自考题库
首页
所有科目
自考历年真题
考试分类
关于本站
游客
账号设置
退出登录
注册
登录
出自:神经病学高级职称
三叉神经痛患者轻触口角,颊部时诱发疼痛,此处称为()。
右侧胸4至胸12痛觉消失,触觉存在是由于脊髓()侧()损害。
浅昏迷的抑制水平达到__________,中昏迷的抑制水平达到__________,深昏迷的抑制水平达到__________。
一患者呼之不应,压眶有反应,呼吸平稳,腹壁反射消失,瞳孔对光反射及腱反射存在,其意识状态为( )
A:清醒
B:嗜睡
C:浅昏迷
D:中昏迷
E:深昏迷
多发性硬化临床治疗的主要原则及主要方法是什么?
命名性失语的临床特点?
何谓帕金森病?
可诱发重症肌无力危象的药物是()。
A:安定、卡那霉素、庆大霉素、四环素
B:新斯的明
C:三磷酸腺苷
D:辅酶A
E:洛贝林
对单纯疱疹病毒性脑炎患者进行头颅CT扫描可出现( )
A:完全正常
B:肯定有异常发现
C:局灶性低密度区
D:低密度病灶区出现点状高密度影
E:病变区不会有高密度影
典型晕厥的分期包括__________、__________、__________。
根性坐骨神经痛的病变部位主要在_________和__________,干根性坐骨神经痛的病变部位主要在__________。
基因诊断主要用于下列哪些情况( )
A:检测携带者和纯合子
B:遗传性疾病的产前诊断
C:病原微生物检测
D:脑性瘫痪的常规检查
E:恶性肿瘤预测和早期发现
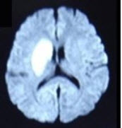
男性,65岁,有高血压病史5年,因左侧肢体无力1天入院摔,行头颅MRI出现如图所示病变,应诊断为( )
A:多发性腔梗
B:蛛网膜下隙出血
C:脑梗死
D:硬膜下出血
E:脑出血
女性,56岁,1天前突然出现昏迷,四肢中枢性瘫痪,双侧瞳孔缩小,病变部位在()。
A:外囊
B:内囊
C:桥脑
D:小脑
E:脑室
如何鉴别视神经乳头水肿与视神经乳头炎?
皮质—纹状体—脊髓变性患者的初期临床表现主要是( )
上述哪项是皮质—纹状体—脊髓变性患者中期的主要表现( )
皮质—纹状体—脊髓变性患者最具特征的临床表现是( )
A:类神经症症状
B:肌阵挛
C:进行性痴呆
D:昏迷和去皮质强直
E:无动性缄默和尿失禁
脑的供血主要来自()。
A:大脑前动脉
B:大脑中动脉
C:大脑后动脉
D:颈内动脉
E:基底动脉
帕金森病的治疗,最有效的药物为( )
A:多巴制剂
B:苯海索
C:金刚烷胺
D:溴隐亭
E:多巴胺
格林-巴利综合征患者发病后第三天,出现舌咽、迷走神经功能障碍,四肢瘫痪,呼吸肌麻痹,首要的处理是()。
A:应用肾上腺皮质激素
B:气管切开,辅助呼吸
C:及早进行鼻饲
D:应用B族维生素
E:应用抗生素
再灌注时间窗
慢性进行性眼外肌瘫痪(CPEO)的主要临床表现?
急性坏死性脑炎是哪种病毒引起的CNS病毒感染性疾病( )
A:肠道病毒
B:结核杆菌
C:新型隐球菌
D:单纯疱疹病毒
E:麻疹病毒
出血性脑梗死
腰膨大
患者,既往有高血压病史,突发神志不清伴恶心、呕吐,头部CT证实为脑出血,查体发现重刺激有反应,偶有肢体无意识动作,腱反射减弱,瞳孔对光反射消失,血压较病前下降,其意识障碍程度属于( )
A:闭锁综合征
B:深昏迷
C:中昏迷
D:去皮质综合征
E:浅昏迷
MG患者最常见的死亡原因?
腰椎穿刺的绝对禁忌症是()。
A:高血压
B:心脏病
C:脑疝形成
D:癫痫
E:贫血
结核性脑膜炎早期最常见的临床表现是( )
A:头痛
B:发热
C:呕吐
D:昏迷
E:脑膜刺激征
MG死亡的常见原因是_________。
晚发型偏头痛
首页
<上一页
43
44
45
46
47
下一页>
尾页