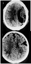
四岁男孩,因步态不稳,构音含糊就诊。该患儿孕35周时由于胎动减少而剖宫产,出生体重2100g,Apagar评分6分,5min后评分9分。患儿9个月会坐,3岁学步。体检:足尖行走,双下肢张力增高,有踝阵挛,双侧病理征阳性。
第1题,共2个问题
(单选题)最需要的检查是( )
A:头颅X线平片
B:头颅CT平扫
C:运动诱发电位
D:智能测定
E:脑电图
第2题,共2个问题
(单选题)根据CT表现,最可能的诊断是( ) 
A:小脑扁桃体下疝
B:脑性瘫痪
C:颅底凹陷症
D:扁平颅底
E:先天性脑积水