自考题库
首页
所有科目
自考历年真题
考试分类
关于本站
游客
账号设置
退出登录
注册
登录
出自:放射医学主治医师
高压注射器的组成,
不包括
()
A:注射头
B:专用电源
C:控制台
D:机架
E:多向移动臂
CT诊断椎间盘膨出的特征性表现是()
A:椎间盘局限性超出椎体边缘
B:椎间盘内示气体密度影
C:椎间盘对称性、均匀一致地超出椎体边缘
D:椎间盘后缘出现弧形钙化
E:椎体终板边缘骨质增生
患者,女,50岁。无明显诱因流泪、眼球突出5年余。近半年症状加重,并出现头痛。查体:左眼球向鼻下方突出,眼眶外上方可触及一较硬肿块。CT平扫:左侧泪腺窝区可见不规则肿块影,密度不均匀,内可见片状低密度坏死区及斑点状钙化影,增强扫描肿块不均匀强化,眼眶顶壁可见不规则骨质破坏区。
第1题,共3个问题
(单选题)最可能的诊断是()
A:泪腺良性混合瘤
B:泪腺恶性混合瘤
C:泪腺淋巴瘤
D:前颅窝底脑膜瘤
E:泪腺囊肿合并感染
第2题,共3个问题
(单选题)最需要与下述哪种疾病鉴别()
A:泪腺癌
B:泪腺炎性假瘤
C:泪腺脓肿
D:视神经脑膜瘤
E:额骨骨软骨瘤
第3题,共3个问题
(单选题)泪腺最常见的肿瘤为()
A:混合瘤
B:泪腺癌
C:淋巴瘤
D:神经源性肿瘤
E:炎性假瘤
颞骨骨折Ⅱ型为()
A:骨折线与岩锥长轴平行,骨折线常起自颞骨鳞部
B:骨折线与岩锥长轴平行,骨折线常起自颅后窝枕大孔
C:骨折线与岩锥长轴垂直,骨折线常起自颞骨鳞部
D:骨折线与岩锥长轴垂直,骨折线常起自颅后窝枕大孔
E:混合型骨折
膀胱三角区正确的描述是()
A:膀胱底部两侧至膀胱颈部区域
B:膀胱顶部两侧至膀胱颈部区域
C:膀胱底部至输尿管开口区域
D:膀胱底部至膀胱颈部
E:膀胱底部输尿管开口至尿道内口区域
关于肾癌CT增强扫描的描述,
不正确
的是()
A:有助于明确病变存在
B:有助于确定病变范围
C:有助于与其他占位病变鉴别
D:有助于发现肾静脉和腔静脉癌栓
E:皮质期未发现明显病变可除外肿瘤
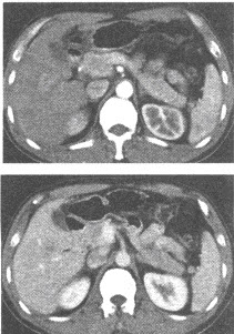
男,41岁。HBsAg(+),AFP45μg/ml。体检超声发现肝右叶有26mm×23mm大小低回声结节。CT增强扫描如图所示。最有可能的诊断为()
A:肝血管瘤
B:肝细胞癌
C:肝炎性假瘤
D:脂肪肝
E:肝腺瘤
下列哪项是良性间皮瘤的特征征象()
A:可见蒂与胸膜相连
B:胸膜增厚
C:胸腔积液
D:肋骨破坏
E:以上都不是
发生部位以颅骨最多的是()
A:骨软骨瘤
B:非骨化性纤维瘤
C:骨样骨瘤
D:骨嗜酸性肉芽肿
E:动脉瘤样骨囊肿
一定单位体积内骨组织有机成分正常、钙盐含量减少,见于()
A:骨质破坏
B:骨质疏松
C:骨质软化
D:骨质坏死
E:骨质增生硬化
关于肠结核影像表现错误的是()
A:溃疡型结核主要表现肠管张力高,管腔挛缩,可有激惹征象,管腔边缘呈锯齿状,可见斑点状小龛影
B:增殖型结核主要表现是管腔变形,缩短,黏膜紊乱增粗,可呈多个大小不一的充盈缺损,激惹多不明显
C:肠结核充盈缺损一般较局限,病变大多不超过回肓瓣
D:肠结核多累及盲肠及回肠末端
E:肠结核可有多个尖刺样龛影
与血管造影导管不相符的描述是()
A:其头端有不同形状
B:导管腔呈圆形
C:导管壁内无金属网结构
D:可经导管送入栓塞材料
E:导管外径在1mm以上
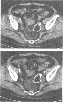
患者,女性,14岁,发现盆腔肿块1个月。查体:腹部膨隆,包块活动度差,叩诊无移动性浊音。B超示盆腔内肿物回声欠均匀,囊实性改变,并见细条状低回声伴声影。
第1题,共3个问题
(单选题)关于该病的描述,正确的是()
A:常伴腹水
B:由脂肪、毛发和液体混合形成低密度区
C:囊性包块中无钙化影
D:常发生种植转移
E:好发于40~50岁
第2题,共3个问题
(单选题)盆腔CT增强扫描图像如下,可诊断为()
A:脂肪瘤
B:肠系膜囊肿
C:卵巢浆液性囊腺瘤
D:卵巢黏液性囊腺瘤
E:卵巢畸胎瘤
第3题,共3个问题
(单选题)若要进一步确定病变性质,则需首选()
A:腔镜检查
B:盆腔CT
C:腹部平片
D:MRA
E:DSA
患者,男,18岁。疲乏,贫血貌,CT示脾前缘近切迹处多发小片状低密度区,部分略呈小锥形。最可能的诊断是()
A:脾钝挫伤
B:脾血管瘤
C:脾淋巴瘤
D:脾梗死
E:脾脏囊肿
下列疾病中哪一项是伴有肿块阴影的肺血管异常的疾病()
A:肺动静脉瘘
B:部分肺静脉回流异常
C:肺动脉缺如
D:肺动脉狭窄
E:一侧肺发育不全
关于食管走行的说法哪项是错误的()
A:正位观察位于中线偏左
B:在第6颈椎水平与下咽部相连
C:在第11胸椎水平与胃贲门相接
D:右前斜位观察食管的常规位置
E:右前斜位观察其前缘可见四个压迹
儿童松果体区最常见的肿瘤为()
A:畸胎瘤
B:松果体细胞瘤
C:胶质瘤
D:生殖细胞瘤
E:表皮样囊肿
关于骨软骨瘤,下列哪项错误()
A:是最常见的良性骨肿瘤,不发生恶变
B:好发于膝关节附近的长骨干骺端
C:常无明显临床症状
D:多发性的骨软骨瘤有家庭遗传倾向
E:好发于青壮年
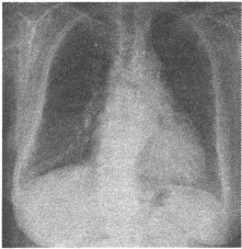
女性,46岁。呼吸困难入院。胸部X线平片如下图。右侧肋膈角区垂直于胸壁内侧面的线状影为()
A:KerleyA线
B:KerleyB线
C:KerleyC线
D:盘状肺不张
E:胸腔积液
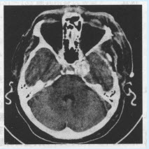
患者,男,45岁。头痛半年,CT检查如下图。
第1题,共4个问题
(单选题)该患者最有可能的诊断为()
A:脑膜瘤
B:垂体瘤
C:动脉瘤
D:星形细胞瘤
E:AVM
F:以上都不是
第2题,共4个问题
(单选题)最需与本病鉴别的肿瘤为()
A:脑膜瘤
B:垂体瘤
C:胶质瘤
D:神经源性肿瘤
E:转移瘤
F:以上都不是
第3题,共4个问题
(单选题)进一步检查,最佳的检查方法是()
A:MRI
B:MRA
C:增强扫描
D:DSA
E:手术切开
F:以上都不是
第4题,共4个问题
(多选题)该病按病因分类可分为()
A:先天性
B:外伤性
C:感染性
D:动脉硬化性
E:原发性
F:假性
有关主动脉,以下哪项不对()
A:主动脉根部与左室相连
B:主动脉根部膨大称为主动脉窦,又称乏氏窦
C:主动脉窦分为右前窦、右后窦及左后窦
D:三个窦内各有一支冠状动脉开口
E:冠状动脉开口于窦壁中部
异位妊娠最好发于()
A:卵巢
B:宫体
C:宫颈
D:输卵管
E:盆腔
肺脓肿常表现为()
A:可出现三角形的肺不张,尖端指向肺门
B:局限性肺气肿改变
C:脊柱旁及心脏边缘部病变较多
D:两肺中下部、内中带、沿肺纹理分布的小片状影
E:不局限于一个肺叶或肺段的密度增高阴影
关于左心房的X线投影,下列哪一项
不正确
()
A:在右前斜位上,位于心脏后缘下段
B:在左前斜位上,位于心脏阴影后缘上段
C:在右前斜位,观察食管的左心房压迹
D:在左侧位上,位于心后缘上段
E:后前位左心房耳位于左心室段与肺动脉段之间
动态增强扫描加延迟扫描最主要用于以下哪一种病变的诊断和鉴别诊断()
A:肝硬化
B:肝囊肿
C:脂肪肝
D:肝破裂
E:肝血管瘤
患者,男,43岁,头痛、左侧面麻半年。CT平扫:左侧鼻咽顶壁见一不规则肿块影,并伴左侧破裂孔、卵圆孔周围骨质破坏。增强扫描明显不均匀强化。最可能的诊断为()
A:脑膜瘤
B:三叉神经瘤
C:动脉瘤
D:骨软骨瘤
E:鼻咽癌
“小膀胱”征(膀胱挛缩)多见于()
A:膀胱息肉
B:膀胱结石
C:膀胱结核
D:膀胱移行上皮癌
E:膀胱炎(急性)
肾结核最具特征的临床表现是()
A:发热并盗汗
B:腰痛
C:肉眼血尿
D:慢性膀胱刺激症状
E:消瘦并乏力
患者,女,45岁。乏力、消瘦、咳嗽2个月,偶有血痰。近1周明显腰部疼痛。体温38℃,ESR27mm/h;X线平片示:左肺上叶团块状及片状密度增高影,腰、腰椎体后缘骨质破坏,椎间隙变窄,椎旁梭形软组织影。 胸部进一步的影像检查是()。
A:体层摄影
B:B超检查
C:CT检查
D:MRI检查
E:DSA检查
关于子宫肌瘤CT表现,
不正确
的是()
A:子宫外形呈分叶状增大
B:平扫诊断价值不大,仅可见轮廓改变
C:增强扫描能清楚显示病灶
D:黏膜下肌瘤可引起子宫腔变形移位
E:肌层内小的肌瘤不引起子宫轮廓改变
首页
<上一页
39
40
41
42
43
下一页>
尾页