自考题库
首页
所有科目
自考历年真题
考试分类
关于本站
游客
账号设置
退出登录
注册
登录
出自:放射医学主治医师
下面描述的膈肌矛盾运动透视所见哪项是正确的()
A:吸气时健侧膈肌下降,病侧上升
B:呼气时健侧膈肌下降,病侧上升
C:呼气时健侧膈肌上升,病侧下降
D:吸气时健侧膈肌上升,病侧下降
E:以上描述都不是
患者,面部麻木,咀嚼肌萎缩半年。CT示中颅窝有一4.0cm×5.0cm低密度占位性病变,跨越到鞍旁,增强后呈均一强化,内听道正常。最可能的诊断是()
A:三叉神经瘤
B:脉络丛乳头状瘤
C:脑膜瘤
D:胶质瘤
E:转移瘤
患者,女,82岁。上腹部不适,大便带脓性血性黏液3个月余,既往结肠息肉病史,现上腹部CT检查发现肝脏密度不均匀,其内可见数个低密度病灶,增强扫描强化程度低于肝脏,实验室检查AFP正常。
第1题,共2个问题
(单选题)结合以上临床资料,患者肝内多发病灶最有可能的诊断是()
A:肝细胞性肝癌并肝内转移
B:胆管细胞癌
C:肝转移瘤
D:肝腺瘤
E:肝血管瘤
第2题,共2个问题
(单选题)下列出现的影像学征象有助于肝转移瘤的诊断的是()
A:增强扫描病灶见填充式强化
B:牛眼征
C:晕圈征
D:靶征
E:以上都不是
肝棘球蚴病典型CT征象是()
A:晕圈征
B:半月征
C:靶征
D:牛眼征
E:囊中囊征
膀胱壁分层包括()
A:1层
B:2层
C:3层
D:4层
E:5层
肝动脉栓塞术()
A:肝外伤破裂出血
B:保守治疗无效的顽固性鼻出血
C:前胸壁出血
D:肺癌伴咯血
E:胃底食管静脉曲张出血
以下骨质增生硬化概念表述不妥的是()
A:骨质增生硬化是成骨增多
B:骨质增生硬化是破骨减少
C:多属于机体代偿反应
D:骨质增生硬化是成骨增多、破骨减少
E:骨质增生硬化就是骨量的增多
因数据采样不足,在高、低信号强度差别大的组织交界区出现多个平行条纹()
A:运动伪影
B:卷褶伪影
C:化学位移伪影
D:磁敏感性伪影
E:截断伪影
主动脉夹层的病因与下列因素无关的是()
A:外伤
B:动脉粥样硬化和高血压
C:动脉囊性中层坏死
D:风湿性心脏病
E:医源性损伤
脑室系统
不包括
的是()
A:麦氏孔(中孔)
B:孟氏孔(室间孔)
C:侧孔
D:松果体隐窝
E:外侧裂
非骨化性纤维瘤描述错误的是()
A:肿瘤由坚韧的纤维结缔组织构成
B:好发于青少年的长骨
C:病变的长轴与长骨垂直
D:可多骨发生
E:少数病例可以自愈
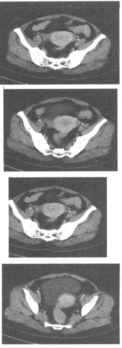
女,65岁,绝经后不规则阴道流血2个月,根据所提供的CT图像,最可能的诊断是()
A:黏膜下子宫肌瘤
B:卵巢浆液性囊腺癌
C:卵巢畸胎瘤
D:子宫内膜癌
E:肌层子宫肌瘤
不孕,月经不规则,多毛,肥胖见于()
A:卵巢单纯性囊肿
B:卵巢滤泡囊肿
C:多囊卵巢
D:卵巢黄体囊肿
E:卵巢黄素囊肿
不属于
-DSA检查前技术参数选择的是()
A:摄像机光圈大小
B:采集帧率
C:延迟类型
D:注射流率
E:像素移位
有关肾上腺皮质癌的MRI表现正确的是()
A:均无功能
B:一般无明显强化
C:在反相位上信号不均匀
D:易发生下腔静脉癌栓
E:淋巴结转移较少
关于肾脏的X线解剖,下列哪种叙述是错误的()
A:正常情况下,肾脏上下左右均有一定的活动度
B:肾内缘较外缘靠前
C:腹部平片上可观察到肾周脂肪组织
D:右肾较左肾低1~2cm
E:两侧肾轴平行于腰大肌
一位住在妇产科病房的病人,手术后腹胀,哭闹着要找科主任来给她看一看。该主任来后,经仔细查看,发现患者只是心理上有些问题,于是说了一些安慰她的话,病人便安静下来了,还有说有笑。有同事见了不以为然地说,这也值得主任来管?主任笑道:“难道当主任的就非得看什么大病吗?”“有些劳动是平凡的,好像毋须一顾,但是,它的精神是神圣的,一个人没有这种神圣的感觉,他就不会每件事都那么仔细、耐心地去作。”这充分体现了()
A:传统医学观、不伤害原则、同情美德
B:现代医学观、不伤害原则、同情美德
C:现代医学观、公正原则、正直美德
D:传统医学观、公正原则、正直美德
E:以上都不是
软组织脂肪瘤MRI信号特点为()
A:长T
1
、长T
2
信号
B:短T
1
、中长T
2
信号
C:长T
1
、短T
2
信号
D:长T
1
、中长T
2
信号
E:短T
1
、短T
2
信号
下列不是肝棘球蚴囊肿的特征表现的是()
A:囊肿单发或多发,可有浅分叶轮廓
B:囊内密度均匀,增强后明显强化
C:囊壁可呈弧形或蛋壳样钙化
D:母囊内出现子囊,数目不一
E:内囊可分离,悬浮于囊液中
骨与关节X线摄片检查常规要求()
A:双侧对照摄片
B:正侧位片,包括周围软组织及邻近一个关节
C:左、右斜位摄片
D:正、侧位摄片
E:正、侧位摄片,必要时包括双侧对照
空间分辨率又称高分辨率,是指CT对物体空间大小的鉴别能力,下列主要影响因素哪一项是错误的()
A:探测器之间的间隔
B:探测器的几何尺寸
C:被测物质的几何尺寸
D:图像重建的算法
E:探测器的数量和总数据量
肺淤血的最早期X线征象是下述哪种()
A:上肺静脉扩张似鹿角状
B:肺血管纹理增多增粗
C:肺门影增大模糊
D:肺野透亮度减低呈毛玻璃状
E:肺间质纤维化
下面哪个切面主要用来评估心室功能()
A:人体横轴位
B:人体冠状位
C:人体矢状位
D:心脏长轴位
E:心脏短轴位
检查四肢软组织的首选方法是()
A:MRI
B:CT
C:ECT
D:X线平片
E:超声成像
患者,女,36岁,抽搐半年,近10余天头痛加重,MRI检查如图,最可能的诊断是()
A:胶质瘤
B:脑膜瘤
C:动静脉畸形
D:海绵状血管瘤
E:蛛网膜囊肿
哪种疾病的球囊扩张治疗中最易发生食管破裂()
A:食管酸性物质灼伤后狭窄
B:碱性物质烧伤造成的食管狭窄
C:食管蹼
D:术后吻合口狭窄
E:贲门失弛缓症
CT平扫时,肝细胞肝癌的密度绝大多数表现为()
A:等密度
B:高密度
C:低密度
D:稍高密度
E:混杂密度
下列哪项不是左心衰竭的X线表现()
A:肺静脉扩张
B:肺淤血
C:上腔静脉影增宽
D:肺泡性肺水肿
E:胸腔积液
以下疾病,不发生骨髓水肿的是()
A:一过性骨质疏松
B:应激反应
C:外伤
D:再生障碍性贫血
E:反射性交感神经营养不良
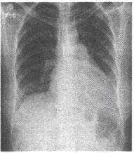
女性,45岁,类风湿性关节炎病史6年,近来感到夜间阵发性呼吸困难,伴有轻度咳嗽,无痰。心脏听诊心尖区S1亢进,胸骨左缘3~4肋间收缩期杂音。行胸部平片检查如下图,应考虑()
A:主动脉瓣狭窄
B:主动脉瓣关闭不全
C:动脉导管未闭
D:右室流出道狭窄
E:二尖瓣狭窄
首页
<上一页
34
35
36
37
38
下一页>
尾页