自考题库
首页
所有科目
自考历年真题
考试分类
关于本站
游客
账号设置
退出登录
注册
登录
出自:内分泌学高级职称
从量上说,餐后肝内葡萄糖去路最多的代谢途径是( )
A:糖酵解
B:糖有氧氧化
C:糖原合成
D:磷酸戊糖途径
E:转变为其他单糖
女,28岁,妊娠6个月,无糖尿病病史,空腹血糖6mmol/L,餐后2小时血糖9mmol/L,尿糖+,治疗方案为( )
A:饮食疗法
B:饮食疗法+达美康
C:饮食疗法+胰岛素
D:饮食疗法+降糖灵
E:无须特殊治疗
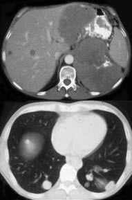
女,38岁,低热乏力并消瘦2月余,CT如图所示,下列说法正确的是( )
A:左侧肾上腺区巨大的占位性病灶考虑为肾上腺癌
B:左侧肾上腺区巨大的占位性病灶考虑为嗜铬细胞瘤
C:左侧肾上腺区巨大的占位性病灶考虑为肾上腺腺瘤
D:肺内多发小结节病灶,考虑为肺转移瘤
E:肺内多发小结节病灶,考虑为肺结核
中年女性,同时有高血压及低血钾,诊断考虑原发性醛固酮增多症。哪项检查最有助于诊断( )
A:螺内酯试验
B:低钠、高钠试验
C:地塞米松抑制试验
D:赛庚啶试验
E:血浆醛固酮浓度变化
下列哪项不是骨质疏松症的骨骼表现( )
A:腰背疼痛或全身骨痛是骨质疏松症的最常见症状
B:骨折的发生可有或无诱因
C:负重能力减弱,活动后常导致肌肉劳损和肌痉挛
D:Ⅰ型(绝经后)原发性骨质疏松症以小梁骨和皮质骨为主,Ⅱ型(老年性)原发性骨质疏松症骨丢失以小梁骨为主
E:Ⅰ型(绝经后)原发性骨质疏松症骨折部位以脊椎骨为主,Ⅱ型(老年性)原发性骨质疏松症骨折部位以脊椎骨和髋部为主
患者女,27岁,因“甲状腺肿大、多汗、心悸、善饥、多食、手颤及甲状腺功能异常1年余”来诊。在县级医院查血TT
3
5.97nmol/L、TT
4
280nmol/L及TSH8.9mU/L,诊为甲状腺功能亢进。口服他巴唑(30mg/d)治疗11个月,甲状腺仍大,症状缓解不显著。查体:甲状腺Ⅱ度弥漫性肿大,质软,无杂音及震颤;HR90次/min,节律规整;无双手细颤;无突眼,各眼征阴性,无胫前黏液性水肿及皮损。实验室检查:FT
3
、FT
4
、TSH均升高,TPOAb、TSAb均正常,24h甲状腺吸
131
I率27.2%(正常)。甲状腺核素显像:甲状腺增大,放射性分布均匀。颅脑及蝶鞍部CT:未见异常。有助于明确诊断的检查指标是()。
A:TGAb、TMAb升高
B:颅脑及蝶鞍CT正常
C:甲状腺
131
I摄取率2h27.2%
D:甲状腺核素显像
E:FT
3
、FT
4
、TSH升高
一例38岁女性病人,双肾上腺手术后5年,病理为增生,近3年消瘦,进行性皮肤色素沉着,头痛伴视力下降,垂体CT示蝶鞍明显扩大,初步诊断为Nelson综合征,最不符合诊断的检查结果是()。
A:血皮质醇高
B:血β-促脂素高
C:血糖低
D:血N-pomc高
E:血ACTH明显升高
患者,女,40岁。诊断为Graves病,合并妊娠2个月。
第1题,共2个问题
(单选题)治疗应该采用( )
A:抗甲状腺药物
B:I治疗
C:碘剂治疗
D:普萘洛尔
E:甲状腺次全切除
第2题,共2个问题
(单选题)治疗目标为( )
A:控制甲状腺激素水平在正常范围
B:控制甲状腺激素水平在略高于正常的范围
C:症状改善
D:体重增加
E:甲状腺肿大好转
女性,26岁。突眼,甲状腺肿大,心率100次/分,甲状腺摄I率增高,T抑制试验抑制率<50%。 治疗中如症状缓解而甲状腺肿或突眼反而恶化,应采取哪项措施( )
A:增加抗甲状腺药剂量
B:减少抗甲状腺药剂量
C:停用抗甲状腺药
D:抗甲状腺药酌情减量并加用L-T4
E:抗甲状腺药酌情减量并加用碘剂
别嘌呤醇主要作用机制是促进尿酸排泄。
胰岛素释放试验有利于( )
A:指导治疗
B:诊断糖尿病
C:Ⅰ、2型糖尿病分型
D:诊断特殊类型糖尿病
E:判断糖尿病疗效
糖尿病酮症酸中毒用胰岛素治疗时,血糖下降速度为每小时降低______为宜,血糖降至_____时,可改输5%葡萄糖液加胰岛素。而在高渗性非酮症糖尿病昏迷时,血糖降至_______即可输注葡萄糖液加胰岛素,比例均为每_______g葡萄糖加1u胰岛素。
下列哪一种药物与低血糖无关()。
A:水杨酸盐
B:奎宁
C:口受体阻断剂
D:复哌啶醇
E:ACEI类药物
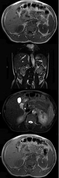
男,52岁,下肢无力伴多饮多尿2年余,实验室检查:低血钾,血醛固酮水平及24小时尿醛固酮定量超过正常值,MRI检查如图所示,应诊断为( )
A:左肾上腺囊肿
B:左肾上腺腺瘤
C:左肾上腺嗜铬细胞瘤
D:左肾上腺髓脂瘤
E:左肾上腺转移瘤
患者发生糖尿病足时,皮肤表面溃疡,无感染;请问为几级糖尿病足?()
A:0级
B:1级
C:2级
D:3级
如以元素钙为标准,甲状旁腺功能减退症患者约需要多少钙( )
A:6~12g
B:4~8g
C:2~4g
D:1.0~1.5g
E:0.5~1.0g
男性,65岁,甲亢7年,未规律治疗,近日出现心律失常,其可能出现的最多见得为( )
A:室上性心动过速
B:室性早搏
C:房室交界性早搏
D:心房颤动
E:心房扑动
抢救甲亢危象时,最可靠的药物是()。
A:碘剂
B:抗甲状腺药物
C:氢化可的松
D:利血平
E:普萘洛尔
关于糖尿病酮症酸中毒的临床表现,叙述正确的有()。
A:手足抽搐
B:头晕乏力
C:呼吸深而快
D:皮肤干燥,血压下降
E:尿量减少,脉细速
疑高渗性非酮症糖尿病昏迷,血糖44.4mmol/L(800mg/dl),拟用公式计算测血浆渗透压,应进一步检查()。
A:中心静脉压
B:尿比重及尿素氮
C:血钾、钠及尿素氮
D:阴离子间隙
E:血尿酸、肌酸
男性,20岁,半年前车祸,头部受伤昏迷。近3个月来,多尿,多饮,每日尿量超过6000ml16.
第1题,共3个问题
(单选题)下列检查可能出现异常的是( )
A:血糖
B:尿比重
C:甲状腺功能
D:肾功能
E:肝功能
第2题,共3个问题
(单选题)预计这种异常表现在( )
A:空腹血糖高
B:甲状腺功能亢进
C:尿比重低于1.005
D:血肌酐升高
E:肝酶升高
第3题,共3个问题
(单选题)患者有效的治疗方案为( )
A:胰岛素
B:去氨加压素
C:保肝治疗
D:保肾治疗
E:抗甲状腺治疗
甲亢药物治疗后停药的重要指标是TSAb转阴
患者女性,32岁,怀孕4个月,低热,纳亢。测T240ng/dl,T18μg/dl。 此病人的治疗首选方案为( )
A:抗甲状腺药物
B:手术
C:(131)I治疗
D:心得安
E:抗甲状腺药物+甲状腺片
Ne1son综合征
特发性GH缺乏性侏儒症患者,生长速度极为缓慢,即3岁以下低于每年______,3岁至青春期不超过每年________,成年身高一般不超过_________。
此病人CT检查双侧肾上腺稍增大,血尿醛固酮均增高,经地塞米松治疗有好转。
第1题,共4个问题
(单选题)下列哪种疾病不予考虑()。
A:原发性醛固酮增多症
B:急进性恶性高血压
C:范可尼综合征
D:慢性肾小管性酸中毒
E:Bartter综合征
第2题,共4个问题
(单选题)为鉴别此病人醛固酮增多症是原发还是继发的,下列哪项最具鉴别意义()。
A:肾上腺MRI
B:血管紧张素Ⅱ和血浆肾素活性测定
C:肾上腺CT检查
D:血浆心钠素测定
E:血钠/血钾比值
第3题,共4个问题
(单选题)如果确诊为糖皮质激素可抑制性醛固酮增多症,应选择下列何种药物治疗()。
A:安体舒通
B:氨基导眠能
C:地塞米松
D:酮康唑
E:甲吡酮
第4题,共4个问题
(单选题)应诊断为()。
A:继发性醛固酮增多症
B:结节性肾上腺增生引起的醛固酮增多
C:地塞米松可抑制性醛固酮增多症
D:特发性醛固酮增多症
E:醛固酮瘤
被小剂量地塞米松抑制( )
可被大剂量地塞米松抑制( )
尿17-酮皮质类固醇显著增高( )
ACTH水平增高,ACTH兴奋试验无反应( )
ACTH降低,皮质醇轻中度增高( )
A:肾上腺皮质腺瘤
B:Cushing病
C:Addison病
D:单纯性肥胖
E:肾上腺皮质腺癌
试述禁水-加压素试验。
关于GH缺乏性侏儒症错误的是()。
A:多种激素缺乏者有性器官不发育,第二性征缺如
B:貌似儿童,身高一般不超过1.3m,但皱纹较多,被成为"小老人"
C:主要表现为身材矮小,但比例匀称
D:女性常有闭经,但单一GH缺乏者可不出现
E:继发性GH缺乏性侏儒症多为单一GH缺乏
在血液中,下列哪种激素全部来自甲状腺( )
A:MIT
B:DIT
C:T3
D:T4
E:rT3
首页
<上一页
41
42
43
44
45
下一页>
尾页