自考题库
首页
所有科目
自考历年真题
考试分类
关于本站
游客
账号设置
退出登录
注册
登录
出自:神经病学高级职称
椎—基底动脉系统短暂性脑缺血发作不可能出现的症状为( )
A:失写
B:复视
C:构音障碍
D:眩晕
E:交叉瘫
特发性强直阵挛发作伴失神发作治疗首选___________。
下列哪项与多发性硬化发病机制无关( )
A:病毒性感染
B:自身免疫反应
C:环境因素如高纬度地区
D:血管炎导致缺血
E:遗传易感性
强直性肌营养不良症其肌膜对_________离子通透性增加。
目前常用的治疗巾白金森病的手术方法是________、________损毁术,________。
AIDP的辅助检查主要有__________、__________、____________、__________。
Kluver-Bucy综合征
MS与急性播散性脑脊髓炎的鉴别点是( )
A:中枢神经系统可见多个病灶
B:VEP、BAEP和SEP异常
C:MRI上示脑、脑干、小脑、脊髓有多个长T、长T病变
D:急性播散性脑脊髓炎呈急性起病
E:是单相性还是复发性病程
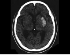
患者,男,70岁,有高血压病史10年,晨起大便时突发头痛,右侧肢体无力1天入院。体查:血压190/110mmHg,神志清楚,右侧鼻唇沟浅,伸舌偏右,右侧肌力4级。脑CT见如图所示病灶。
第1题,共2个问题
(单选题)该患者最可能的诊断是( )
A:脑出血
B:短暂性脑缺血发作
C:脑栓塞
D:脑血栓形成
E:蛛网膜下隙出血
第2题,共2个问题
(单选题)该病灶为哪根血管病变所致( )
A:大脑中动脉主干
B:脉络膜前动脉大脑
C:小脑后下动脉
D:丘脑穿通动脉
E:豆纹动脉
有关正常脑脊液的生化检查,哪项
不正确
( )
A:腰穿检查脑脊液蛋白含量为O.15~O.45g/L
B:脑室液脑脊液蛋白含量为O.25~O.55g/L
C:腰穿检查脑脊液氯化物含量为120~130mmol/L
D:脑池脑脊液蛋白含量为O.1~O.25g/L
E:腰穿检查脑脊液糖含量为2.5~4.4mmol/L
男性,18岁。前天午睡后发现口角歪斜,今日右眼闭合困难,流泪。食物易留在右齿颊内。检查发现右额纹浅,右闭眼露白,右鼻唇沟浅,示齿时口角歪向左侧。五官和其他神经系无异常体征。 为了判定恢复程度,必需的检查是( )
A:面神经传导速度
B:脑脊液
C:脑电图
D:头颅MRI
E:面神经病理检查
关于脑死亡诊断标准错误的是( )
A:过深昏迷,对外界刺激无任何反应,无任何自发性运动
B:自主呼吸停止,须用呼吸机维持换气
C:脑干反射消失,持续时间至少12小时
D:脑电图呈直线,至少维持12小时
E:腱反射、腹壁反射可存在
急性脊髓炎的病因是________或___________后引起的自身免疫反应。
脑脊液蛋白细胞分离
基底动脉尖综合征可以出现反复发作的意识障碍,该症状的出现主要是因为病变累及了( )
A:顶盖前区
B:颞叶内侧
C:上丘
D:中脑及/或丘脑的网状激活系统
E:脑桥的上行网状激活系统
坐骨神经痛按病变部位可分为________________和_____________坐骨神经痛,按病因可分为________________和_______________坐骨神经痛。
结核性脑膜炎的治疗原则是什么?
患者,66岁,出现双眼向左同向注视障碍,该现象常表示( )
A:对侧脑桥或同侧额叶的凝视中枢受累
B:脑干被盖区
C:同侧脑桥或对侧额叶的凝视中枢受累
D:同侧中脑病变
E:以上全不对
1ead- pipe rigidity
何谓帕里诺(Parinaud)综合征?
脑电图检查主要用于下列哪些疾病的诊断( )
A:区别脑器质性疾病或功能性病变
B:对癫痫的诊断及病灶的定位
C:区别弥漫性或局灶性损害
D:头痛的诊断及鉴别诊断
E:脑炎、中毒性或代谢性脑病
Andersen综合征可有下列哪些临床表现( )
A:性染色体显性遗传
B:周期性瘫痪
C:肌强直
D:发育畸形
E:心律失常
与AD发生相关的基因有哪:_________________、__________________、_______________、____________________、_______________。
女,6岁,近2个月来间发突然意识不清,发呆,两目瞪视,呼之不应,数秒钟后立即清醒,但对发作无记忆,每天发作几十次。体格检查未发现异常。该患儿治疗首选药应是( )
A:乙琥胺
B:丙戊酸钠
C:卡马西平
D:苯妥英钠
E:苯巴比妥
可引起四肢瘫的疾病有( )
A:Guillain-Barre综合征
B:周期性瘫痪
C:急性上升性脊髓炎
D:重症肌无力
E:脊髓压迫症
肺吸虫患者中枢神经系统病变的发生率为( )
A:40%~35%
B:35%~30%
C:25%~30%
D:20%~15%
E:15%~10%
枕骨大孔综合征
全身型重症肌无力患者可采用下列哪些治疗方法( )
A:抗胆碱酯酶药物
B:DXM
C:免疫抑制剂
D:胸腺切除
E:血浆置换
结节性硬化症的临床表现
不包括
( )
A:皮肤牛奶咖啡斑
B:烛泪征
C:角膜K—F环
D:神经纤维瘤
E:青光眼
Adie pupil
首页
<上一页
45
46
47
48
49
下一页>
尾页