自考题库
首页
所有科目
自考历年真题
考试分类
关于本站
游客
账号设置
退出登录
注册
登录
出自:超声医学与技术高级职称
患者,32岁,车祸后3小时,左侧肋骨骨折,血压正常。
第1题,共4个问题
(单选题)患者3天后由于用力过度,突然出现左上腹部剧烈疼痛,最可能发生了()。
A:迟发性脾破裂
B:肝破裂
C:肺损伤
D:胃破裂
E:肠破裂
第2题,共4个问题
(单选题)该患者急行超声检查可见:腹腔大量液性暗区,脾周片状液性暗区,肝肾间隙条状液性暗区,盆腔片状液性暗区,脾被膜连续中断,此时可诊断为()。
A:真性脾破裂
B:中央破裂
C:被膜下血肿
D:被膜下血肿合并中央破裂
E:边缘破裂
第3题,共4个问题
(单选题)该患者首选的治疗方案是哪个?()。
A:剖腹探查术
B:脾修补
C:脾栓塞
D:在密切观察下采取非手术治疗
E:不能采取非手术治疗
第4题,共4个问题
(单选题)超声检查所见:腹腔未见明显液性暗区。肝实质回声稍粗糙,胰腺未见明显异常,脾脏被膜下有少量不规则片状液性暗区,相邻脾实质可见局限性弱回声区,范围约21mm×24mm,最可能的诊断是()。
A:肝挫裂伤
B:脾破裂
C:肺损伤
D:胃破裂
E:肠破裂
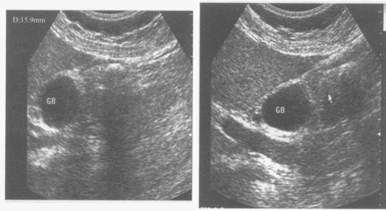
临床资料:女,48岁,右上腹不适。超声综合描述:胆囊壁毛糙,胆囊颈部透声清亮,分隔上胆囊底、体部内未见透声(箭头所示),内可见直径1.6cm弧形强回声光带,后伴声影。
超声提示()
A:胆囊泥沙样结石
B:胆囊息肉
C:胆囊充满型结石
D:胆囊多发结石(分隔上充满型)
多普勒超声血流检测技术主要用于()。
A:测量血流速度
B:确定血流方向
C:确定血流种类
D:获得有关血流参数
E:以上都对
患者,男性,30岁,临床诊断半月板损伤,表现是()。
A:完全断裂,间隙较宽时,可见两个强回声界面,其间有低回声带
B:完全断裂,间隙较宽时,可见两个低回声界面,其间有强回声带
C:裂口较小,不完全分离的裂伤,多显示为线状低回声
D:半月板退行性改变可在半月板结构内出现多发的不规则低回声改变
E:有关节积液时,关节腔外和髌上间隙可见液性无回声
以下哪项超声表现与慢性肺栓塞无关()。
A:下腔静脉腔内可见实质性回声充填
B:室间隔与左心室后壁呈同向运动
C:二尖瓣环扩大,三尖瓣关闭时见明显缝隙
D:肺动脉主干腔内彩色血流信号暗淡
E:右心室腔扩大,肌窦异常丰富,局都变薄
超声可以描述为()。
A:可通过物质传播的机械振动
B:可通过真空传播的机械振动
C:可通过组织传播的电磁波
D:可穿透软组织的微波
前列腺增生CDFI改变()。
A:前列腺内血流丰富,可见增生结节旁有动脉血流环绕
B:前列腺内未见血流信号
C:前列腺内呈少血流改变
D:前列腺内可见丰富的静脉血流信号
E:以上都不是
以下不是胃平滑肌瘤的声像图特点的是()。
A:肿瘤内可发生坏死、出血使内部回声不均匀
B:瘤体呈圆形或类圆形,直径小于5cm
C:肿瘤易出现溃疡,常有较深大的不规则溃疡
D:肿瘤可向腔内生长并将黏膜层顶起
E:肿瘤同时向胃腔和浆膜层生长形成哑铃状或不规则状肿块
超声纵向分辨力是分辨前后两个点最小距离的能力,其理论计算值应是()。
A:λ/4(λ波长)
B:λ/3
C:λ/2
D:λ=1
E:λ>1
下列对输尿管囊肿描述,错误的是()。
A:输尿管囊肿是由于输尿管末端狭窄造成的局部囊状扩张
B:随着输尿管蠕动囊肿可以有节律性膨大与缩小
C:囊壁由一层膀胱粘膜和一层输尿管粘膜组成
D:囊肿较大可并发肾输尿管积水
E:囊肿早期无症状,囊肿较大堵塞尿道可引起排尿困难
以下哪项是主动脉瓣关闭不全所致().
A:SAM现象
B:弓背样改变
C:钻石样改变
D:吊床样改变
E:二尖瓣前叶高频震颤
关于肝血管瘤,说法
不正确
的是()。
A:边缘多无包膜
B:小于2cm的小血管瘤多为高回声
C:探头加压后病灶可变形
D:内有网格状回声
E:瘤体后方回声不同程度增强
鞘膜积液分四种,如图所示为哪种()。
A:睾丸鞘膜积液
B:精索鞘膜积液
C:睾丸精索鞘膜积液
D:交通性鞘膜积液
E:以上都不是
胎儿单侧肾盂积水,超声常同时发现
A:先天性巨大膀胱
B:多囊肾
C:膀胱过度充盈
D:输尿管肾盂接合处梗阻
E:对侧肾发育不全
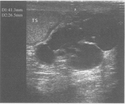
临床资料:男,56岁,黑人(赞比亚)。自诉阴囊肿胀不适20年余。超声综合描述:左侧睾丸足侧外可见4.3cm×2.7cm无回声区,形态不规则,内见完整及不完整分隔,透声清亮,包膜完整。
超声提示()
A:左阴囊内血肿
B:左侧睾丸鞘膜积液
C:左侧睾丸囊肿
D:左侧附睾旁囊肿
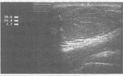
临床资料:女,41岁,自述发现后颈部肿物3年余,进行性增大。临床物理检查:后颈部形态失常隆起,可扪及一肿物,质中等。超声综合描述:后颈部皮下可见3.7cm×1.6cm椭圆形中等回声区,长径与厚径比值>2,内回声尚均匀,可见少许条状强回声,边界清晰,有包膜,后方回声增强,探头加压轻度变扁,距体表0.3cm。
超声提示()
A:后颈部皮下血管脂肪瘤
B:后颈部皮下脂肪瘤
C:后颈部皮下纤维脂肪瘤
D:后颈部皮肤纤维瘤
介质决定下列哪一项()。
A:强度
B:周期
C:传播速度
D:振幅
患者男,34岁,因“搬起重物过程中突觉右上肢疼痛,随即无力2h”来诊。查体:右上肢皮下淤斑。该患者行超声检查时无须()。
A:多切面扫查
B:注意各向异性伪像
C:注意有无肿物
D:大量涂布耦合剂
E:双侧对比
心尖四腔切面,二尖瓣与三尖瓣的鉴别正确的是()。
A:二尖瓣前叶较短
B:二尖瓣位置高
C:三尖瓣位置高
D:三尖瓣隔叶较长
E:三尖瓣前叶较长
右冠状动脉的分支除外()。
A:后室间支
B:左室后支
C:窦房结支
D:旋支
E:房室结支
下列哪一项不是典型腮腺囊肿的声像图表现()。
A:形态不规则,呈多边形
B:囊后方回声增强
C:轮廓完整,界限清晰
D:有时可见轮廓线
E:囊内为均匀无回声,透声性良好
频谱多普勒的主要特点有()。
A:连续波多普勒有2个换能器,1个用于发射,1个用于接收
B:脉冲多普勒有2个换能器,发射短暂超声后,有一“可听期”
C:连续波多普勒不能检测指定目标的血流信息
D:脉冲多普勒有距离选通能力,可检测指定目标的血流信息
E:连续波多普勒可测高速血流,脉冲多普勒测速受脉冲重复频率(PRF.的限制
患者男性,45岁,乙肝病史10年,右上腹不适,ALT、AFP正常。临床申请腹部超声检查。超声所见:肝脏右叶萎缩,左叶代偿性增大,肝被膜不光滑,实质回声增强、增粗、不均质,可见局限性回声增强区,肝静脉细窄,胆囊壁增厚5mm,胆囊侧壁可见3mm、4mm等回声赘生物,脾脏厚径47mm。此时,可能的诊断是()。
A:慢性胰腺炎
B:肝硬化
C:重症肝炎
D:胆囊息肉
E:慢性胆囊炎
F:脾大
二次谐波成像增强超声造影效果的原理是()。
A:增大微气泡的浓度
B:二次谐波的回声强度最大
C:谐振时造影剂的散射面积变小
D:只接收造影剂的散射面积变小
E:只接收造影剂的二次谐波回声
下列不符合子宫肌腺症特点的是()。
A:子宫内膜异位至子宫肌层
B:痛经,进行性加重
C:子宫增大,肌壁散在分布,无回声
D:CDFI示病灶区血流信号丰富
E:CDFI示病灶区无血流信号
阻尼控制与衰减器的不同点是()。
A:阻尼抑制系统抑制近场;衰减器抑制远场
B:衰减器影响接收信号;阻尼控制进入人体的超声量
C:阻尼控制接收信号;衰减器减少进入人体的超声量
D:无区别
当骨盆骨折时,易受损的是哪一部分尿道()。
A:前列腺部尿道
B:膜部尿道
C:球部尿道
D:阴部尿道
E:悬垂部位
有关心肌的供血,下列描述正确的是()。
A:心肌的供血由胸廓内动脉供应
B:心肌的供血由左、右冠状动脉供应
C:右心的供血主要由左旋支供应
D:室间隔的供血大部分由右冠状动脉供应
E:左室下壁的供血由前降支供应
急性胆囊炎的USG的表现为()。
A:胆囊增大、胆囊壁轮廓线模糊,外壁线不规则
B:胆囊壁弥漫性增厚,增厚的胆囊壁呈增强回声带
C:胆囊腔内出现弥漫性低回声、云雾状回声等提示胆囊积脓
D:胆囊窝显示无回声带,提示胆囊周围液体潴留或积脓
E:胆囊壁内无回声的散在小囊样憩室结构
关于肝硬化的超声表现,错误的是()。
A:初期肝硬化肝脏形态可正常或轻度肝肿大
B:肝表面不平整
C:肝实质回声呈密集、细小点状
D:肝静脉管腔变窄
E:门静脉主干和左右支可有扩张
首页
<上一页
39
40
41
42
43
下一页>
尾页