自考题库
首页
所有科目
自考历年真题
考试分类
关于本站
游客
账号设置
退出登录
注册
登录
出自:神经病学高级职称
痛性抽搐
如图所示体征称为_____________,常见于_____________疾病。
翼状肩胛
间脑损害的呼吸特点为________,中脑损害的呼吸特点为_____________,中脑下部和桥脑上部损害表现为________,桥脑下部和延髓上部损害时表现为__________。
神经梅毒的患者在________病变处最易发现苍白螺旋体( )
A:脑脊膜
B:神经实质
C:神经胶质
D:脑室及脑脊液循环系统
E:脑血管壁
请论述锥体外系统病变的症状与定位?
脊髓空洞症的典型临床表现是__________、________和________。
首夜颠倒效应
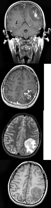
男,15岁。头痛呕吐数天。生活在疫区。MRI检查如图示。最可能的诊断是( )
A:脑血吸虫病
B:脑脓肿
C:脑内结核瘤
D:胶质瘤
E:未见异常
进行性肌营养不良症主要的预防措施有_________和_________。
患者意识清醒,右眼睑下垂,瞳孔散大,光反射消失,眼球外斜视,额纹对称,露齿时口角右偏,伸舌左偏,左侧中枢性偏瘫,病变位于( )
A:右侧脑桥及延髓
B:右侧脑桥及中脑
C:右侧中脑
D:右侧延髓、脑桥及中脑
E:右侧内囊病变发展形成天幕疝
面神经麻痹的分类?
男性,27岁,发作性头痛4年。每年春季多发,持续一月左右,其间每日发作2小时左右。今日发生眼眶周围剧痛伴结膜充血,眼睑水肿,有Horner征,其余体检正常。 治疗本病疗效最好的药物为( )
A:β-受体阻断剂
B:钙离子拮抗剂
C:5-羟色胺抑制剂
D:肾上腺皮质激素
E:麦角胺制剂
大脑皮质感觉中枢刺激病灶症状?
试述脑的多巴胺代谢?帕金森病的生化病理?
女,35岁,右侧乳突区痛2天,口角向左歪1天。最有助于定位诊断的体征是( )
A:张口时下颌偏斜
B:双侧面部针刺觉
C:双侧皱额和眼睑闭合情况
D:伸舌偏斜
E:双侧肢体无力
去皮质综合征的姿势特点?
下列哪项不符合脑囊虫的病变部位分型( )
A:脑室型
B:蛛网膜型(脑膜型)
C:精神型(痴呆型)
D:脊髓型
E:脑实质型
采集脑脊液的方法有哪些?
大面积脑梗死
甲亢性周期性瘫痪
进行性肌营养不良症哪种类型病情最重( )
A:先天型
B:Duchenne型
C:Becker假肥大型
D:肢带型
E:面肩肱型
transverse lesion 0f the spinal cord
如图所示查体,主要是检查哪对颅神经______________。
Guillain-Barre综合征患者有时可发生( )
A:心肌炎
B:肺部感染
C:心力衰竭
D:呼吸肌麻痹
E:直立性低血压
原发性三叉神经痛与继发性三叉神经痛的鉴别主要是继发性三叉神经痛患者()。
A:疼痛较剧烈
B:年龄较轻
C:药物疗效较差
D:病程较长
E:有神经系统阳性体征
神经—肌肉接头疾病的特征性表现是_________和_________。
下列病原体与疾病关系正确的是( )
A:苍白密螺旋体——lyme病
B:乳头多瘤空泡病毒——PML
C:风疹病毒——SSPE
D:伯氏疏螺旋体——梅毒
E:以上均是
10岁男孩,发作性活动停止,呼之不应,约10余秒后缓解,每日数次,脑电图如图示智力正常。最可能的诊断是( )
A:部分性发作
B:典型失神发作
C:非典型失神发作
D:复杂部分性发作
E:强直—阵挛发作
何谓中枢神经系统感染?
首页
<上一页
40
41
42
43
44
下一页>
尾页