自考题库
首页
所有科目
自考历年真题
考试分类
关于本站
游客
账号设置
退出登录
注册
登录
出自:消化内科学高级职称
女性,30岁。于饭店聚餐后,突然上腹部剧烈疼痛,向腰背部放射,取弯腰抱膝部疼痛减轻。伴恶心呕吐、腹胀。查:上腹正中有深压痛,无反跳痛及肌紧张,腹水征阴性。血、尿淀粉酶升高,B超:肝胆脾未见异常,胰腺轻度肿大。腹平片;肠管轻度扩张。(1)诊断?(2)依据?
胃泌素瘤
病例摘要:女性,34岁。咳嗽、声嘶半年,以夜间为甚,间断伴反流,胸片、喉镜和胃镜均未见异常,给予抗感染、止咳等治疗均无明显效果。患者应采用下列哪一种最佳治疗方法()。
A:PPI制剂
B:H受体拮抗剂
C:多潘立酮
D:抗胆碱能药物
E:考来烯胺
以下哪项提示急性胰腺炎预后不良( )
A:代谢性酸中毒
B:代谢性碱中毒
C:低钾血症
D:低钙血症
E:低镁血症
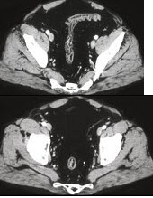
男,41岁,腹痛、腹泻、腹胀、脓血便、里急后重、疲乏无力,结合图像,选择最可诊断( )
A:溃疡性结肠炎
B:结肠克罗恩病
C:结肠结核
D:假膜性肠炎
E:结肠淋巴瘤
慢性胰腺炎最重要的是和哪些病相鉴别( )
A:胰腺癌
B:急性胰腺炎
C:胰腺囊肿
D:胰腺脓肿
E:胆道蛔虫
胰腺癌的好发部位是( )
A:全胰腺均是
B:胰体尾交界处
C:胰尾部
D:胰头部
E:胰体部
下列哪项不符合慢性肾衰竭患者饮食控制的原则()。
A:低盐饮食
B:高热量饮食
C:推荐使用植物食用油
D:严格控制蛋白摄入,饮食中的蛋白含量越低越好
E:低磷饮食
原发性肝癌极易转移的脏器是( )
A:肺
B:骨
C:脑
D:肝内
E:胰腺周围、腹膜后
男,45岁,近10天出现食欲不振、恶心、呕吐,伴乏力,尿黄来医院就诊。检查:巩膜黄染,可见肝掌和数枚蜘蛛痣,肝肋下未触及,脾肋下1.0cm。化验:肝功ALT450U/L,AST510U/L、T-Bil86.5μmol/L,ALB42g/L,GLB35g/L,anti-HAV-IgM阳性,乙肝五项全为阴性。患者1989年因外伤后行手术治疗,术中输血1600ml。 对病情做全面评估下列哪项检查不必要( )
A:B超检查了解肝脏情况
B:肝纤维化指标
C:胃镜检查
D:胸部CT扫描
E:肝脏穿刺检查
便血伴腹痛可见于( )
A:消化性溃疡
B:肝胆道出血
C:细菌性痢疾
D:肠系膜血栓形成
E:急性出血性坏死性肠炎
男性,45岁,胸闷呼吸困难1周入院,查肺功能示:VC%为80%,FEV
1.0
/FVC%为70%,MVV为70%,RV/TLC%为30%,VC25%及VC50%均为70%,TLC为7000ml,下列最可能的是()。
A:阻塞性通气功能障碍
B:限制性通气功能障碍
C:混合性通气功能障碍
D:小气道功能受损
E:大气道功能受损
关于甲胎蛋白(AFP)哪项是
不正确
的( )
A:正常值<20ng/ml
B:生殖腺胚胎癌AFP增高
C:AFP>500ng/L持续3周,可诊断为原发性肝癌
D:AFP>200ng/ml持续8周,可以诊断为原发性肝癌
E:AFP升高在临床症状出现前6个月或更早发现肝癌
不能判断上消化道出血已经停止的实验室指标的是( )
A:血沉
B:网织红细胞计数
C:尿素氮
D:血红蛋白测定
E:血细胞比容
与肝性脑病昏迷期有关的表现是( )
与肝性脑病前驱期有关的表现是( )
A:扑翼样震颤可阳性
B:脑电图异常
C:针尖样瞳孔
D:空腹血糖4mmol/L
E:血尿素氮升高
老年患者有上腹疼痛食欲不振1年余,久治不愈,钡餐检查发现胃小弯2.5cm龛影,该患者宜采取以下哪一措施最为适宜( )
A:每半月随访钡餐检查
B:正规抗溃疡药物治疗一疗程
C:胃镜检查
D:剖腹探查
E:癌谱测定
下列疾病可有血淀粉酶增高,除了()。
A:急性胰腺炎
B:胆囊炎
C:结肠癌
D:十二指肠球部后壁穿透性溃疡
E:胃窦溃疡
浅表性胃窦胃炎的临床表现正确的是( )
A:常见上腹痛,可有消化道出血
B:贫血多见
C:壁细胞抗体多为阳性
D:血清胃泌素多升高
E:胃泌酸检查降低
男性、50岁,突然呕血三次,为鲜红色,量约1000ml,伴头昏,心悸,出冷汗,未排便,既往健康。查体;贫血貌,巩膜无黄染,未见蜘蛛痣,肝掌阳性,肝肋下未及,脾肋下2cm,腹水征阴性。HBVsAg(+),SALT正常。超声检查,胃镜检查结果食管静脉曲张(1)超声检查结论是什么?(2)该病人临床诊断是什么?
早期食管癌的X线表现是()。
A:贲门部呈光滑鸟嘴状狭窄
B:长的不规则线状狭窄
C:外压狭窄,黏膜光滑完整
D:食管黏膜呈串珠状改变
E:黏膜呈局限性管壁僵硬
以下属于缺血性肠病一般治疗的是()。
A:胃肠减压
B:肠外营养
C:禁食
D:持续低流量吸氧
E:高压氧治疗
以下哪项不是自身免疫性肝炎的特征()。
A:界面性肝炎
B:高球蛋白血症
C:循环自身抗体
D:汇管区浆细胞浸润
E:桥接坏死
损害胃粘膜的饮食因素中
不包括
( )
A:浓茶
B:咖啡
C:高盐
D:必需脂肪酸
E:辛辣食物
肠结核的最好发部位是( )
A:空肠
B:升结肠
C:回盲部
D:横结肠
E:降结肠
急性胰腺炎患者高热持续2~3周不退,上腹部可扪及包块,首先应考虑( )
A:胰腺癌
B:败血症
C:化脓性胆管炎
D:肝脓肿
E:胰腺脓肿
诊断上消化道出血病因的首选方法是:_______________。急诊胃镜检查应在出血后_________小时内进行。
急性糜烂性胃炎的病因中,下列哪项是错误的()。
A:大面积烧伤
B:受凉或进食不当
C:危重疾病或器官衰竭
D:颅内病变
E:创伤和休克
胆道异常钙化灶多为()。
A:结石
B:囊肿
C:胆囊炎
D:结核
E:以上均正确
下列表述中正确的是()。
A:胃上皮性肿瘤包括腺瘤、乳头状瘤、脉管性肿瘤等
B:胃间叶性肿瘤包括平滑肌瘤、脂肪瘤、神经纤维瘤、脉管性肿瘤、纤维瘤、类癌等
C:胃腺瘤通常可分为管状腺瘤、管状绒毛状和绒毛状腺瘤,其中以管状绒毛状腺瘤最为常见
D:胃息肉患者均需内镜下治疗
E:胃山田Ⅰ型息肉即广基息肉
肝性脑病时血氨增高主要由于__________和(或)__________。
首页
<上一页
35
36
37
38
39
下一页>
尾页