自考题库
首页
所有科目
自考历年真题
考试分类
关于本站
游客
账号设置
退出登录
注册
登录
出自:放射医学主治医师
肝细胞癌介入化疗栓塞常用的化疗药物
不包括
以下哪种()
A:MMC
B:CDDP
C:MrIX
D:ADM
E:5-FU
患者,男,42岁。因发热、右上腹疼痛2周入院;患者2周前无明显诱因出现发热,食欲缺乏,右上腹疼痛,查体:肝右叶体积增大,右上腹压痛明显,实验室检查:Hb:110g/L,WBC://13.8×10
12
/L,N:78%;X线检查见右膈抬高,右侧胸腔少量积液,上腹部CT平扫见肝右叶大小约5.2cm×4.5cm×3.7cm低密度病灶,边界欠清晰,密度不均匀,CT值为15~52HU,病灶中心可见低密度区。出现以下哪些影像学征象支持细菌性肝脓肿的诊断()
A:病灶边缘不清楚
B:环征或靶征
C:增强扫描病灶周围结构均有不同程度的强化,强化程度常高于肝组织
D:增强扫描病灶内部可见分隔状强化,病灶低密度区未见强化
E:增强扫描动脉期病灶周边呈结节状明显强化,静脉期强化范围增大,向中央呈填充式强化,延迟期呈等密度灶
F:病灶内出现空气影
室间隔缺损心腔变化为()
A:左心房增大
B:右心室肥大
C:右心房、室增大
D:左、右心室增大
E:左、右房增大
上颌窦开口于下列哪个鼻道()
A:上鼻道
B:最上鼻道
C:中鼻道
D:下鼻道
E:以上都不对
直接猛烈的暴力引起()
A:粉碎性骨折
B:病理性骨折
C:疲劳性骨折
D:压缩性骨折
E:撕脱性骨折
肝棘球蚴病的影像表现
不正确
的是()
A:平扫病灶呈大小不一,单发或多发,呈圆形或类圆形,有时呈浅分叶
B:病灶边缘光整、清晰,囊壁密度略高于肝组织,钙化或合并感染时壁明显增厚
C:囊内密度均匀一致,增强后无强化
D:母囊内可见子囊,子囊的数目和大小不一
E:无钙化的子囊密度可高于母囊
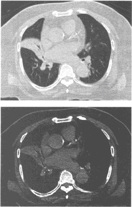
患者,男,56岁,无明显诱因突然咯血入院,作CT检查如图,病变的肺叶(段)定位应为()
A:右肺下叶内基底段
B:右肺上叶尖、后段
C:右肺中叶
D:右肺上叶前段
E:右肺下叶后基底段
肾癌动脉血管造影,正确的表现是()
A:肾动脉不增粗
B:患侧肾动脉增粗,肿瘤周围血管移位、分离,呈"抱球"状
C:局部肾实质染色消失
D:肿瘤血管呈漩涡状或放射状排列
E:病灶内小动脉呈葡萄样扩张
治疗冠状动脉狭窄宜使用()
A:PTA
B:经导管血管栓塞术
C:经导管动脉内药物灌注术
D:经皮穿刺体腔减压术
E:经皮针刺活检术
患者,男,24岁,进行性腰部疼痛、僵硬5年。X线平片示双侧骶髂关节髂骨侧关节面呈锯齿状破坏,周围骨质硬化,骶髂关节间隙变窄,脊柱呈方形椎改变。该病最常侵犯的外周关节是()
A:髋关节
B:肩关节
C:肘关节
D:膝关节
E:踝关节
胃底食管静脉曲张破裂大出血的最优治疗方法是()
A:单纯药物治疗
B:胃冠状静脉栓塞术
C:胃左动脉栓塞术
D:外科分流术
E:胃底静脉结扎术
典型肝脓肿壁出现三层环状结构,腔内可有分隔,增强扫描时强化最明显的是()
A:水肿带
B:炎性坏死组织
C:纤维肉芽组织
D:脓肿内分隔
E:以上都不是
下列关于前列腺癌的影像学描述中,
不正确
的是()
A:病变侧包膜模糊、中断,提示包膜受侵
B:双侧静脉丛不对称,与肿瘤相邻处信号减低,提示静脉丛受侵
C:前列腺增大,中央带周围可见假包膜形成
D:前列腺周围脂肪内可见低信号区,提示周围脂肪受侵
E:双侧精囊不对称,局部信号减低,提示肿瘤侵犯
不-属于DSA成像选择参数考虑的因素是()
A:kV、mA、s
B:球管负载
C:曝光剂量
D:病变部位
E:对比剂的类型
典型输尿管结核肾盂造影表现()
A:输尿管变细
B:输尿管“串珠状”改变
C:输尿管变粗
D:输尿管无改变
E:输尿管内充盈缺损
关于肠梗阻影像表现
不正确
的是()
A:扩张的肠袢靠拢形成咖啡豆状为急性机械性小肠梗阻的典型表现
B:绞窄性小肠梗阻时肠袢由于嵌顿而且充满液体而呈软组织团块阴影,形成“假肿瘤”征象
C:麻痹性肠梗阻的特点是大小肠呈均等积气、扩张,可有气-液平面
D:麻痹性肠梗阻扩张的肠管相互靠近,并且间隙常见增宽
E:急性结肠梗阻时闭袢性扭转的特点是,结肠明显扩张,可达10~20cm,扩张的乙状结肠呈马蹄状,内有两个较宽的液面,其扩张的顶部可达中上腹部
关于脑肿瘤MRI信号特点的描述,哪项不对()
A:A
B:B
C:C
D:D
E:E
左心室的解剖结构及其与邻近结构的关系,哪一项是错误的()
A:左室流入道
B:左室流出道
C:左室壁
D:左房室口,通过房室口与左心房相连
E:与肺动脉连接
患儿,男,10岁。MRI示第四脑室内一边界清楚的分叶状肿物,呈TWI稍低信号,TWI稍高信号,增强扫描病灶明显均匀强化,病灶周围可见清晰的脑脊液间隙影。该患者首先考虑的诊断是()
A:髓母细胞瘤
B:星形细胞瘤
C:脑膜瘤
D:脉络膜丛乳头状瘤
E:室管膜瘤
侧脑室前角外侧是()
A:尾状核体部
B:尾状核头部
C:内囊前肢
D:苍白球
E:尾状核尾部
患儿,男,9岁,癫痫。CT示右顶叶表面有一裂隙,向内并延伸到侧脑体旁,侧脑室外侧可见一局限性突起与其相连,最可能诊断为()
A:空洞脑
B:脑软化
C:脑裂畸形
D:穿通畸形
E:蛛网膜囊肿
关于扩张型心肌病病理表现,下列哪项描述正确()
A:典型病理表现为向心性肥大
B:典型病理表现为离心性肥大
C:两侧心室及心尖肥厚
D:心脏重量无明显增加
E:心肌细胞变细伸长及心肌间质纤维化
膀胱结石为()
A:膀胱充盈缺损,边缘光整,密度高
B:膀胱缩小,轮廓毛糙即膀胱挛缩
C:膀胱呈"宝塔"状,体积增大,壁增厚
D:膀胱前上方见软组织肿块,在人体中轴线上
E:膀胱内充盈缺损,有强化
患者,男,25岁。近几年出现吞咽梗阻感,偶出现胸骨后疼痛。行食管吞钡检查如图。
对该病的描述
不正确
的是()
A:病因是食管神经肌肉运动功能障碍,下段食管括约肌呈失弛缓状态而导致食管张力减退、蠕动消失及食管扩张
B:临床上以吞咽困难、胸骨后疼痛及食物反流为最常见的症状
C:最常见于老年人
D:是一种非器质性食管狭窄性疾病
E:典型的X线表现为食管狭窄并其上段极度扩张
F:以上都不是
关于肝脏病变错误的是()
A:肝硬化为肝实质内结缔组织广泛增生,假小叶形成
B:脂肪肝是由于肝细胞内大量脂肪沉积所致
C:肝脓肿常包括细菌性和阿米巴性两种
D:细菌性肝脓肿液化坏死后脓液呈巧克力色,有臭味
E:阿米巴性肝脓肿实验室检查粪便中可查到阿米巴滋养体
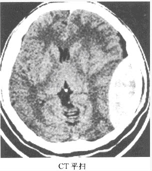
患者,男,42岁,外伤后不省人事,2小时后清醒,后又昏迷,急诊来院。
第1题,共2个问题
(单选题)患者的CT检查如下图,该患者的诊断是()
A:硬膜下血肿
B:蛛网膜下腔出血
C:硬膜外血肿
D:弥漫性轴索损伤
E:脑膜瘤
F:以上都不是
第2题,共2个问题
(单选题)该病的特点是()
A:出血可跨越颅缝
B:出血不跨越颅缝
C:出血不受颅缝影响
D:外伤后持续昏迷
E:慢性期会形成"盔甲脑"
F:以上都不是
以下哪一种情况CT颅脑平扫可以是阴性结果()
A:脑出血
B:硬膜外血肿
C:脑积水
D:超急性期脑梗死
E:脑萎缩
有关早期静脉高压的描述,正确的是()
A:肺动脉段膨出,代表肺动脉主干扩张及右心室流出道增大
B:上叶肺静脉明显扩张,能在平片上显示出1~2条长而宽的血管影像
C:表现为肺门血管搏动,是由于肺动脉主干高度扩张后引起肺动脉瓣相对关闭不全
D:两肋膈角出现间隔线
E:其共同点为中央和外围血管均增粗
关于支气管动脉的解剖叙述错误的是()
A:支气管动脉直径正常为2~3mm,当肺部有肿瘤时相应的血管可增粗
B:炎症支气管动脉从纵隔向肺门方向走行,可与纵隔内动脉、肋间动脉或对侧支气管动脉交通
C:右侧支气管动脉大多为一支且与肋间动脉共于,并以与第三肋间动脉共干为最常见
D:支气管动脉起源均在胸主动脉4~9胸椎水平
E:70%~90%起自第5~6胸椎水平
最易出现椎旁脓肿的脊柱结核部位是()
A:颈椎
B:胸椎
C:腰椎
D:腰骶椎
E:骶尾椎
首页
<上一页
40
41
42
43
44
下一页>
尾页