自考题库
首页
所有科目
自考历年真题
考试分类
关于本站
游客
账号设置
退出登录
注册
登录
出自:CT医师
颅脑CT增强扫描无强化的是()。
A:转移瘤
B:脑膜瘤
C:脑脓肿
D:脑炎
E:动脉瘤
关于肾结石X线平片表现,
不正确
的描述是()
A:圆形
B:鹿角形
C:桑葚形
D:卵圆形
E:以上均不是
下述“尤文肉瘤”的知识,哪项正确?()
A:成年人多见
B:常有骨、肺转移
C:常有特征性骨膜反应
D:好发于长骨干骺端
E:髓腔内多有成骨性改变
肝硬化门脉高压时,门静脉血经过食管静脉丛的途径是()。
A:经胃左静脉、胃短静脉进入食管静脉丛后,再经半奇静脉入上腔静脉
B:经胃左静脉、胃右静脉进入食管静脉丛后,再经半奇静脉入上腔静脉
C:经胃冠状静脉、胃短静脉进入食管静脉丛后,再经奇静脉入上腔静脉
D:经胃冠状静脉、胃右静脉进入食管静脉丛后,再经奇静脉入上腔静脉
E:经胃右静脉、胃短静脉进入食管静脉丛后,再经奇静脉入上腔静脉
下列哪一项对鉴别非感染性高密度肾囊肿是最重要的:()
A:囊肿壁薄
B:囊肿外缘光滑
C:囊内密度均匀
D:增强前后密度无变化
E:与肾实质分界清
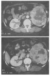
患者,女,58岁。左腰部不适,血尿2个月余。CT检查见图。最有可能的诊断是()。
A:肾癌
B:肾盂癌
C:肾错构瘤
D:肾囊肿
E:肾脓肿
子宫平滑肌瘤(简称子宫肌瘤),首选影像筛查方法是:()
A:CT平扫
B:CT增强
C:MRI
D:B超
E:血管造影
儿童最常见的颈髓肿瘤是哪一种:()
A:髓母细胞瘤
B:少枝胶质细胞瘤
C:星形细胞瘤
D:生殖细胞瘤
E:畸胎瘤
硬膜下血肿常表现为下列哪种形态()。
A:棱形
B:不规则形
C:圆形
D:椭圆形
E:新月形
下列关于关节结核的CT表现,错误的叙述是:()
A:韧带附着处轻微骨质缺损,伴极少量新生骨
B:多数位于髋关节和膝关节
C:关节囊增厚广泛钙化,关节间隙增宽,相邻骨膜增生
D:关节面凹凸不平,并可见小死骨
E:关节间隙层面半圆形、卵圆形水样低密度影
患者,女,50岁,右眼突,CT示视神经肿瘤,内有钙化,视神经孔扩大,骨质增生,增强明显,诊断为()
A:炎性假瘤
B:横纹肌瘤
C:脑膜瘤
D:转移瘤
E:胶质瘤
下面关于声门区喉癌的说法
不正确
的是:()
A:肿瘤向前累及前联合时,显著增厚超过2mm
B:肿物向下超过杓状软骨声带突3mm的范围,可视为声门下受累
C:肿瘤可以向上蔓延,从前联合进入会厌前间隙
D:肿瘤向后扩散,累及杓状软骨、声带后联合和杓状、环状软骨关节
E:肿瘤直接向外蔓延进入位于弹力圆锥和甲状软骨之间的喉旁间隙
下列不是肺静脉高压征象的是()。
A:肺野透光度差
B:上肺静脉扩张,下肺静脉不扩张
C:肺门呈蝶翼状
D:KerleyB线
E:肺门截断现象
骨肉瘤最早发生转移的部位多为()。
A:肺
B:骨
C:淋巴结
D:肝
E:心包
卵巢肿瘤中最常见的并发症是下列哪项?()
A:破裂
B:恶变
C:出血
D:感染
E:蒂扭转
中年男性,右眼进行性突出1年,伴复视5个月。查体右眼明显突出,无红、肿等表现;CT扫描,患眼眼外肌增粗,密度均匀,增强扫描均匀强化。应首先考虑为()。
A:甲状腺性突眼
B:眼外肌型炎性假瘤
C:纤维组织增生型炎性假瘤
D:脂肪坏死性肉芽增生型炎性假瘤
E:淋巴细胞、浆细胞增生型炎性假瘤
下述哪一种有关说法是错误的:()
A:CT以脑出血和脑梗死的诊断及鉴别诊断价值很大,但对其他脑血管疾病的诊断能力较差
B:CT对脑动脉瘤的诊断不如血管造影
C:CT对烟雾病的诊断不如血管造影
D:通过CT增强检查可明确诊断出脑血管疾患,多数情况下可不必再依赖血管造影
E:对于脑血管病变不能单纯依赖CT征象,必须结合临床表现
脑转移瘤的常见CT表现
不包括
:()
A:多发
B:瘤周显著水肿
C:出血、坏死
D:不同形式的强化并存
E:钙化
检查十二指肠疾病的首选方法是:()
A:超声
B:胃内窥镜检查
C:单对比法钡餐检查
D:低张力双对比十二指肠造影
E:CT
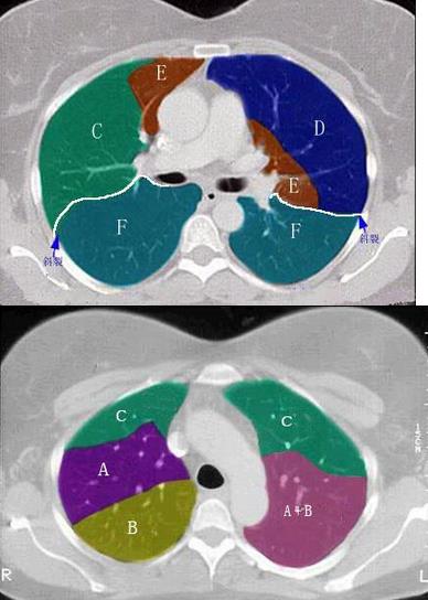
结合肺段模式图,选出右肺中叶的组成()。
A:B
B:B+C
C:B+C+D
D:D+E
E:D+E+F
CT脊髓造影示胸3水平脊髓受压、右移,下一层面左蛛网膜下腔增宽,对侧窄,定位诊断为:()
A:髓内
B:髓外硬膜内
C:硬膜内外
D:硬膜外
E:椎管外
慢性支气管炎早期的X线表现包括()。
A:肺部炎症
B:肺纹理改变
C:肺动脉高压征象
D:肺气肿征象
E:气管剑鞘状改变
以下部位中,哪项是胆脂瘤的好发部位:()
A:锥隆起
B:面隐窝
C:锥隐窝
D:耳蜗岬
E:鼓窦
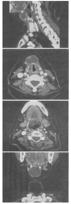
女,57岁,颈部不适,CT如图所示,最可能的诊断是()。
A:咽囊囊肿
B:鳃裂囊肿
C:甲状舌管囊肿
D:颈部淋巴管瘤
E:颈部神经鞘瘤
有关肾血管平滑肌脂肪瘤描述错误的是()
A:CT诊断关键是确定瘤内有脂肪成分
B:瘤内不合脂肪成分时与小肾癌难以鉴别
C:如肿瘤突破肾包膜进入肾周间隙则排除为良性病变可能性
D:肿瘤内可有出血、坏死,以及分隔表现
E:增强后肿瘤血管成分显著强化,脂肪及坏死组织不强化
急性脑梗死发病后多长时间,CT可无异常:()
A:0~8小时
B:10~12小时
C:14~18小时
D:20~24小时
E:32~36小时
患者,女,60岁,胆石症史多年。1个月来发热、上腹疼痛,CT扫描显示肝脏内多个直径10~30mm低密度灶,CT值20HU,边缘呈环状强化,最有可能的诊断是:()
A:多发性囊状肝转移瘤
B:胆源性肝脓肿
C:多发性肝囊肿
D:肝包虫病
E:肝脏囊腺瘤
正常女性盆腔
不正确
描述是:()
A:耻骨联合层面中线结构从前往后为膀胱、阴道、直肠
B:宫颈位于耻骨联合上3cm切面上,宫旁对称性斑点状影为子宫静脉丛
C:子宫与直肠间,直肠与骶骨间有脂肪层相隔
D:子宫两旁可见卵巢影,大小不应超过2×3cm
E:梨状肌内前方,可见斑点状髂血管及细小淋巴结(小于1.5cm)
关于纵隔肿瘤,下列知识哪项不对?()
A:多数纵隔肿瘤都有其好发部位
B:前纵隔:多为胎生性囊肿和胸腺瘤
C:中纵隔:多为恶性淋巴瘤
D:转移瘤:纵隔影常对称性增宽
E:胸片难以区分胸腺瘤和畸胎瘤
关于年龄与肿瘤发病关系的叙述,正确的是()。
A:骨肉瘤、骨软骨瘤、软骨母细胞瘤好发于中年以上
B:转移瘤、骨髓瘤、软骨肉瘤多见于30岁以下
C:尤因瘤多见于老年人
D:骨巨细胞瘤好发年龄是20~40岁
E:年龄的分布在骨肿瘤患者中没有规律
首页
<上一页
43
44
45
46
47
下一页>
尾页