自考题库
首页
所有科目
自考历年真题
考试分类
关于本站
游客
账号设置
退出登录
注册
登录
出自:放射医学主治医师
心内膜垫缺损在MRI上可显示鹅颈征的扫描体位是()
A:横断位或四腔位
B:横断位或冠状位
C:四腔位或冠状位
D:长轴位或横断位
E:冠状位或长轴位
经动脉导管化疗药物灌注术治疗胰腺癌,能明显缓解疼痛,改善生活质量的药物是()
A:丝裂霉素
B:5-氟尿嘧啶
C:多柔比星
D:羟喜树碱
E:吉西他滨
经皮经肝胆道内引流较外引流最突出的优点是()
A:内引流管柔软性好,创伤小
B:内引流管价格低廉
C:内引流不易引发胆管炎
D:内引流管不易发生阻塞
E:内引流避免了胆汁丧失的弊病
CT中窄窗的含义是()
A:对比度较大,灰阶较长,包含较多的CT值
B:对比度较小,灰阶较长,包含较少的CT值
C:对比度较小,灰阶较短,包含较少的CT值
D:对比度较大,灰阶较短,包含较少的CT值
E:对比度较大,灰阶较短,包含较多的CT值
婴幼儿肠套叠空气整复位下列说法
不正确
的是()
A:一般24小时为绝对适应证,24~48小时为一般适应证,48~72小时为谨慎适应证
B:适用于一般情况好,无明显脱水和酸中毒者,无腹膜炎,肠穿孔坏死的患儿
C:注气压力保持在40~60mmHg,较紧时可增加到90mmHg,但不可超过150mmHg
D:当套叠退缩一段又停止不退时,可使用间断注气,并辅以手法按压
E:复位标准是回盲部肿块小时,大量气体进入小肠,患儿症状消失
正常骨髓中呈短T1和中等偏高T2信号的成分主要为()
A:红骨髓
B:纤维组织
C:矿物质
D:黄骨髓
E:血管
关于DSA成像方式的叙述,错误的是()
A:IV—DSA
B:IA—DSA
C:外周法IV—DSA
D:中心法IV—DSA
E:快速IV—DSA
患儿,6岁。头痛、呕吐、步态不稳。MRI示小脑蚓部、大小约3cm×4cm肿块影,TWI呈等低信号,TWI呈等高信号,DWI呈高信号,增强扫描呈明显均匀强化。诊断为()
A:血管母细胞
B:表皮样囊肿
C:脑脓肿
D:髓母细胞瘤
E:脑发育不全
影响X线穿透力最重要的因素是()
A:管电流
B:管电压
C:曝光时间
D:焦片距
E:以上都不是
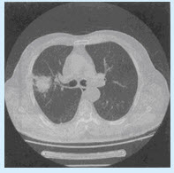
男,62岁。胸闷、体重下降2个月。CT检查如图。
第1题,共2个问题
(单选题)最可能的CT诊断为()
A:周围型肺癌
B:炎性假瘤
C:结核
D:错构瘤
E:增殖性炎症
第2题,共2个问题
(单选题)进一步明确诊断应首选以下哪项检查()
A:高分辨率CT检查
B:CTA
C:C、MR
D:USG
E:CT增强检查
在MR上下列哪种肿瘤看不见化学位移伪影()
A:皮样囊肿
B:脂肪瘤
C:畸胎瘤
D:神经鞘瘤
E:胆脂瘤
患者,男,66岁。双侧四肢关节肿胀疼痛20余年,10年前逐渐出现关节畸形,疼痛部位有结节沉着。实验室检查:尿酸574.21μmol/L,血常规未见异常。X线摄片发现,双手腕多关节畸形,轻度骨质疏松改变,大部分腕掌指骨广泛侵蚀破坏,呈穿凿状或虫咬状、蜂窝状骨质缺损,形成大小不一、多为圆形或长轴与骨干相一致的卵圆形骨缺损,关节周围软组织肿胀。最可能的诊断是()
A:类风湿关节炎
B:结核性关节炎
C:风湿性关节炎
D:痛风性关节炎
E:松毛虫性关节炎
肝脓肿与肝癌都表现为环形强化时的鉴别点是()
A:肝癌动脉期强化明显,肝脓肿静脉期强化明显
B:肝脓肿的壁较薄
C:肝癌的壁较厚
D:肝脓肿的壁为高度强化
E:肝癌的壁为中度强化
肋骨斜位摄影,常用于检查()
A:腋中线区肋骨
B:锁骨中线区肋骨
C:肋骨小头
D:肩胛中线肋骨
E:肋软骨
患者,男,15岁。因头痛、多尿来院检查,影像学检查如下图。
关于本病的特点,正确的是()
A:好发于儿童及青少年
B:肿瘤边界锐利,有纤维包膜
C:大多数为单或多房囊性,只有少数为实性或囊实混合性
D:实质部分和囊壁皆可钙化
E:主要临床表现是梗阻性脑积水导致的颅内压增高和内分泌改变(如侏儒、尿崩、肥胖)
F:以上都不是
有关淋巴瘤,错误的是()
A:淋巴瘤的淋巴结肿大内可见出血性坏死
B:非霍奇金淋巴瘤侵犯纵隔者较少
C:淋巴瘤的淋巴结肿大为特征性MR征象
D:淋巴瘤可累及肺、心包
E:恶性淋巴瘤常侵犯胸部
患者,男,17岁,胫骨前结节处疼痛不适1个月,局部有轻微肿胀。无发热,无明显外伤史,膝关节活动自如。 患者所做检查如下图,你的诊断是()
A:胫骨结节骨软骨炎
B:胫骨化脓性骨髓炎
C:骨肉瘤
D:骨结核
E:胫骨骨折
F:软骨肉瘤
患者,男,60岁。20年前患右上肺结核治愈。近1个月来刺激性咳嗽、血痰来诊。查体右上肺呼吸音消失,可闻及湿啰音,叩诊呈实音,胸片见右上肺大片致密阴影,右侧水平裂上移,右肺门抬高呈横S征。为明确诊断应选择下列哪项检查()
A:痰细胞学检查
B:磁共振检查
C:放射性核素扫描
D:超声波检查
E:剖胸探查
F:纤维支气管镜检查
以下不是声门型喉癌的CT表现的是()
A:局部声带增厚,欠光滑
B:局部增厚的声带有增强
C:前联合软组织厚度大于3mm
D:杓状软骨增厚,硬化
E:会厌喉面软组织增厚
女,52岁,头痛,前额部局部隆起。查体:前额部扪及一软性肿块。CT显示:额窦扩大,内为低密度软组织影,边缘光滑呈弧形,可见薄壁,拟诊为()
A:额窦炎
B:额窦癌
C:额窦黏膜下囊肿
D:额窦脓肿
E:额窦黏液囊肿
下列腹膜后间隙恶性肿瘤中最常见的是()
A:淋巴瘤
B:脂肪肉瘤
C:平滑肌肉瘤
D:恶性纤维组织肉瘤
E:类癌
正常情况下胸部MRI不能显示的结构是()
A:胸腺
B:皮肤
C:胸膜
D:气管
E:食管
经股动脉穿刺的适应证
不包括
()
A:脑血管造影
B:下肢动脉造影
C:凝血功能障碍
D:右侧颈内动脉狭窄支架成形术
E:肾肿瘤栓塞
小关节面综合征的CT征象应除外()
A:关节腔真空征
B:关节囊钙化
C:关节面下囊性变
D:椎弓峡部崩裂
E:关节突增生并骨赘形成
女,37岁,上腹部胀痛不适,B超发现肝内占位。 还应该做哪些检查()
A:MRI
B:CT
C:US
D:DSA
E:ECT
F:行AFP与CEA检查
与嗜铬细胞瘤相关的几个统计数字,下列哪一项是错误的()
A:10%位于肾上腺之外
B:10%为恶性肿瘤
C:10%为多发性
D:90%位于肾上腺
E:10%起源于肾上腺皮质
前列腺癌血行转移最常发生在()
A:肺部
B:肝脏
C:骨骼
D:肾脏
E:脑部
患儿,男,2岁,头痛。CT轴位平扫示双侧额顶部颅骨内板下半月形脑脊液密度,脑实质受压,中线结构居中。诊断为()
A:急性硬膜下血肿
B:双侧硬膜外血肿
C:双额顶硬膜下血肿
D:双额顶硬膜下积液
E:双额顶蛛网膜囊肿
关于慢性肺脓肿空洞的X线表现,正确的是()
A:边缘较清楚
B:呈圆形或椭圆形
C:呈不规则形
D:常有液平面
E:以上全对
CT见上鼓室、鼓窦入口及鼓窦扩大,并见软组织密度肿块影,最可能的诊断为()
A:急性化脓性中耳乳突炎
B:单纯型慢性化脓性中耳乳突炎
C:肉芽肿型慢性化脓性中耳乳突炎
D:胆脂瘤型慢性化脓性中耳乳突炎
E:中耳癌
首页
<上一页
45
46
47
48
49
下一页>
尾页