出自:神经病学高级职称

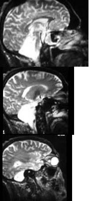
根据图示考虑是何种疾病( )
A:小脑扁桃体肿瘤
B:扁平颅底
C:Arnold-Chiari畸形
D:小脑发育不良
E:无脑畸形
有心房纤颤和短暂性脑缺血发作病史的患者容易发生( )
A:栓塞性脑梗死
B:血栓形成性脑梗死
C:蛛网膜下隙出血
D:脑出血
E:多发性腔梗

男性,60岁。糖尿病患者,已5次突发左侧肢体无力,言语含糊。持续约20min后自行缓解,其中一次伴右眼视力丧失30分钟。体检未见神经系统阳性体征,脑MRI无异常。



第1题,共3个问题
(单选题)可能的诊断是( )
A:TIA
B:脑血栓形成
C:脑栓塞
D:腔隙性梗死
E:脑出血

第2题,共3个问题
(单选题)可能损害的血管为( )
A:椎动脉
B:基底动脉
C:大脑后动脉
D:颈内动脉
E:大脑中动脉

第3题,共3个问题
(单选题)如果证实该动脉起始口狭窄80%,最佳处理为( )
A:控制血糖
B:溶栓治疗
C:口服噻氯匹定
D:口服华法林
E:颈动脉内膜剥离术
阐述脑出血的内科治疗方法。
患者,男性,35岁,营业员。癫痫史10年。在工作时突然跌倒在地,口吐白沫,四肢强直—抽搐发作。旁观者给予下列哪项处理措施是错误的( )
A:用力按住其手足,阻止抽搐发作
B:用缠以纱布的压舌板塞入其一侧上、下门齿之间
C:使患者头偏向一侧
D:解松患者的衣领及裤带,以利呼吸
E:在患者背后垫衣被等软物
检查共济运动不包括()。
A:指鼻试验
B:快复轮替试验
C:疲劳试验
D:跟膝胫试验
E:起坐试验
多发性硬化的MRI典型表现是( )
A:T2像可见皮质散在的高信号硬化斑
B:侧脑室周围白质多数T1低信号、T2高信号的类圆形或融合性斑块
C:T2像可见脑室前角片状高信号硬化斑
D:T2像可见脑室后角片状高信号硬化斑
E:T2像可见丘脑高信号硬化斑
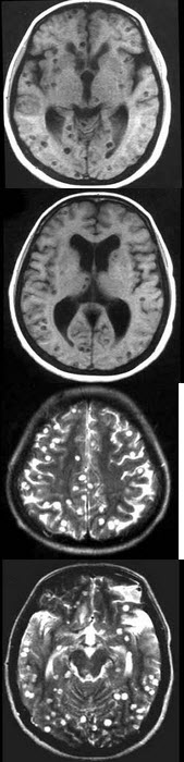
男,43岁,头痛半年余,MRI检查如图,最可能的诊断为( )
A:脑梗死
B:多发性结节硬化
C:转移瘤
D:脑实质型脑囊虫
E:脑囊肿
运动系统检查包括( )
A:肌力
B:共济运动
C:步态
D:肌张力
E:肌营养状态
与瞳孔对光反射有关的结构是( )
A:视神经
B:枕叶视中枢
C:动眼神经
D:外侧膝状体
E:瞳孔括约肌
Guillain-Barre综合征的少见症状是( )
A:心动过速
B:直立性低血压
C:暂时性排尿困难
D:高血压
E:手足肿胀
广泛大脑半球损害可出现( )
桥脑下部损害可出现( )
A:失调样呼吸
B:长吸式呼吸
C:潮式呼吸
D:丛集式呼吸
E:中枢神经元性过度呼吸
下列哪种疾病不属于炎性脱髓鞘疾病( )
A:多发性硬化
B:急性播散性脑脊髓炎
C:视神经脊髓炎
D:脑白质营养不良
E:球后视神经炎
蜗神经损害时产生( )
A:眩晕
B:耳鸣
C:眼球震颤
D:耳聋
E:共济失调
基底节出血中最常见的部位是__________,系_________动脉破裂所致。
依酚氯铵(tensilon)试验及判定?
偏头痛与紧张性头痛的区别,在于偏头痛有( )
A:恶心、畏光、畏声
B:儿童和青年多见
C:单侧头痛
D:反复发作头痛
E:劳累后加重
男性,61岁,5年来阵发性右侧面部剧烈疼痛,每次持续10~20秒,每日发作数十次,常因说话、进食、刷牙而诱发,不敢洗脸、说话或吃饭。最可能的诊断是()。
A:偏头痛
B:面神经炎
C:三叉神经痛
D:丛集性头痛
E:混合性头痛
发病最多的皮质—纹状体—脊髓变性属于( )
A:散发型
B:医源型
C:家族型
D:变异型
E:医源型和家族型
脊髓反射有()
A:膝腱反射
B:跟腱反射
C:肱二头肌腱反射
D:巴宾斯基征
E:肱三头肌腱反射
患者,男,60岁,右睑下垂1年,四肢无力6个月,呼吸困难3天入院。四肢无力具有晨轻幕重的特点。无复视,无吞咽困难及构音障碍。无高血压,糖尿病史。查体:呼吸频率35次/分,呼吸表浅,口唇略发绀,右侧睑裂小,四肢肌力四级,疲劳试验阳性,余神经系统查体未见明显异常。胸部CT显示胸腺增生。肌电图提示右腋神经低频重复电刺激波幅递减。血气分析显示,pH7.30,Osat85%,PCO268mmHg,PO255mmHg。 该患者的免疫治疗方案是( )
A:激素冲击并免疫抑制剂治疗
B:免疫抑制剂治疗
C:大剂量免疫球蛋白或血浆交换并免疫抑制剂治疗
D:胸腺摘除
E:激素冲击治疗
心动过速
霍夫曼征
一侧角膜直接反射消失,同侧间接反射存在,病变在( )
A:对侧三叉神经
B:同侧面神经
C:同侧动眼神经
D:同侧三叉神经
E:对侧面神经
过分的全神贯注于睡眠问题而引起的一种失眠类型是( )
A:抑郁障碍相关性失眠
B:心理生理性失眠
C:焦虑障碍相关性失眠
D:主观性失眠
E:入睡相关性障碍
单纯及复杂部分性发作首选( )
特发性大发作合并失神发作选用( )
婴儿痉挛症选用( )
癫痫持续状态首选( )
A:卡马西平
B:丙戊酸钠
C:促肾上腺皮质激素
D:氯硝西泮
E:快速静脉注射地西泮
临床常用的新型抗癫痫药物有哪些?
失神发作首选用哪种药物( )
A:苯妥英钠
B:丙戊酸钠
C:扑痫酮
D:苯巴比妥
E:卡马西平
简述急性脊髓炎的治疗原则。
痛性强直性痉挛发作