自考题库
首页
所有科目
自考历年真题
考试分类
关于本站
游客
账号设置
退出登录
注册
登录
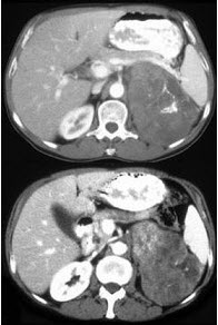
出自:内分泌学高级职称
女,43岁,满月脸、皮肤紫纹、月经不规则3月余,请结合所提供图像,作出诊断( )
A:左肾上腺腺瘤
B:左肾上腺嗜铬细胞瘤
C:左肾上腺转移瘤
D:左肾上腺腺癌
E:左肾上腺增生
同一注射部位内的区域轮换,注射点与注射点之间,距离至少()厘米。
甲状腺功能正常的甲亢包括()。
A:Graves病
B:桥本甲状腺炎伴甲亢
C:Hummer病
D:药源性甲亢
E:结节性甲状腺胰肿伴甲亢
患者女,25岁,未婚,因“闭经3个月,伴自发溢乳15d”来诊。查体无特殊发现。实验室检查:血清PRL>300ng/ml(正常值1.90~25.00ng/ml),TT
3
1.49nmol/L(正常值0.89~2.44nmol/L),TT
4
98.43nmol/L(正常值62.68~150.84nmol/L),FT
3
4.51pmol/L(正常值2.63~5.70pmol/L),FT
4
16.24pmol/L(正常值9.00~19.04pmol/L),TSH1.56μU/ml(正常值0.500~4.940μU/ml),GH0.578ng/ml(正常值0~10.000ng/ml),睾酮0.31ng/ml(成年女性正常值≤0.6ng/ml)。
第1题,共3个问题
(单选题)最重要的确诊依据是()。
A:蝶鞍X线片
B:鞍区CT平扫
C:血清PRL>300ng/ml
D:乳腺B超
E:鞍区MRI薄层扫描
第2题,共3个问题
(单选题)欲进一步明确定位诊断,首选的检查是()。
A:全垂体功能评价
B:鞍区MRI薄层扫描+动态增强
C:血HCG检查
D:生长激素激发试验
E:性腺功能的评价
第3题,共3个问题
(单选题)目前最可能的诊断是()。
A:妊娠12周
B:多囊卵巢综合征
C:甲状腺功能减退症
D:垂体泌乳素瘤
E:高泌乳素血症
有关继发性甲减的描述,正确的是()。
A:以上都对
B:由甲状腺肿瘤引起的甲减,称继发性甲减
C:手术后甲减,称继发性甲减
D:由于下丘脑疾病引起的TRH分泌减少,称继发性甲减
E:由于垂体疾病引起的TRH分泌减少,称继发性甲减
下列哪项并发症不是由糖尿病微血管病变引起( )
A:糖尿病性视网膜病变
B:肾小球硬化症
C:糖尿病神经病变
D:心肌损害
E:干性坏疽
先天性肾上腺皮质增生的原因包括()。
A:21-羟化酶缺乏
B:类固醇5-α-还原酶-2缺乏
C:17-α-羟化酶缺乏
D:11-β-羟类固醇脱氢酶缺乏
E:芳香化酶缺乏
关于禁水试验,错误的是()。
A:禁水期间每2小时排尿一次
B:禁水期间每1小时测体重血压
C:禁水前测体重血压、尿量、尿比重
D:禁水时间8~12小时
E:禁水时间12~24小时
关于GHbA1c,叙述正确的有()。
A:反映取血前8~12周血糖的总水平
B:糖尿病控制情况的一个监测指标
C:与空腹和餐后血糖具有很好的相关性
D:可作为糖尿病诊断指标
E:妊娠期也可用于诊断糖尿病
垂体瘤的诊断主要采用______、____等影像学手段。
女,51岁,甲状腺肿大10年,发热1周,体温37.5~38.0℃,查体:咽充血,甲状腺二度肿大,表面不平,结节感,质地中等。触痛(+)。杂音(-),心率85次/分。可能的诊断( )
A:甲亢,Graves病
B:慢性淋巴细胞性甲状腺炎
C:亚急性甲状腺炎
D:单纯甲状腺肿
E:上呼吸道感染
尿糖阳性是诊断糖尿病的主要依据。
简述低血糖症概念及其临床表现。
不符合1型糖尿病临床特点的是()。
A:常有家族史
B:酮症倾向
C:多于青少年起病
D:口服药物无效
E:以微血管并发症为主
甲旁亢的临床特点是手足抽搐、癫痫样发作、低钙血症和高磷血症。
对于功能性低血糖患者,为减少低血糖发作,下列饮食调整中错误的是()。
A:少食多餐
B:进较干食物
C:高蛋白饮食
D:高脂饮食
E:低纤维饮食
女性,26岁,1型糖尿病。中断胰岛素治疗3天突发昏迷,血糖33.3mmol/L,pH值7.2,尿糖、尿酮强阳性。诊断考虑()。
A:低血糖昏迷
B:糖尿病酮症酸中毒昏迷
C:糖尿病肾病尿毒症昏迷
D:高渗性非酮症糖尿病昏迷
E:乳酸性酸中毒
下列不符合Sheehan综合征的表现和实验室检查的是()。
A:血中T3、T4下降
B:血中皮质醇下降
C:视野狭窄
D:闭经,腋毛、阴毛脱落
E:常有产后大出血史
下列哪种表现不常见于亚急性甲状腺炎( )
A:发热
B:压痛
C:脉搏增快
D:红细胞沉降率加速
E:白细胞增多
关于2型糖尿病,叙述错误的是()。
A:发病与自身免疫有关
B:存在胰岛素缺乏
C:为多基因遗传性疾病
D:发病与环境因素相关
E:存在胰岛素抵抗
大剂量地塞米松抑制试验可用于提示( )
A:嗜铬细胞瘤的鉴别诊断
B:醛固酮增多症的鉴别诊断
C:皮质醇增多症的定位和病因
D:肾上腺皮质功能状态
E:垂体瘤的功能评价
高血压为原醛症最常见的症状,一般不呈恶性演进。
Graves病单纯性突眼的眼征有哪些?
患者男,45岁,半年前因“视物模糊”来诊,检查发现颅咽管瘤,立即行颅咽管瘤手术治疗。但2个月后肿瘤复发,再次入院行γ刀治疗。此次治疗后一直乏力、食欲减退、恶心,并有经常性的发热,没有明确的感染病灶。第3次入院检查发现垂体ACTH、皮质醇、生长激素、甲状腺素及睾酮水平下降,ITT峰值<5ng/L。该患者的激素替代治疗应最先选用()。
A:ACTH
B:皮质醇
C:甲状腺素
D:雄激素
E:生长激素+IDF-1
F:钙剂+维生素D
Addison病较常见的病因有()。
A:肾上腺结核
B:严重脑膜炎球菌感染
C:严重败血症
D:自身免疫性肾上腺炎
E:恶性肿瘤转移
原发性醛固酮增多症的实验室特点是( )
A:醛固酮、肾素、血管紧张素Ⅱ均高
B:肾素、血管紧张素Ⅱ高而醛固酮低
C:醛固酮、肾素、血管紧张素Ⅱ均低
D:肾素、血管紧张素Ⅱ低而醛固酮高
E:肾素高而血管紧张素Ⅱ、醛固酮低
患者女性,肥胖痤疮,紫纹,化验血皮质醇增高。血糖增高,小量地塞米松抑制试验血皮质醇较对照日低38%,大剂量地塞米松抑制试验较对照日低78% 错误的减肥方法是( )
A:控制高糖、高热量饮食的摄入
B:不良行为的干预
C:增加体育锻炼
D:以上三项加药物
E:依赖于药物
皮质醇增多症最常见的原因是( )
A:异位CRF分泌增多
B:异位ACTH分泌增多
C:肾上腺皮质增生
D:肾上腺皮质腺瘤
E:肾上腺皮质腺癌
垂体瘤中________________称微腺瘤_。________________称大腺瘤。
甲状旁腺功能减退者,血钙为下列何值可引起手足抽搐( )
A:2.5mmol/L
B:3.Ommol/L
C:2.Ommol/L
D:2.3mmol/L
E:2.8mmol/L
首页
<上一页
34
35
36
37
38
下一页>
尾页