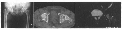
患者,女,30岁。左髋不适2个月余。X线、CT及MRI检查如下。

第1题,共2个问题
(单选题)首先诊断()
A:骨母细胞瘤
B:骨巨细胞瘤
C:内生软骨瘤
D:软骨黏液纤维瘤
E:软骨母细胞瘤
第2题,共2个问题
(多选题)以下属于该病表现的是()
A:均是良性病变
B:多见于青少年,80%以上发生于11~30岁,30岁以上罕见
C:多发生于四肢长骨,以股骨和肱骨最多,多位于干骺愈合后的骨端
D:病灶边界清楚,常显示有硬化,可穿破骨皮质形成软组织肿块
E:病灶内常见小点状、斑片状钙化
F:在脂肪抑制TWI序列上可见软组织的非特异性炎性反应呈高信号