自考题库
首页
所有科目
自考历年真题
考试分类
关于本站
游客
账号设置
退出登录
注册
登录
出自:神经病学高级职称
周围性面瘫和中枢性面瘫区别的关键在后者具有( )
A:面肌无萎缩
B:能闭目,蹙额
C:构音困难
D:口角歪斜,鼓腮困难
E:面部感觉减退
神经系统疾病的诊断包括__________和__________两个基本方面。
痴呆的定义是什么?
球(延髓)麻痹
内分泌与代谢因素与偏头痛关系密切。( )
国际头痛协会将紧张性头痛分为四类:________,________,________,________。
空泡样脊髓病
简述核间性眼肌麻痹的临床特点。
四岁男孩,因步态不稳,构音含糊就诊。该患儿孕35周时由于胎动减少而剖宫产,出生体重2100g,Apagar评分6分,5min后评分9分。患儿9个月会坐,3岁学步。体检:足尖行走,双下肢张力增高,有踝阵挛,双侧病理征阳性。 根据CT表现,最可能的诊断是( )
A:小脑扁桃体下疝
B:脑性瘫痪
C:颅底凹陷症
D:扁平颅底
E:先天性脑积水
在感觉的传导通路上,第三级神经元在()。
A:中央后回
B:丘脑
C:内囊
D:后角
E:脊神经节
内囊受损的感觉障碍特点是( )
A:同侧偏身感觉减退或消失
B:对侧偏身感觉减退或消失,远端较重
C:对侧偏身感觉减退或消失
D:对侧偏身感觉减退或消失,伴自发性疼痛
E:交叉性感觉减退或消失
患者,男性,25岁,既往体健,突发头痛、呕吐,脑膜刺激征(+),余未见明显异常。
第1题,共2个问题
(单选题)CT显示左顶叶高密度灶。应考虑的可能诊断是( )
A:蛛网膜下隙出血(继发性)
B:蛛网膜下隙出血(原发性)
C:脑叶出血
D:脑室出血
第2题,共2个问题
(单选题)为明确病因最,最有价值的辅助检查是( )
A:血细胞凝集四项
B:头颅CT三维血管显影
C:颅MRI+MRA
D:数字减影血管造影
E:颅骨平片
昏迷患者的检查应该包括哪些内容?
癫痫样放电的常见波形有__________、_________、_________、___________、_________及______________。
何谓额颞痴呆?
能引起脑血栓形成的原因有( )
A:动脉粥样硬化
B:血液成分变化
C:动脉畸形
D:血流动力异常
E:动脉炎
小舞蹈病的临床表现及辅助检查?
可引起双下肢瘫的病变部位有( )
A:胸段脊髓
B:腰膨大
C:双侧腰段前根
D:双侧大脑皮质中央前回上部及内侧部
E:双侧皮质脊髓束外侧部
抽动秽语综合征
假肥大型肌营养不良症具有的临床表现为( )
强直性肌营养不良症具有的临床表现为( )
先天性肌强直具有的临床表现为( )
A:四肢近端肌萎缩无力
B:四肢远端肌萎缩无力
C:两者均有
D:两者均无
简述用抗痫药物治疗原发性三叉神经痛的机理。
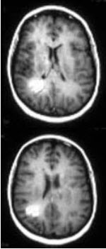
根据如图提示,多发性硬化MRI特点为( )
A:多个类圆形及其融合灶短T1,长T2
B:单个类圆形及其融合灶长T1,长T2
C:多个类圆形及具融合灶长T1,短T2
D:多个类圆形及具融合灶长T1,长T2
E:多个类圆形及其融合灶短T1,短T2
观念性失用症的本质是__________,多见于__________、__________、及__________病损,一般都是__________侧病变所致。
深感觉
不包括
( )
A:肌肉感觉
B:骨膜感觉
C:肌腱感觉
D:内脏感觉
E:关节感觉
一侧瞳孔散大,直接和间接光反射消失,对侧间接光反射正常,病损位于( )
A:同侧视神经
B:对侧视神经
C:同侧动眼神经
D:对侧动眼神经
E:同侧视神经及动眼神经
右眼全盲,病变累及()。
A:枕叶
B:视放射
C:视束
D:视交叉
E:视神经
什么是深反射及其意义?
Alzheimer病的下列哪项描述是
不正确
的( )
A:多数患者有家族史
B:发病率随年龄增大而增高
C:早期记忆障碍主要表现近记忆力受损
D:神经心理学量表检查可确诊该病
E:患者常有行走障碍和感觉障碍
造成神经系统钩端螺旋体病的常见类型为( )
A:犬型、波摩那型、黄疸出血型
B:犬型、波摩那型、秋季热群
C:犬型、黄疸出血型、流感伤寒群
D:黄疸出血型、波摩那型、澳洲群
E:黄疸出血型、秋季热群、澳洲群
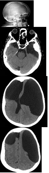
49岁,女性,有轻瘫,头痛,CT表现如图,最可能的诊断是( )
A:硬膜下血肿
B:硬膜下积液
C:Dandy-Walker综合征
D:脑积水
E:蛛网膜囊肿
首页
<上一页
46
47
48
49
50
下一页>
尾页