自考题库
首页
所有科目
自考历年真题
考试分类
关于本站
游客
账号设置
退出登录
注册
登录
出自:放射医学主治医师
患者,男,56岁。因背部疼痛2个月入院;查体:胸椎T~T棘突和椎旁有压痛,胸椎活动受限。体温38.4℃,X线平片和CT见下图。
下列哪几项支持诊断()
A:椎间隙变窄
B:椎旁脓肿
C:椎间盘受累
D:呈跳跃性累及多个不相邻病灶
E:骨质破坏
F:阳性椎弓根征
鼻咽鳞状细胞癌的下列描述,错误的是()
A:可破坏邻近组织
B:倾向于血行转移
C:倾向于淋巴道转移
D:与EB病毒感染有关
E:颈深上部淋巴结转移最常见
肝脏的富血供性转移
不包括
()
A:肺癌
B:肾癌
C:内分泌肿瘤
D:肉瘤
E:黑色素瘤
患者,女,36岁,因进食困难,进行性加重1年就诊,钡餐检查示食管明显扩张,蠕动减弱,食管远端残根状,表面尚光整,服温水后,造影剂可部分进入胃内。
第1题,共2个问题
(单选题)下列哪项是该病最具特征的X线征象()
A:鸟嘴征
B:半月征
C:袖口征
D:跳跃征
E:狭颈征
第2题,共2个问题
(单选题)最可能的诊断为()
A:食管远端癌
B:食管贲门失弛缓症
C:食管下端静脉曲张
D:反流性食管炎
E:食管下段黏膜下平滑肌瘤
慢性化脓性鼻窦炎CT的特征表现为()
A:鼻甲肥大
B:窦腔内积液
C:窦腔透过度减低
D:窦壁骨质硬化增厚
E:鼻窦黏膜增厚
关于输尿管癌的影像表现,下列
不正确
的是()
A:尿路造影的直接征象是输尿管内的中心或偏心充盈缺损
B:CT显示为输尿管内小圆形充盈缺损,上方输尿管及肾盂扩张积水
C:MRI可见输尿管梗阻部位有肿块,T
1
WI为高信号,T
2
WI为低信号
D:USG于输尿管走行区可见实质性中低回声肿块,上方输尿管扩张和肾盂积水
E:MRI造影后输尿管梗阻部位肿块有增强
骨巨细胞瘤Ⅱ级属于()
A:良性骨肿瘤
B:恶性骨肿瘤
C:肿瘤样病变
D:继发性骨肿瘤
E:潜在恶性骨肿瘤
X线摄影基础()
A:穿透性
B:荧光效应
C:感光效应
D:电离效应
E:生物效应
下列关于肾结核的说法,正确的是()
A:多数肾结核为双侧性
B:好发于乳头部
C:排泄性造影可见肾盂肾盏受压变形
D:晚期肾脏体积缩小,肾盂肾盏壁明显变薄
E:主要累及肾髓质
患者,男,35岁。右肾绞痛伴有镜下血尿1个月余,应先行的影像学检查方法()
A:排泄性尿路造影
B:逆行肾盂造影
C:B超
D:MRI
E:腹部平片
下列疾病属于骨关节肿瘤的是()
A:骨囊肿
B:动脉瘤样骨囊肿
C:骨软骨瘤
D:滑膜骨软骨瘤病
E:腱鞘囊肿
肺内团块状阴影,轮廓清楚、光滑、密度均匀,常有钙化,呈少量至大量斑点状或爆米花状,无空洞形成,应诊断为()
A:肺转移癌
B:周围型肺癌
C:炎性假瘤
D:错构瘤
E:结核球
以下有关像素和体素的表达,正确的是()
A:像素是扫描层被按矩阵排列分隔的基本成像单元
B:体素是像素在成像时的表现
C:像素是一个二维概念
D:像素越小,图像的分辨率相对越差
E:CT图像的基本组成单元称为体素
法洛四联症心腔变化为()
A:左心房增大
B:右心室肥大
C:右心房、室增大
D:左、右心室增大
E:左、右房增大
甲状旁腺功能亢进症()
A:夜间痛明显,服用水杨酸类药物可缓解
B:血尿酸升高,皮下尿酸盐结晶沉积
C:血清碱性磷酸酶升高,血清钙升高,血清磷降低
D:维生素D水平降低
E:本周蛋白尿
常规观察的肝静脉系统包括()
A:右肝静脉、左肝静脉
B:右肝静脉、中肝静脉、左肝静脉
C:门静脉、右肝静脉、中肝静脉、左肝静脉
D:右肝静脉、中肝静脉
E:中肝静脉、左肝静脉
肾上腺腺瘤()
A:水样密度类圆形肿块,不发生强化
B:低密度类圆形肿块,发生强化
C:双侧均为软组织密度肿块,发生不同程度均匀强化
D:密度不均匀肿块,内有脂肪性低密度灶
E:较大软组织密度肿块,中心有不规则坏死、囊变,并呈不均匀强化
亚急性血行播散型肺结核的主要表现()
A:粟粒影像大小不一、分布不均、密度不均
B:病灶多见钙化
C:纤维化呈条索状阴影也是其特征性表现
D:常形成空洞透亮区
E:临床上有高热、呼吸困难等症状
患者,男,30岁。左膝关节间歇性肿痛1年余,CT显示左膝关节腔内数个软组织密度的结节影,关节腔积液,骨端可见囊状骨质破坏区,关节抽出液呈巧克力色。该患者可能患有()
A:滑膜肉瘤
B:血友病性关节病
C:类风湿关节炎
D:色素沉着绒毛结节性滑膜炎
E:结核性关节炎
肺泡壁破裂融合致含气腔隙大于多少时称为肺大疱()
A:3mm
B:5mm
C:10mm
D:20mm
E:30mm
介入治疗中应用DSA的优点
不包括
()
A:实时成像
B:可绘制血管路径图
C:增加碘对比剂的用量
D:影像后处理
E:突出微小的密度差别
股骨内侧髁矢状层面上的结构
不包括
()
A:内侧半月板
B:交叉韧带
C:胫骨内侧髁
D:胫骨粗隆
E:翼状襞
在腰椎后斜位片上,腰椎附件(椎弓及椎骨的突起)的投影似“猎狗”形状,椎弓峡部相当于()
A:狗嘴
B:狗眼
C:狗耳
D:狗颈
E:狗腿
小细胞肺癌最常见的转移途径是()
A:直接蔓延
B:血行播散
C:淋巴转移
D:支气管播散
E:以上都不是
骨折不愈合的主要标准是()
A:骨折线模糊
B:两断端骨质吸收
C:骨折端假关节形成
D:骨折线变宽
E:骨折端未见骨痂形成
患者,男,46岁,头痛1周,加重1天,出现喷射性呕吐,无明显发热,有轻咳。其家中多年饲养肉鸽。CT示双肺多发大小不等的斑片状影,无纤维钙化灶。下列最可能的诊断为()
A:肺放线菌病
B:肺吸虫病
C:肺隐球菌病
D:过敏性肺炎
E:肺结核
软组织脂肪肉瘤的CT诊断中,错误的是()
A:多发生于深部软组织,最常见于大腿和腹膜后
B:呈圆形或不规则形软组织肿块
C:浸润性生长,边界不清,密度不均
D:恶性度越高,则CT值越低
E:增强扫描呈不均匀性强化
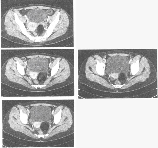
女,35岁,下腹部胀痛,CT扫描如图所示,盆腔内囊实性肿块影,其内CT值不均,CT值-120~360HU不等,最可能的诊断是()
A:子宫肌瘤
B:卵巢癌
C:卵巢畸胎瘤
D:卵巢囊肿
E:以上都不是
患者,男,30岁,搏动性耳鸣,体检发现鼓膜后内侧透见红色肿物。CT显示鼓室内可见一类圆形软组织肿物,增强CT肿物明显强化,最大强化时间早于颈静脉、晚于颈动脉,拟诊为()
A:胆脂瘤,中耳炎
B:胆脂瘤,听骨链破坏
C:面神经瘤,听骨链破坏
D:颈静脉球瘤,颈内静脉裸露
E:中耳乳突炎,听骨链破坏
先天性脊髓空洞症MRI影像表现
不包括
()
A:串珠样改变
B:合并小脑畸形
C:病变强化
D:T2WI高信号
E:T1WI低信号
首页
<上一页
41
42
43
44
45
下一页>
尾页