自考题库
首页
所有科目
自考历年真题
考试分类
关于本站
游客
账号设置
退出登录
注册
登录
出自:放射医学主治医师
支气管扩张出现()
A:小结节影,呈"树芽"分布
B:水平裂呈反"S"征
C:支气管呈"轨道征"
D:CT示血管支气管影呈弧形向肿块中心卷入,称"彗星尾征"
E:肺内及肺门高密度影,并见连接两者的管条状高密度影,呈"哑铃"状
患者,女,45岁。左侧眼球向外下突出2个月余,逐渐加重,伴复视。CT示左侧额窦扩大,窦腔内呈软组织密度,骨壁变薄,左眼球受压移位。诊断为()
A:额窦癌
B:额窦黏液囊肿
C:额窦黏膜下囊肿
D:慢性额窦炎
E:额窦骨纤维异常增殖症
患者,男,45岁。低热、咳嗽、咳痰半月,伴消瘦。X线后前位胸片发现右肺门处致密阴影。行胸部CT检查,在右肺下叶背段可见大小约2.6cm×3.2cm肿块影,与右肺门关系密切,其内有裂隙样透亮区,周边见长短不一毛刺征及分叶征,周围肺野有斑点状较硬病灶;进一步行CT增强检查发现病灶基本呈周边环形强化。请问患者恰当的诊断为()
A:周围型肺癌
B:肺错构瘤
C:肺脓肿
D:肺结核球
E:肺韦格纳肉芽肿
人体组织中的水有自由水和结合水之分,自由水是指()
A:分子游离而不与其他组织分子相结合的水
B:存在于细胞内的水
C:存在于细胞外间隙中的水
D:存在于血浆中的水
E:自然运动频率低的水
弥漫性脂肪肝残留的肝岛,常见于()
A:胆囊床附近
B:右后叶第Ⅴ、Ⅵ段
C:肝尾状叶
D:左叶外侧段
E:以上都不是
癌性空洞周围结构的改变最常见的为()
A:纤维条索影
B:结节状卫星病灶
C:斑片状卫星病灶
D:钙化
E:支气管狭窄或阻塞
青年女性,低热,乏力、左腰痛3个月余。CT示左肾影增大,左肾上极密度不均,有斑点样钙化,增强扫描左肾上极有多个囊腔,囊壁中等程度环状强化,邻近肾实质受压变薄,肾盏轻度扩大,首先考虑()
A:左肾上极肾盂癌
B:左肾上极脓肿
C:左肾上极错构瘤
D:左肾上极囊肿
E:左肾上极结核
患者,男,30岁,头部外伤6小时,伤后有一过性意识障碍,3小时后再次出现昏迷。检查左颞部头皮血肿,左瞳孔散大。CT扫描显示左侧颞叶硬膜外血肿。
第1题,共3个问题
(单选题)颅内出血的来源是()
A:大脑前动脉
B:大脑中动脉
C:脑膜中动脉
D:颞浅动脉
E:枕动脉
第2题,共3个问题
(单选题)颞叶硬膜外血肿已引起()
A:原发性脑水肿
B:继发性脑水肿
C:原发性脑干损伤
D:小脑幕切迹疝
E:枕骨大孔疝
第3题,共3个问题
(单选题)首选治疗方案()
A:应用止血药
B:应用脱水药
C:钻孔引流术
D:应用皮质激素类药物
E:甘露醇脱水准备开颅
胸骨左缘第2肋间连续性机器样杂音,胸片示主动脉弓及肺动脉段突出,肺血增多。下述疾病可能性大的是()
A:房间隔缺损
B:室间隔缺损
C:肺动脉瓣狭窄
D:动脉导管未闭
E:法洛四联症
成人,头痛、发热、血象高,CT检查见脑实质内不规则的稍低密度灶;增强扫描显示低密度灶未见强化,周边轻度强化,最可能的诊断是()
A:脑脓肿
B:胶质瘤
C:皮样囊肿
D:脑梗死
E:脑膜瘤
下列关于使用棉絮钡餐诊断食道异物错误的是()
A:结合常规透视摄片,絮钡可有利于检出透光或密度较低的异物
B:异物较大,怀疑伴发食道炎症者,可使用稀钡
C:消毒棉撕成薄片网状,浸泡在黏稠钡剂中
D:无钡棉钩挂现象,也不能完全排除异物存留
E:絮钡可掩盖异物外形,加重阻塞,增加食管镜检的困难
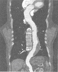
男,55岁。腹痛伴发热1周就诊。主动脉CTA检查MPR如图,考虑为()
A:主动脉夹层动脉瘤
B:主动脉瘤并附壁血栓
C:主动脉血栓形成
D:主动脉硬化
E:主动脉破裂
关于眼眶血管瘤,下列哪项正确?()
A:大部分瘤体由纤维组织构成
B:眼眶无明显病理改变可除外病变存在
C:眶内静脉石存在可确认眶内血管瘤
D:X线检查对血管瘤的诊断有定位、定量、定性价值
E:瘤体无包膜
关于颈部神经鞘瘤的描述,错误的是()
A:单发
B:多见于儿童
C:T
2
WI呈高信号
D:T
1
WI呈等信号
E:可强化
一对农村夫妇抱着白喉病患儿来医院求治,因患儿呼吸困难,面部发绀,生命垂危,医师决定马上做气管切开术,但父母坚决不同意。医师反复解释劝导,患儿父母拒绝手术签字。急诊医师看到患儿病情危急,为及时抢救患儿,毅然对患儿施行了手术,患儿得救,其父母感激不尽该案例中,医师行为的道德价值主要体现了医德情感的()
A:感人性
B:职业性
C:理智性
D:主观性
E:原则性
后前位胸片于右主支气管角部可见小椭圆形致密影,这是()
A:气管旁淋巴结
B:无名静脉
C:奇静脉
D:钙化灶
E:下腔静脉
患者,男,58岁。突然剧烈头痛呕吐并摔倒3小时就诊。体格检查:患者面色苍白,全身冷汗,意识清楚,BP150/90mmHg。你认为首先应做哪些影像检查()
A:CT
B:MRI
C:ECT
D:MRA
E:TCD
F:DSA
气钡双重造影()
A:可以观察食管壁厚度
B:可以清晰显示食管黏膜皱襞
C:食管细胞类型
D:黏膜层与肌层
E:不能直接显示食管
食管静脉曲张不累及下列哪条静脉()
A:胃冠状静脉
B:脐静脉
C:食管下静脉
D:奇静脉
E:肋间静脉
引起狭窄后肺动脉扩张的是()
A:瓣下漏斗部狭窄
B:瓣膜性狭窄
C:瓣下流出道与瓣膜均狭窄
D:双腔右心室
E:法洛四联症
关于结肠癌错误的是()
A:长期的溃疡性结肠炎和血吸虫病基础上易产生癌肿
B:病理分为增生型、浸润型、溃疡型、混合型四型
C:常表现为腹部包块、便血或腹泻,或有顽固性便秘
D:70%好发于盲肠和升结肠
E:直肠癌主要表现为便血、大便变细和里急后重感
胆总管囊性扩张症Ⅲ型是指()
A:胆总管扩张呈囊状、柱状或纺锤状
B:局限于肝内胆管的多发囊状扩张
C:胆总管十二指肠壁内段囊状膨出
D:胆总管单发憩室样扩张
E:多发性胆管囊肿,位于肝内外或肝外
先天性肺动脉狭窄以哪种类型最多见()
A:漏斗部狭窄
B:瓣膜上型狭窄
C:瓣膜下型狭窄
D:瓣膜狭窄
E:混合型狭窄
肺脓肿特征性X线征象是()
A:偏心性空洞壁厚而不规则
B:渗出性病变中出现空洞,内有气液平面
C:大片浓密阴影
D:支气管阻塞或狭窄
E:胸腔积液
女性盆腔内软组织肿块,向上可达下腹部,肿块不规则,囊实性,部分见钙化,肿块与子宫分界不清,伴有腹水和大网膜转移,最可能的诊断是()
A:宫颈癌
B:卵巢癌
C:膀胱癌
D:结肠癌
E:淋巴瘤
在下列疾病中MRI检查有较大优势的是()
A:纵隔气肿
B:特发性肺间质纤维化
C:慢性支气管炎
D:纵隔血肿
E:气胸
患者,女,55岁。腹胀、腹痛3个月。患者自觉腹胀明显,并觉隐痛,食欲欠佳,查体:腹膨隆,移动性浊音阳性,附件区扪及肿块。无肝病史,实验室检查未见异常。
第1题,共3个问题
(多选题)根据症状分析,应做哪些检查()
A:X线
B:CT
C:MRI
D:B超
E:宫腔镜
F:DSA
第2题,共3个问题
(多选题)患者做如下检查,你的诊断是()
A:卵巢囊肿
B:卵巢囊腺癌十腹水
C:卵巢囊腺癌伴腹膜转移
D:卵巢囊腺瘤
E:巧克力囊肿
F:卵泡
第3题,共3个问题
(多选题)你的诊断依据()
A:附件区见囊性肿物影
B:囊壁内见小壁结节
C:增强后腹膜呈结节性强化
D:大量腹水
E:侵犯子宫
F:以上均不对
患者,女,50岁,既往左耳中耳炎史多年,流脓2年余。CT显示外耳道棘骨消失,鼓室内有软组织密度灶,明显强化,听小骨及鼓室骨壁破坏,最可能的诊断为()
A:血管球瘤
B:胆脂瘤
C:转移瘤
D:中耳癌
E:面神经纤维瘤
先天性支气管囊肿与后天性囊肿的区别在于前者()
A:上叶多见
B:下叶多见
C:壁内无尘埃沉着
D:囊内无液平面
E:直径多小于3cm
患者,男,15岁,低热,胸痛4天,X线胸片示左下肺类圆形稍高密度影,边缘光滑;胸部CT示左下肺前内基底段类圆形液体密度影,直径约3cm,边缘光滑,其内CT值约12HU,邻近肺组织内见淡片状稍高密度影,抗炎治疗10天后症状明显改善,复查CT见类圆形病灶大小无明显变化,边缘更清楚,邻近淡片状影消散。最可能的诊断为()
A:大叶性肺炎
B:肺结核空洞
C:肺内支气管囊肿
D:急性肺脓肿
E:囊状支气管扩张
首页
<上一页
36
37
38
39
40
下一页>
尾页