出自:内分泌学高级职称

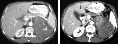
女,43岁,满月脸,皮肤紫纹、月经不规则3月余,请结合所提供图像,作出诊断( )
A:左肾上腺腺瘤 
B:左肾上腺嗜铬细胞瘤 
C:左肾上腺转移瘤 
D:左肾上腺腺癌 
E:左肾上腺增生
何谓伴瘤内分泌综合征?
患者,男,45岁。因自己发现双侧乳房增大就诊。医生询问病史发现其性欲降低约3年余,近2年出现性功能下降、阳痿。为了明确诊断,该医师给患者做了有关检查,但该医师少做了一项检查,而使疾病未得到明确诊断,你认为该医师未做的检查最有可能是下列哪一项( )
A:血浆ACTH水平
B:血浆PRL水平
C:血浆胰岛素水平
D:血浆PTH水平
E:血浆肾素-血管紧张素-醛固酮水平测定
男性,61岁,退休在家,2型糖尿病,身高160cm,体重76kg,FPG6.7mmol/L,尿糖±。制定总热量时,应该如何给予热量( )
A:85~105kJ(20~25kca1)/(kg·d)
B:105~125.5kJ(25~30kca1)/(kg·d)
C:125.5~146kJ(30~35kca1)/(kg·d)
D:146~167kJ(35~40kca1)/(kg·d)
E:>167kJ(40kca1)/(kg·d)
高钙危象可采取的措施有()。
A:大量补液
B:活性维生素D对抗
C:降钙素肌内注射
D:腹膜透析或腹膜透析
E:硫酸镁肌内注射
下列关于腺垂体功能减退症的说法不正确的是( )
A:Sheehan综合征患者临床表现常为全垂体功能减退症 
B:腺垂体功能减退症时,血浆皮质醇浓度降低,节律正常 
C:腺垂体功能减退症时,血清总T3、游离T3均降价,而总T4流离T4可正常或降低 
D:进行腺垂体分泌激素测定时宜相隔15~20min连续抽取等量血液3次,相混后送检 
E:腺垂体功能减退症采用相应靶腺激素替代治疗能取得满意效果,但需要长期、甚至终身维持治疗
病历摘要:患者,女性,36岁,因“易饥多食伴消瘦2月”来诊,2月前患者无明显诱因出现易饥多食,伴体重下降,这2个月来体重减轻10kg,无明显的口渴、多饮、多尿、烦躁、易怒、心悸、发热、咳嗽、胸闷。该患者可能是下列哪种(或哪几种)疾病?()
A:食管癌
B:胃癌
C:重症肝炎
D:下丘脑综合征
E:糖尿病
F:甲状腺功能亢进症

患者,男性。28岁.头颅为高空坠物砸伤昏迷.手术治疗后患者清醒.但患者出现尿量增多.每日达8000~10000ml,尿比重1.002,烦渴,每日饮水约5000ml。



第1题,共4个问题
(单选题)患者可能存在( )
A:糖尿病
B:中枢性尿崩症
C:精神性多饮
D:急性肾衰竭
E:肾性尿崩症

第2题,共4个问题
(单选题)为明确诊断行下列何种检查( )
A:OGTT
B:禁水加压试验
C:头颅CT
D:肾穿刺
E:双肾CT

第3题,共4个问题
(单选题)该症的治疗为( )
A:胰岛素
B:透析治疗
C:DDAVP肌注
D:限制每日饮水量小于1000ml
E:脱水剂

第4题,共4个问题
(单选题)患者1个月后症状仍不减退患者头颅损伤部位可能为( )
A:腺垂体
B:神经垂体
C:垂体柄
D:下丘脑正中隆突
E:大脑皮质
患者男,36岁,因“头晕、乏力、恶心、呕吐5h”来诊。体重50kg。实验室检查:血清钠130mmol/L,血清钾4.5mmol/L;尿相对密度1%。该患者的治疗主要为()。
A:补充高渗氯化钠溶液
B:补充等渗氯化钠溶液
C:补充低渗氯化钠溶液
D:补充氯化钾溶液
E:补充葡萄糖溶液
肢端肥大症筛选和疾病活动性指标是( )
A:IGF↑
B:SS↑
C:GnRH↑
D:GHRH↑
E:GH↑
Craves病的心血管系统体征,下列哪项是正确的()。
A:心动过速,休息或熟睡时可减慢
B:心律失常中以心房颤动最为常见
C:心尖部常可闻及舒张期杂音
D:心脏可肥大和扩大
E:收缩压上升,而舒张压不变或稍上升
男性,40岁,体重92kg,身高168cm,无“三多一少”症状,其母有糖尿病。 治疗效果不显著时,可以加用下列哪种治疗( )
A:加用二甲双胍
B:加用皮质激素
C:滴注丹参
D:滴注能量合剂
E:大黄片
患者男,74岁,饮酒多年,喝啤酒150ml/d。既往1年内左跖趾关节急性关节炎发作2次。目前无任何自觉症状,无痛风石形成,规律口服别嘌醇700mg/d。BMI28kg/m。实验室检查:血尿酸轻度增高,尿尿酸正常。

第1题,共3个问题
(单选题)目前诊断为()。
A:无症状性高尿酸血症
B:痛风间歇期
C:慢性痛风性关节炎期
D:急性痛风性关节炎
E:痛风性肾病

第2题,共3个问题
(单选题)若患者经过戒酒、减肥等非药物措施后,血尿酸水平仍未达标,下列处理最合适的是()。
A:加用秋水仙碱
B:停用别嘌醇,改用丙磺舒
C:加用丙磺舒
D:加用NSAID类药物
E:加用泼尼松

第3题,共3个问题
(单选题)进一步处理中,不合适的是()。
A:建议低嘌呤饮食
B:多饮水,戒酒
C:检查有无糖尿病、高血压及高血脂等疾病
D:增加别嘌醇剂量或联合应用其他降尿酸药物
E:适当锻炼,减轻体重
患者男,74岁,饮酒多年,喝啤酒150ml/d。既往1年内左跖趾关节急性关节炎发作2次。目前无任何自觉症状,无痛风石形成,规律口服别嘌醇700mg/d。BMI28kg/m。实验室检查:血尿酸轻度增高,尿尿酸正常。若患者经过戒酒、减肥等非药物措施后,血尿酸水平仍未达标,下列处理最合适的是()。
A:加用秋水仙碱
B:停用别嘌醇,改用丙磺舒
C:加用丙磺舒
D:加用NSAID类药物
E:加用泼尼松
原发性甲状腺功能减退患者TRH兴奋试验的结果是( )
A:呈正常反应
B:呈过度反应
C:呈近似正常反应
D:TSH几乎不受TRH兴奋
E:反应低下
Turner综合征为一先天性性分化异常疾病,其典型病例染色体核型为47,XXY。

女,35岁,身高155cm,体重70kg,体检:血压160/90mmHg,腹壁可见紫纹。



第1题,共3个问题
(单选题)首先应考虑的检查项目是( )
A:24小时尿游离皮质醇
B:血浆CRF测定
C:血浆ACTH测定
D:地塞米松抑制试验
E:甲吡酮试验

第2题,共3个问题
(单选题)下列何项检查不能用于鉴别肾上腺皮质增生和腺瘤( )
A:垂体蝶鞍拍照
B:血浆皮质醇昼夜节律
C:甲吡酮试验
D:大剂量地塞米松抑制试验
E:放射性碘化胆固醇肾上腺扫描

第3题,共3个问题
(单选题)若该患者血浆ACTH及性激素浓度均高于正常,但无色素沉着,下列哪种诊断可能性大( )
A:单纯性肥胖
B:肾上腺皮质增生
C:肾上腺皮质腺瘤
D:异位ACTH综合征
E:肾上腺皮质癌
_______试验探查肾上腺皮质储备功能,具有诊断价值,并可鉴别_____及_____肾上腺皮质功能不全。
内分泌动态功能测定中抑制试验多适用于分泌功能减退的情况。
患者,女,28岁,未婚。心慌多汗1月余就诊。曾有哮喘史。体检:甲状腺二度肿大,双上极可闻及血管杂音,HR120次/分,T33.2ng/ml,T4196ng/ml。吸碘率:3h39%、24小时92%。患者在入院后坐立不安,大汗,高热,HR145次/分,此时最可能的诊断是()。
A:甲亢伴心衰
B:甲亢伴感染
C:甲亢危像
D:甲亢伴躁狂
E:甲亢
下列情况中可引起SIADH的有( )
A:恶性肿瘤
B:肺结核
C:脑脓肿
D:二尖瓣分离术后
E:环磷酰胺
下列有关肥胖症的叙述,哪项是错误的( )
A:常呈家族性聚集倾向
B:与1eptin有关
C:体重的增加往往伴随脂肪细胞数量的增加
D:肥胖与高血压、糖尿病、血脂异常等疾病密切相关
E:肥胖属多基因遗传疾病
皮质醇抑制试验后,下列哪项疾病的血清钙不下降( )
A:结节病
B:多发性骨髓瘤
C:VitD中毒
D:甲状旁腺功能亢进症
E:乳碱综合征
  1. 下列药物的作用机制为:



第1题,共1个问题
(配伍题)
  1. 西布曲明( )
  2. 赛尼可( )
  3. 骨量减少( )
  4. 骨质疏松( )
  5. 重度骨质疏松( )
增生型皮质醇增多症伴有垂体微腺瘤者,理想的治疗方法是()。
A:肾上腺次全切除+垂体外照射
B:肾上腺全切除+垂体外照射
C:口服肾上腺皮质激素合成阻滞剂
D:经蝶窦切除垂体微腺瘤
E:以上均不理想
糖尿病病人正确的胰岛素应用指征是()。
A:1型糖尿病一经诊断即开始用胰岛素
B:2型糖尿病在妊娠、手术、应激时
C:2型糖尿病出现急性代谢并发症
D:青少年糖尿病
E:糖尿病肾病Ⅲ期
胰岛素笔用针头自己使用时可以使用2到3次,不必每次更换。
胰高血糖素瘤的临床表现不包括()。
A:肺栓塞
B:坏死松解游走性红斑(necrolytic migratory erythema,NME.)
C:抑郁症
D:多发性神经根炎
E:1型糖尿病
醛固酮分泌过多常引起高血压及低血钾
抗甲状腺药物的发挥作用的机制( )
A:抑制甲状腺细胞摄取碘
B:抑制甲状腺组织释放碘
C:抑制TPOAb活性,抑制碘化物形成活性碘,影响酪氨酸碘化及偶联
D:抑制甲状腺组织释放TH
E:增加甲状腺激素的降解