自考题库
首页
所有科目
自考历年真题
考试分类
关于本站
游客
账号设置
退出登录
注册
登录
出自:放射医学主治医师
患儿,男,10岁,1年来时有尿频、尿急、尿痛和排尿困难,尿流中断,改变体位后又能继续排尿,首先应考虑()
A:急性膀胱炎
B:输尿管结石
C:膀胱结石
D:前列腺炎
E:尿道狭窄
下列说法
不正确
的是()
A:肝血管瘤边界一般较清,增强扫描病灶由周边开始强化,并向中心扩展,延迟后呈等密度
B:肝转移瘤常多发,可出现“牛眼征”,增强后呈边缘强化
C:肝脓肿一般呈圆形,中央密度减低,增强扫描病灶呈环状强化,并可出现“靶征”
D:肝硬化结节密度较正常肝组织稍高,增强扫描强化不明显,延迟后,病灶呈等密度,门静脉内无癌栓
E:胆管细胞癌远侧不可见局部胆管扩张
诊断眼眶骨折主要应用的影像学检查方法是()
A:超声
B:X线
C:DSA
D:MRI
E:HRCT
关于多发性骨髓瘤的X线表现,下列哪项错误()
A:常见弥漫性的骨质疏松
B:病变好发于脊椎、肋骨、颅骨和骨盆
C:骨破坏区无硬化边
D:无软组织肿块
E:椎弓一般不受累
面神经瘤多见于()
A:前膝部
B:后膝部
C:前膝部和后膝部
D:内耳道段
E:颅内段
颅骨骨瘤依据其结构可分为()
A:致密型
B:松质型
C:混合型
D:致密型、松质型、混合型
E:以上都不是
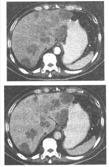
男,72岁,胆石症史多年。1个月来发热,上腹疼痛,CT扫描如下图,显示肝脏内多个直径10~30mm低密度灶,CT值20HU,边缘呈环状强化,最有可能的诊断是()
A:多发性囊状肝转移瘤
B:胆源性肝脓肿
C:多发性肝囊肿
D:肝包虫病
E:肝脏囊腺瘤
右心室增大顺序一般为()
A:后-前
B:后-左上
C:前-左上
D:前-左上-后
E:左上-前
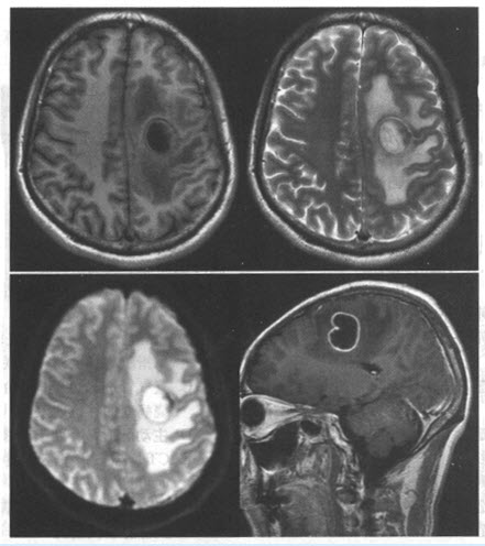
患者,男,47岁。低热、头痛半个月余,MRI检查如图。
该患者符合哪种疾病()
A:高级别胶质瘤
B:脑转移瘤
C:脑脓肿
D:脑出血吸收期
E:颅内结核瘤
F:脑梗死后出血
患者男,16岁。因反复鼻出血行鼻咽CT检查,示鼻咽顶后壁较大软组织肿块,向前进入鼻、筛窦和上颌窦,向外侧经扩大的翼上裂进入翼腭窝和颞窝,向上经蝶窦和破裂孔达海绵窦,邻近骨骼可见压迫性改变,增强扫描后可见肿瘤强化明显。应首先考虑诊断为()
A:鼻咽癌
B:鼻咽纤维血管瘤
C:鼻咽增殖体肥大
D:鼻咽恶性淋巴瘤
E:鼻咽结核性脓肿
关于BPH下列描述正确的是()
A:良性前列腺增生好发于周围带,并压迫尿道引起梗阻
B:多见于老年人,由前列腺腺体、结缔组织和平滑肌不同程度增生引起
C:增大的前列腺可突入膀胱颈部,膀胱壁不规则增厚
D:最佳影像学检查技术为CT平扫及增强扫描
E:首选的影像学检查方法是MRI平扫和增强扫描
诊断肺栓塞的直接征象是()
A:患侧肺透亮度增高
B:CT增强扫描发现肺动脉主干内充盈缺损区
C:CT增强扫描发现尖端指向肺门的楔状明显强化区
D:患侧肺透亮度减低
E:患侧肺血管影减少
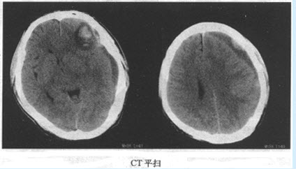
患者,男,58岁。突然剧烈头痛呕吐并摔倒3小时就诊。体格检查:患者面色苍白,全身冷汗,意识清楚,BP150/90mmHg。 患者所做CT检查如图,你诊断为何种疾病()
A:脑实质出血
B:硬膜下血肿
C:硬膜外血肿
D:蛛网膜下腔出血
E:脑挫裂伤
F:多发性硬化
TIPSS适应证
不包括
()
A:肝硬化门静脉高压症,近期发生过食管胃底静脉曲张破裂大出血者
B:患者经内科治疗效果欠佳,CHILD分级义难以接受外科治疗者
C:外科治疗后再出血者
D:有难治性腹水者
E:严重的门静脉狭窄、阻塞性病变
X线心血管造影正位或左前斜位可见收缩期流出道右侧缘二尖瓣前叶的边缘粗糙不整,呈"锯齿征";舒张期畸形的房室瓣叶突向流出道,造成流出道狭窄,呈“鹅颈征”。最有可能的诊断是()
A:马方综合征
B:单纯室间隔缺损
C:扩张性心肌病
D:法洛四联症
E:完全性心内膜垫缺损
上纵隔胸廓入口血管解剖:①头臂干;②左侧颈总动脉;③左侧锁骨下动脉。其自右向左的顺序正确的是()
A:①②③
B:①③②
C:②①③
D:②③①
E:③②①
哪项不是良性肿瘤的诊断依据()
A:生长快或慢
B:是否对周围组织产生压迫移位
C:膨胀性或浸润性骨质破坏
D:有无软组织肿块
E:有无骨膜反应
脾脏最常见的良性肿瘤是()
A:脾淋巴管瘤
B:脾错构瘤
C:脾血管瘤
D:脾脂肪瘤
E:以上都不是
下列关于多层螺旋CT的优点,错误的是()
A:有较大的覆盖范围
B:一次扫描可采集多层数据信息
C:可提高时间分辨率
D:可提高密度分辨率
E:图像后处理功能更强
患者,男,35岁。急性腹痛,呕吐,腹胀,面色苍白入院,行平片及CT检查,如图。
结合病史应该诊断为()
A:麻痹性肠梗阻
B:单纯性肠梗阻
C:绞窄性肠梗阻
D:痉挛性肠梗阻
E:乙状结肠扭转
F:肠套叠
房间隔缺损心腔变化为()
A:左心房增大
B:右心室肥大
C:右心房、室增大
D:左、右心室增大
E:左、右房增大
一患者向心性肥胖,满月脸,多毛和痤疮明显,超声检查发现右侧肾上腺区显示7cm的低回声团块,呈分叶状,内部回声不均匀的诊断是()
A:肾上腺皮质增生
B:皮质腺瘤
C:皮质腺癌
D:神经母细胞瘤
E:嗜铬细胞瘤
急性胰腺炎常见的MRI表现是()
A:胰腺肿大出现形态学改变
B:T
1
为低信号
C:T
2
为高信号
D:胰周常出现炎症性改变
E:以上各项均正确
在MRI上,颅脑肿瘤中表现为“盐和胡椒”的肿瘤,以下哪种最多见()
A:三叉神经纤维瘤
B:脊索瘤
C:脑膜瘤
D:颈静脉球瘤
E:转移瘤
下列不是蛛网膜下腔出血表现的是()
A:基底节高密度影
B:外侧裂池高密度影
C:大脑纵裂旁高密度影
D:环池高密度影
E:脑沟高密度影
手术后局限性胆总管狭窄并出现梗阻性黄疸症状,应首选的治疗方法是()
A:球囊扩张术
B:手术治疗
C:支架置入术
D:球囊扩张+手术治疗
E:手术治疗+支架置入术
男,81岁。骶尾部疼痛3个月,咳嗽2周,无发热,无外伤史。 患者已摄骶尾骨平片并进行骶尾骨CT平扫,主要图像如下,最可能的疾病为哪种()
A:骨巨细胞瘤
B:骨肉瘤
C:软骨肉瘤
D:强直性脊柱炎
E:骨结核
F:骨转移瘤
下列不是肾上腺嗜铬细胞瘤的CT特点的是()
A:肿瘤内有脂肪可以呈低密度
B:较小肿瘤密度均匀,类似肾脏的密度
C:较大的肿瘤可以出现囊变
D:增强检查肿瘤明显强化,其内低密度区无强化
E:10%的嗜铬细胞瘤为多发性
喉部最常见的良性肿瘤是()
A:纤维瘤
B:血管瘤
C:喉神经鞘瘤
D:乳头状瘤
E:神经纤维瘤
女,37岁,上腹部胀痛不适,B超发现肝内占位。 患者做了MR平扫和动态增强扫描,图像如下,应考虑为哪种疾病()
A:肝海绵状血管瘤
B:肝脓肿
C:肝细胞腺瘤
D:肝细胞性肝癌
E:肝淋巴瘤
F:肝局灶性结节性增生
首页
<上一页
35
36
37
38
39
下一页>
尾页