岁,右小腿中段骨折入院,管形石膏固定24小时后,自诉足趾疼痛,发凉,查体:足趾不敢活动,以下哪种方法
不正确
()
A:拆除石膏外固定
B:立即切开筋膜减压
C:抬高患肢以利于静脉回流
D:医用脱水剂
E:急查血电解质和尿素氮
下肢骨折引起整个肢体极度外旋位时,最可能的损伤是( )
A:股骨颈骨折
B:股骨干骨折
C:股骨髁上骨折
D:股骨转子间骨折
E:髋关节中心型脱位
胫骨中下1/3骨折常发生骨折不愈合或延迟愈合,原因在于( )
A:附近的主要血管损伤
B:神经损伤后营养供应丧失
C:两骨折段血液供应均减弱
D:近侧骨折段血液供应差
E:远侧骨折段血液供应差
脊柱侧凸是指脊柱向侧方弯曲。应用Cobb法测量站立位X线片的脊柱侧方弯曲,大于多少定义为脊柱侧凸()
A:大于10°
B:大于8°
C:大于6°
D:大于4°
E:大于2°
复合伤是指()
A:两个部位以上的损伤
B:多个致病原因引起的损伤
C:局部放射性损伤
D:坠落性多处损伤
E:胸腹内脏器联合伤
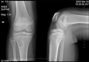
左膝关节酸胀不适,摄片发现左胫骨上段局限性骨质改变如图示,最可能的诊断是()
A:非骨化性纤维瘤
B:骨化性纤维瘤
C:内生软骨瘤
D:骨软骨瘤
E:骨肉瘤
化脓性关节炎的早期表现中,下列哪项是错误的()
A:关节处疼痛,轻微活动即引起剧痛
B:畏寒、高热、全身不适等中毒症状
C:关节肿胀及关节腔内积液
D:患病关节常呈半屈状态
E:X线片可见关节间隙变窄,骨面毛糙
男,3岁,呼吸循环参数的正常值中,错误的数据是()
A:收缩压85mmHg
B:呼吸潮气量160ml
C:脉搏110次/分
D:呼吸频率25次/分
E:循环血容量1.1L
有关肘关节损伤后遗症哪种说法
不正确
()
A:肘内翻畸形的发生率为9%~57%,内翻大于20°时即应手术矫形
B:肘关节骨化性肌炎的发生率儿童高于成年人
C:肘关节损伤后可继发尺神经炎
D:肘外翻达35°以上者应考虑手术治疗
E:创伤性骨化性肌炎与进行性骨化性肌炎不是一种疾病,发病部位与表现亦不相同
患者女,13岁。行走或跑步时膝部不稳定且经常跌倒已1年,跌倒后双膝部酸痛,经休息能缓解。平时上楼梯困难。查体:无明显外伤史,身材矮小,高120cm,心、肺及其他脏器未见异常,双膝无明显肿胀,屈曲时股骨髁间沟空虚,膝关节能伸屈,内侧应力试验、前后抽屉试验阴性,趾端血运及活动好。对该疾病的诊断最具价值的实验室检查是()
A:膝关节X线
B:膝关节MR
C:膝关节CT
D:关节腔穿刺液病理学检查
E:膝关节镜
最常见的先天性脊柱侧凸病因是( )
A:姿势性脊柱侧凸
B:代偿性脊柱侧凸
C:楔形椎体
D:胸源性脊柱侧凸
E:神经源性脊柱侧凸
木工,男性,38岁,工作中右手示指被电锯切割离断,立即将患者送到医院行断指再植。其断指的保存方法应该是用无菌纱布包好放在()
A:生理盐水中
B:酒精中
C:苯扎溴铵(苯扎溴铵)中
D:与冰块直接接触的冰箱中
E:干燥冷藏容器中
急性化脓性骨髓炎行局部引流的原则是( )
A:应尽量避免切开以免形成窦道
B:应待X线片显示骨质破坏时进行
C:待全身中毒症状改善后再施行
D:在软组织内可触及脓肿时施行
E:临床诊断一经明确,抗生素治疗数日无效即行引流
女性,30岁,背痛1个月余,劳累后重,有消瘦、乏力和盗汗。检查胸椎7~8有压痛及叩痛。此时哪项检查不需要()
A:血常规及血沉
B:胸椎正侧位X线片
C:胸大片
D:结核菌素试验
E:同位素骨扫描
稳定性爆破型骨折是脊柱前、中、后三柱同时损伤的结果。( )
诊断骨髓瘤时,下列哪项是错误的()
A:尿中本周蛋白(Bence-Jones)阳性,血沉高达100mm/h
B:常为多发性,偶见单发,多出现病理骨折
C:X线片示圆形凿型溶骨性缺损,周围无反应性新骨
D:多见于青少年
E:骨髓穿刺可确定诊断
二十四岁男性,右腕部出现一进行性增大的质硬肿物3个月伴肿痛,轻微外伤后疼痛症状明显加重。X线片示:桡骨远端存在偏心溶骨性骨质破坏区,伴有病理性骨折,骨皮质膨胀,有“肥皂泡样改变”。
第1题,共2个问题
(单选题)最可能的诊断是( )
A:骨肉瘤
B:骨样骨瘤
C:内生软骨瘤
D:骨巨细胞瘤
E:滑膜肉瘤
第2题,共2个问题
(单选题)这种肿瘤组织内的主要肿瘤细胞为( )
A:Ⅰ型基质细胞
B:巨细胞(破骨细胞)
C:软骨细胞
D:滑膜细胞
E:成骨细胞
腰椎间盘突出症与腰椎椎管狭窄症的鉴别,最主要的根据是()
A:腰痛的部位
B:腰痛的轻重程度
C:有无坐骨神经区的放射痛
D:有无神经源性间歇跛行
E:X线片、造影、CT、MRI等检查
关于椎间孔的描述,下列哪项正确( )
A:由椎体和椎弓围成
B:由椎体和椎弓根围成
C:有脊神经和血管通过
D:由椎体和椎弓板围成
E:内有脊髓和脊神经根
首页
<上一页
47
48
49
50
51
下一页>
尾页