自考题库
首页
所有科目
自考历年真题
考试分类
关于本站
游客
账号设置
退出登录
注册
登录
出自:眼科高级职称
急性前葡萄膜炎( )
A:突发眼痛、眼红、畏光、恶心、呕吐
B:有睫状充血
C:角膜后有尘状色素性KP
D:瞳孔缩小,有渗出及后粘连
E:前房闪辉明显
下列哪种反应
不属于
光致化学作用()
A:光致分解
B:光致氧化
C:光致聚合
D:光致化合
E:光致敏化
前房角镜检查()
A:看到部分睫状体带者为窄Ⅰ
B:看见巩膜突者为窄Ⅱ
C:看见后部小梁者为窄Ⅲ
D:看见前部小梁者为窄Ⅳ
E:只能见到前界线者为窄Ⅴ
虹膜根部有半月型缺损,瞳孔呈“D”形( )
外伤使整个虹膜从根部完全离断( )
瞳孔括约肌受损、光反射迟钝( )
睫状肌或支配神经受损,伴调节麻痹( )
虹膜瞳孔缘及瞳孔括约肌断裂( )
A:瞳孔缘有不规则裂口
B:虹膜根部离断
C:外伤性无虹膜
D:外伤性瞳孔中度扩大
E:近视力障碍
男性20岁,右眼2天前铁屑溅入并急诊将异物取出,今天感觉右眼胀痛,检查角膜伤口长约1MM,已闭合,前房大量晶状体皮质,晶状体浑浊(如图)。B超检查玻璃体部分浑浊,眼压40mmHg,最好的治疗方法是()
A:抗炎、扩瞳
B:将晶状体摘除,2期晶状体植入
C:降眼压
D:将晶状体摘除并植入人工晶状体,2期行玻璃体切除术
E:降眼压、抗炎治疗,并将晶状体摘除
新生儿淋球菌性结膜炎的潜伏期为()
A:2~5天
B:24小时内
C:数分钟
D:6~15天
E:16~30天
结膜异物常见有灰尘、煤屑( )
A:多见于球结膜
B:多见于角巩膜缘
C:多见于睑结膜面
D:多隐藏在睑板下沟、穹窿部及半月皱襞
E:多见于睑裂部球结膜
女性,61岁,患“风心病二尖瓣狭窄并关闭不全”20年。10天前劳累后出现胸闷、心悸,不能平躺及双下肢水肿。查体:双肺干湿性啰音,心尖部舒张期奔马律,肝大,肝颈静脉回流征阳性。可能的合并症是()
A:心律失常
B:栓塞
C:亚急性细菌性心内膜炎
D:肺部感染
E:心力衰竭
对结膜乳头状瘤的描述正确的是()
A:由巨细胞病毒引起
B:病理特点是表层为复层鳞状上皮,结缔组织中有毛囊、皮脂腺
C:好发于上睑结膜
D:手术切除后不易复发
E:博来霉素局部注射可降低复发率
按照国际临床分类法,糖尿病性视网膜病变在第几期出现增生性病变( )
A:1期
B:2期
C:3期
D:4期
E:5期
患儿,男性,8岁,左眼视力模糊1周,并有眼球转动时疼痛,之前有感冒史。检查瞳孔对光反射略迟钝,眼底检查如图( )
A:三面镜检查
B:验光
C:B超检查
D:头颅CT检查
E:视野检查
远视按度数可分类为哪三种?
前部缺血性视神经病变的病因以下正确的是()
A:视盘局部血管病变
B:血粘度增加
C:眼或系统性低血压
D:眼内压增高
E:与遗传有关
患者,男性,21岁,双眼睑多发小肿物1年就诊。双眼上睑及睑缘多个大小不等黄白色小结节,中央凹陷,内部可挤出白色凝乳样物质,不伴疼痛、溃疡。最可能的诊断是()
A:色素痣
B:传染性软疣
C:乳头状瘤
D:黄色瘤
E:毛细血管瘤
下列有关视觉症状错误的是()
A:视物模糊,眼干燥症者,常诉下午较模糊
B:眼前黑影飘动多见于近视眼及老年人
C:晶状体硬化可产生晶状体性虹视
D:晶状体或玻璃体混浊均可致眼前黑影无规律飘动
E:单眼性复视主要为屈光不正造成,双眼复视(遮盖任何一眼无复视)为眼球运动复视
女,56岁,因右眼剧烈胀痛,偏头痛,视力严重下降就诊。发病前1天晚上因在昏暗的灯光下玩麻将至深夜而引发。检查:右眼视力0.1,右眼混合充血,角膜雾状水肿浑浊,前房浅,瞳孔中度散大,对光反射迟钝,晶状体轻度浑浊,余窥不清。此时首先应考虑的检查为()
A:服底荧光血管造影
B:测眼压
C:查视野
D:眼电图
E:查房角
某男,58岁,有糖尿病病史,近日觉眼前有白色小点,位置较固定,裂隙灯和眼底镜检查如图,此患者的诊断可能是()
A:玻璃体液化
B:玻璃体炎症
C:星状玻璃体变性
D:闪辉性玻璃体液化
E:淀粉样变性
女,60岁,双眼复视一周,有高血压病史。视力:OD://0.9,OS:0.9,眼前节及眼底检查未发现明显异常,眼肌检查:第一眼位33cm照影左+35°,左眼外转不过中线。该病例的治疗方法是()
A:以治疗原发病为主
B:立即手术矫正眼位
C:3个月内如保守疗法无效则考虑手术矫正眼位
D:1个月内如保守疗法无效则考虑手术矫正眼位
E:半个月内如保守疗法无效则考虑手术矫正眼位
玻璃体动脉残留最需与下列哪种情况鉴别()
A:PHPV
B:视网膜前膜
C:Weiss环
D:视乳头前血管环
E:玻璃体机化条索
Vogt-小柳一原田病是以双侧肉芽肿性全葡萄膜炎为特征的疾病。
对于角膜混浊,鉴别活动性病变与陈旧性病变的要点中,
不包括
()
A:角膜知觉是否减退
B:病变的表面是否粗糙有无光泽
C:病变的境界是否清楚
D:有无刺激症状
E:有无睫状充血
眼球固定液的组成包括()
A:甲醛
B:乙醇
C:冰醋酸
D:蒸馏水
E:以上均是
关于急性闭角型青光眼临床分期正确的是()
A:急性期、间歇期、慢性期
B:Ⅰ临床前期、先兆期、急性发作期、慢性期、绝对期
C:先兆期、发作期、缓解期
D:临床前期、先兆期、急性发作期、间歇期、慢性期、绝对期
E:急性期、慢性期
视觉器官有( )
A:眼球、眼血管、眼神经系统
B:眼球泪器、眼外肌
C:眼球、眼附属器、视路和视中枢
D:眼球、角膜、晶状体
E:眼球、眼附属器
在下列眼病中不发生传入性瞳孔障碍的是()
A:急性视神经乳头炎
B:缺血性视神经病变
C:球后视神经炎
D:外侧膝状体部肿瘤
E:颅咽管瘤
女性,30岁,间断黑便1个月,乏力、活动后心慌半月。查体:皮肤黏膜、口唇苍白,心率120次/分,心尖区可闻及Ⅱ级收缩期杂音。化验检查示:Hb60g/L。
第1题,共1个问题
(单选题)心率增快的原因是()
A:心肌炎
B:心瓣膜病
C:贫血
D:感染因素
E:风湿热
长期配戴接触眼镜可致()
A:巨乳头性结膜炎
B:感染性角膜炎
C:可引起深基质新生血管
D:可使角膜内皮失去原有正常结构
E:角膜上皮损害
眼眶蜂窝织炎包括哪些( )
A:眼睑水肿
B:葡萄膜炎
C:视力减退
D:眼球突出
E:视盘水肿
男性,47岁,诉右眼眼胀痛,查见眼底表现酷似一朵盛开的牵牛花,视盘比正常的扩大3~5倍,视盘周围有色素环及萎缩区,视盘呈漏斗状,眼底检查如图,对该病描述正确的是()
A:眼底表现酷似一朵盛开的牵牛花
B:视盘比正常的扩大3~5倍
C:视盘周围有色素环及萎缩区
D:常染色体隐性遗传
E:视盘呈漏斗状
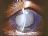
常发生在出生后或少年期,一般不影响视力,(如图)最有可能是何种类型的白内障()
A:先天性绕核白内障
B:先天性前极白内障
C:先天性后极白内障
D:先天性点状白内障
E:以上都不是
首页
<上一页
39
40
41
42
43
下一页>
尾页