自考题库
首页
所有科目
自考历年真题
考试分类
关于本站
游客
账号设置
退出登录
注册
登录
出自:CT医师
在窦汇上方的层面,幕切迹的边缘显示为:()
A:"八"字形
B:"V"字形
C:"M"字形
D:"O"字形
E:"U"字形
下列哪一项不是继发性腹膜肿瘤的常见扩散来源:()
A:胃
B:子宫
C:前列腺
D:胰腺
E:结肠
颅咽管瘤的颅骨X线表现是()。
A:蝶鞍球形扩大
B:颅壁骨质破坏
C:鞍区钙化斑
D:脑膜中动脉压迹增宽
E:蝶鞍变圆,鞍背延长
子宫颈癌的MRI表现包括()。
A:T2加权像为高信号
B:T2加权像为低信号
C:T2加权像为等信号
D:A+B
E:A+B+C
小肠排空时间为()。
A:10小时
B:7小时
C:9小时
D:8小时
E:11小时
X线胸片上鉴别心包积液与心脏增大的征象是:()
A:心尖向下及向外移位
B:奇静脉增粗
C:右心缘双影
D:下腔静脉模糊
E:肺门掩盖征
上纵隔肿物透视下可见到扩张性搏动,应考虑为:()
A:胸腺瘤
B:甲状腺瘤
C:胸主动脉瘤
D:纵隔淋巴结肿大
E:以上都不是
关于颈淋巴管瘤CT表现的描述,错误的是()。
A:一侧低密度囊性病灶
B:好发于胸锁乳突肌前方
C:呈圆形或类圆形
D:肿瘤可向周围结构广泛浸润生长
E:增强扫描呈明显强化
在纵隔肿瘤中位置最高者是:()
A:胸腺瘤
B:恶性淋巴瘤
C:胸内甲状腺
D:支气管囊肿
E:囊性畸胎瘤
下列疾病中,哪一种是造成硬膜外压迫的最常见原因:()
A:神经纤维瘤
B:转移瘤
C:淋巴瘤
D:脊椎硬膜外退行性疾病
E:血管瘤
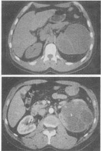
女,48岁,左腰部胀痛不适2个月余,根据所示图像,最可能的诊断是()。
A:左侧囊性肾癌
B:左侧肾囊肿
C:左侧多囊肾
D:左侧肾脓肿
E:左侧肾积水
关于胸膜钙化,与下述哪项不相关:()
A:慢性脓胸
B:接触石棉
C:铍中毒
D:接触滑石粉
E:肺结核
大叶性肺炎是通过什么途径蔓延的?()
A:肺泡孔
B:肺泡壁
C:肺动脉
D:肺泡腔内的浆液
E:肺静脉
纵隔向健侧移位,见于()。
A:张力性气胸
B:肺不张
C:广泛性胸膜增厚
D:一侧肺叶切除
E:慢性肺炎
“腹腔转移癌”的原发病灶,下列最罕见的是哪种?()
A:胰腺癌
B:胃癌
C:结肠癌
D:卵巢癌
E:前列腺癌
关于肺裂,以下正确的是()。
A:壁层胸膜的转折
B:由两层壁层胸膜构成
C:由壁、脏层胸膜构成
D:脏层胸膜的转折
E:由四层胸膜构成
Ebstein畸形的X线表现中,哪项错误()。
A:右心房明显增大
B:左心房明显增大
C:三尖瓣下移畸形
D:肺血减少
E:肺动脉段平直或凹陷
真菌性鼻窦炎的CT征象()。
A:窦腔内可见软组织密度影及其内散在斑片状或沙粒状钙化
B:增强不明显
C:气一液平面多见
D:积液多见
E:多为双侧
下列关于松果体解剖的描述,错误的是哪一项:()
A:松果体属于灰白质兼有结构
B:松果体位于四叠体池内,可能是一个重要的内分泌腺体
C:松果体柄分为上脚和下脚,中间夹着松果体隐窝
D:正常人5%的松果体为囊性,其大小差异较大
E:正常松果体增强扫描强化不明显
女,41岁,阵发性头痛伴恶心,呕吐20余天,MRI影像如图,最可能的诊断是()。
A:双侧筛窦息肉
B:双侧筛窦炎
C:双侧筛窦未见明显异常
D:双侧筛窦真菌感染
E:双侧筛窦过敏性炎症
X线平片提示可能存在慢性胰腺炎的征象是()。
A:结肠充气,结肠切断征
B:胰腺区多发性小结石和钙化
C:十二指肠黏膜皱襞增粗,降段内缘受压
D:十二指肠环增大、淤张、充气
E:胸腔积液
每侧的肾动脉,在肾门处分成:()
A:前后两支,前支较小
B:前后两支,前支较大
C:前中后三支,前支较中后支大
D:前中后三支,前支较中后支小
E:前后两支,前后支相等
下列哪项
不属于
良性胃溃疡的X线征象()。
A:指压迹征
B:项圈征
C:狭颈征
D:黏膜线
E:黏膜集中
下列疾病肾盂内无充盈缺损的是()。
A:肾盂结石
B:肾乳头坏死
C:肾盂癌
D:肾包膜下水肿
E:肾盂内血块
巨大右房见于()。
A:二尖瓣狭窄
B:二尖瓣关闭不全
C:房间隔缺损
D:动脉导管未闭
E:Ebstein畸形
下列哪一项不符合弥漫性脂肪肝中残留正常肝岛的CT表现:()
A:为正常肝组织密度
B:边缘常较清楚且规则
C:无占位病变效应
D:增强扫描见血管被推移
E:通常位于胆囊附近或包膜下
关于腹主动脉的描述,错误的是()。
A:我国主动脉瘤发生的主要原因为外伤
B:主动脉直径在肾动脉平面以上≥4cm可诊断
C:直径>7cm的动脉瘤破裂率高
D:瘤体迅速增大、壁薄并局限性凸出应尽早手术
E:CT增强扫描有助于发现瘤内血栓
哪项是发生于脊髓内常见肿瘤?()
A:神经鞘瘤
B:星形细胞瘤
C:脂肪瘤
D:神经纤维瘤
E:淋巴瘤
男,45岁,颈部渐进性增大包块,CT增强扫描如图所示,最可能的诊断是()。
A:颈部肿大淋巴结
B:颈动脉夹层
C:神经鞘瘤
D:颈动脉体瘤
E:甲状腺癌
患者,女性,30岁,体检发现肝脏低密度病灶影,增界清晰,增强扫描后无强化,应首先考虑诊断为()。
A:阿米巴样肝脓肿
B:肝包虫病
C:肝囊腺瘤
D:肝囊肿
E:胆管细胞性肝癌
首页
<上一页
46
47
48
49
50
下一页>
尾页