自考题库
首页
所有科目
自考历年真题
考试分类
关于本站
游客
账号设置
退出登录
注册
登录
出自:内分泌学高级职称
呼吸衰竭时出现的呼吸性酸中毒的特点有()。
A:PaCO
2
增高,pH下降
B:血钾增高
C:BE正值增大
D:可有精神神经症状
E:多出现于呼吸衰竭晚期
甲状腺摄I率,正常值3小时______,24小时______高峰在_______小时。甲亢者3小时_______,24小时_______,且_______前移。
结合下列图片,指出以下关于甲状腺的说法正确的是( )
A:甲状腺的血液供应很丰富,主要来自甲状腺上、下动脉,其间有吻合
B:甲状腺表面有静脉丛,血液经甲状腺上、中、下三组回流
C:甲状腺功能仅接受交感神经节支配
D:甲状腺的淋巴引流具有多向性和广泛性特点,可分为7个区域
E:淋巴向上、下、两侧分别引流至颈部、纵隔、颈侧区和咽后区
评价TAO活动性的指标有()。
A:奥曲肽扫描
B:血清/尿标志物GAGs
C:CAS评分
D:NOSPECS标准
E:MRI
患者社会性别为女性,19岁,因“无月经来潮,发作性头晕、乏力1年”来诊。查体:BP170/100mmHg;身高169cm;甲状腺不大,乳房未发育;HR80次/min,心前区可闻及2/6收缩期杂音;未见阴毛,女性外阴,双侧腹股沟可扪及4cm×5cm包块,可移动,轻压痛。治疗可用()。
A:呋塞米
B:螺内酯
C:地塞米松
D:地高辛
E:甲巯咪唑
垂体瘤经手术治疗后,较少复发是因为()。
A:多为转移瘤
B:多为功能性瘤
C:瘤细胞增生少见
D:瘤体较小
E:瘤细胞增生明显
患者,男,30岁,因阵发性头痛、心悸发作4次入院,本次发作时面色苍白,头痛剧烈,测血压180/130mmHg,心率130次/分,律齐,已持续15min。
第1题,共2个问题
(单选题)为进一步明确诊断,应采取何种检查()。
A:血皮质醇节律测定
B:酚妥拉明抑制试验
C:OGTT
D:小剂量地塞米松抑制试验
E:胰高血糖素是刺激试验
第2题,共2个问题
(单选题)最可能的诊断是()。
A:嗜铬细胞瘤
B:胰岛素瘤
C:皮质醇增多症
D:类癌
E:甲状腺髓样癌
女,40岁,因“头晕、失眠、易烦躁3个月”来诊,查:身高155cm,体重70kg,血压165/90mmHg,向心性肥胖体型,满月脸,颜面呈暗红色,下腹两侧及大腿外侧可见紫红色条纹。此患者首先应考虑作何检查( )
A:血ACTH测定
B:颅脑CT或MRI
C:血、尿皮质醇测定
D:小剂量地塞米松抑制试验
E:大剂量地塞米松抑制试验
一病例:实验室检查TT
3
240ng/dl,TT
4
17μg/dl,甲状腺核素扫描呈热结节。此病人最可能的诊断是()。
A:桥本甲状腺炎
B:甲状腺瘤伴甲亢
C:甲状腺囊肿
D:甲状腺癌
E:碘甲亢
垂体性侏儒症智力一般正常。
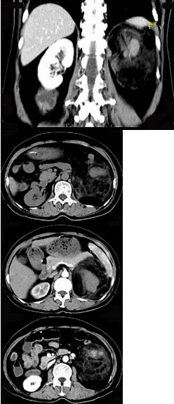
女,23岁,满月脸、向心性肥胖,CT扫描如图所示,应诊断为( )
A:右侧肾上腺增生
B:右侧肾上腺腺瘤
C:右侧肾上腺腺癌
D:右侧肾上腺嗜铬细胞瘤
E:右侧肾上腺转移瘤
女性,32岁。多次尿糖(+~++),OGIT各点血糖均在正常范围。诊断考虑()。
A:轻型糖尿病
B:糖耐量减低
C:非葡萄糖糖尿
D:肾性糖尿
E:食后糖尿
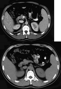
女,64岁,左侧腰部胀痛,行CT扫描,下列说法正确的是( )
A:左肾区可见一巨大的占位性病灶,境界较清楚,胰腺尾部受压向前推移
B:该病灶密度不均匀,其内可见脂肪密度影,且呈不均匀强化
C:考虑为左肾来源的血管平滑肌脂肪瘤
D:考虑为左侧肾上腺来源的髓样脂肪瘤
E:考虑为腹膜后来源的脂肪肉瘤
患者女,24岁,因“闭经1年”来诊。平素月经不规则,15岁初潮,经期2~4d,量少,周期30~60d,G1P0,2年前人工流产1次。1年前无明显诱因出现闭经。精神、食欲好,排尿、排粪无异常。查体:身高158cm,体重78kg;痤疮,多毛,无泌乳;妇科检查:外阴已婚未产式,阴道畅,宫颈Ⅰ度糜烂,子宫前位,大小正常,无压痛,双侧附件无压痛,未扪及包块。
第1题,共5个问题
(多选题)为使患者达到排卵及获得正常妊娠,应用克罗米酚进行促排卵治疗,该药存在的不良反应主要有()。
A:可影响宫颈黏液,精子不宜生存与穿透
B:可影响输卵管蠕动及子宫内膜发育,不利于胚胎着床
C:可引起未破裂卵泡明显黄素化
D:有导致卵巢过度刺激综合征的可能性
E:恶心和呕吐
F:头痛和视觉症状
第2题,共5个问题
(多选题)为预防远期并发症,可行的预防方法为()。
A:宣传教育
B:抑制胰岛素分泌
C:控制体重、调整生活方式
D:口服地塞米松
E:长期、定期随访观察
F:早期药物治疗
第3题,共5个问题
(多选题)患者入院后应常规进行的检查()。
A:葡萄糖耐量胰岛素释放试验
B:女性激素全套
C:卵巢超声
D:血清皮质醇
E:17-OHP
F:PRL
第4题,共5个问题
(多选题)患者目前可行的治疗措施为()。
A:人工周期或达英-35调整月经周期
B:调整生活方式
C:心理调节
D:腹腔镜手术
E:促性腺激素释放激素激动剂的应用
F:体外受精、胚胎移植
第5题,共5个问题
(多选题)此时应考虑的疾病是(提示性激素全套(滤泡期):FSH4.4mU/ml(正常值4.0~13.0mU/ml),LH40.8mU/ml(正常值2.4~12.6mU/ml),泌乳素176.2μU/ml(正常值102.0~496.0μU/ml),雌二醇787.1pmol/L(正常值46~607pmol/L),孕酮1.6nmol/L(正常值0.6~4.7nmol/L),睾酮2.5nmol/L(正常值0.2~2.9nmol/L),β-HCG0.294mU/ml(正常值<5mU/ml)。B超:子宫大小正常,右侧卵巢可见滤泡9枚,左附件未见异常。)()。
A:Asheman综合征
B:库欣综合征
C:隐匿性卵巢早衰
D:多囊卵巢综合征
E:垂体性闭经或不孕
F:甲状腺功能减退或甲状腺功能亢进
关于1型糖尿病的叙述错误的是( )
A:容易伴发其他自身免疫性疾病
B:青少年起病者有自发性酮症倾向
C:胰岛素抵抗参与其发病
D:需要以胰岛素治疗以控制代谢紊乱和维持生命
E:患病初期经胰岛素治疗以控制代谢紊乱和维持生命
患者女,48岁,因“颈部增粗17年”来诊。查体:甲状腺Ⅱ度肿大,可触及多个结节,未闻及血管杂音。
第1题,共3个问题
(多选题)关于进一步诊治,叙述正确的是(提示:患者TSH52mU/L,FT
3
和FT
4
低于正常,TPOAb和TgAb明显升高,总胆固醇轻度升高。甲状腺超声:多个低回声结节,最大者直径约3cm。ECG://各导联低电压,V1~V4导联T波低平。)()。
A:可予利尿剂消肿治疗
B:立即予他汀类药物调脂治疗
C:可予甲状腺素替代治疗,由小剂量开始,逐渐增加剂量
D:可对甲状腺结节行细针穿刺检查
E:可考虑行心脏超声检查,确定是否存在心包积液
F:可联用硝酸酯类药物
第2题,共3个问题
(多选题)初步考虑颈部增粗的原因可能包括()。
A:桥本甲状腺炎
B:结节性甲状腺肿
C:甲状腺癌
D:地方性甲状腺肿
E:产后甲状腺炎
F:亚急性甲状腺炎
第3题,共3个问题
(多选题)就甲状腺方面,应尽快做的检查包括(提示:患者有逐渐加重的皮肤干燥、便秘、周身水肿,时有心前区不适、隐痛。查体:黏液性水肿面容,手掌呈姜黄色;HR58次/min。)()。
A:甲状腺功能
B:TRAb
C:TPOAb,TgAb
D:甲状腺超声
E:甲状腺吸碘率
F:颈部CT
诊断肥胖症的常用方法有_______、________、________、_______。其中是诊断内脏型肥胖最精确的方法是_______。
糖尿病时血糖升高的机制有()。
A:组织对葡萄糖的利用减少
B:胃肠道对葡萄糖吸收增加
C:糖原分解代谢加速
D:糖原合成减少
E:外周组织摄取葡萄糖增加
下列疾病中不会引起继发性糖尿病的是( )
A:生长激素瘤
B:Cushing综合征
C:嗜铬细胞瘤
D:甲状腺功能减退症
E:急性重症胰腺炎
Graves病的临床表现有( )
A:周期性瘫痪
B:第一心音减弱
C:胫前粘液性水肿
D:脉压差增大
E:突眼
继发性肥胖症常见于下列哪些疾病( )
A:下丘脑、垂体的炎症
B:肿瘤
C:创伤
D:Cushing综合征
E:性腺功能减退症
甲亢患者甲状腺滤泡腔内的胶质明显增多。
碘剂治疗甲亢用于以下哪组情况()。
A:甲亢危象、术前准备
B:甲亢危象、妊娠
C:应激
D:甲亢性心脏病、甲亢危象
E:Craves眼病、术前准备
下列关于胆固醇的说法
不正确
的是( )
A:食物中的胆固醇主要为自由胆固醇,约有40%被小肠吸收
B:内源性胆固醇在肝和小肠粘膜由乙酸合成而来
C:乙酰辅酶A是合成胆固醇的基质,合成过程受HMG-CoA还原酶催化
D:胆固醇的去路包括构成细胞膜、生成类固醇激素、维生素D、胆酸盐、储存于组织等
E:饥饿、低热量饮食或肝吸收胆固醇较多时,可增强HMG-CoA还原酶活性,从而减少胆固醇合成
柯兴氏病(增生型皮质醇增多症)最有诊断意义的表现是()。
A:X线检查蝶鞍增大
B:用大量糖皮质激素不能抑制ACTH的产生
C:大剂量地塞米松抑制ACTH产生,小剂量地塞米松抑制试验不被抑制
D:用甲吡酮不能增加ACTH产生
E:肾上腺对试验剂量的ACTH的反应降低
甲状腺危像时,首先选用的药物是( )
A:甲基硫氧嘧啶
B:丙硫氧嘧啶
C:心得安
D:卢戈氏液
E:氢化可的松静脉滴注。
三发性甲状腺功能减退症
定胰岛B细胞功能的主要目的是()。
A:诊断糖尿病
B:1、2型糖尿病分型
C:除外继发性糖尿病
D:指导治疗
E:诊断营养不良相关性糖尿病
患者,女,72岁。尿频、尿急伴发热3天,意识不清4小时由家属送入院。否认糖尿病史。高血压史12年。 应做下列哪项检查能最快帮助诊断( )
A:血糖、血酮
B:尿糖、尿酮
C:血气分析
D:微量血糖测定
E:肝、肾功能
患者男,61岁,2型糖尿病,合并高血压,尿蛋白(+)。最佳降压药物为()。
A:利尿剂
B:CCB
C:ACEI
D:α1-受体阻滞剂
E:β-受体阻滞剂
首页
<上一页
40
41
42
43
44
下一页>
尾页