出自:放射医学技术(士)

牙组织不包括()
A:牙质
B:釉质
C:牙骨质
D:牙髓
E:牙周膜
主动脉瓣关闭不全()
二尖瓣狭窄()
左心室室壁瘤()
缩窄性心包炎()
轻度心肌炎()
A:心脏搏动减弱
B:反向搏动点上移
C:心脏搏动正常
D:心脏局部矛盾运动
E:相反搏动点下移
四肢摄影的摄影距离一般是()
纵隔摄影的距离是()
肺部摄影的摄影距离是()
A:40~60cm
B:75~100cm
C:150~180cm
D:180~200cm
E:200cm以上
主动脉弓从右向左发的第一个分支是()
A:左锁骨下动脉
B:左颈总动脉
C:右锁骨下动脉
D:头臂干
E:右颈总动脉
下列关于寰椎、枢椎的描述错误的是()
A:寰枢椎正中关节由寰椎前弓与枢椎齿突构成
B:寰枢椎正中关节后方有脊髓及其被膜、血管
C:枢椎侧块内没有横突孔及椎动脉、椎静脉经过
D:枢椎后外侧有粗大的胸锁乳突肌断面
E:寰椎前方有椎前肌的存在
关于阅读X照片阶段信息质量的影响因素无关的是()
A:观片灯的亮度
B:观片灯的色温
C:视读环境照度
D:观片灯的温度
E:观察者视力
下面哪项不是颅脑CT扫描的适应证()
A:颅脑外伤
B:脑血管意外
C:新生儿缺氧缺血性脑病
D:头晕
E:脑萎缩
鞍区CT扫描的适应证不包括()
A:鞍区骨质破坏、钙化
B:怀疑垂体肿瘤或与垂体内分泌失调有关的疾病
C:高血压病
D:垂体瘤术后复查
E:鞍区其他肿瘤,如颅咽管瘤、脑膜瘤等
DSA的时间减影方式中没有()
A:连续方式
B:脉冲方式
C:路标方式
D:常规方式
E:双能方式
正常成人的血量相当于体重的()
A:7%~8%
B:10%~15%
C:20%~30%
D:40%~50%
E:50%~60%
下面对胸部CT扫描技术叙述正确的是()
A:患者仰卧、头先进,两臂放在身体侧边
B:指示灯侧面定位线对正中矢状面
C:驼背病人可改为俯卧位
D:常规扫描一个胸部侧位像做定位像
E:扫描范围从肺尖开始,一直扫描到膈顶
标准第3~7颈椎前后位片所见,错误的为()
A:3~7颈椎与第1胸椎投影于照片上
B:棘突位于椎体正中
C:横突左右对称显示
D:椎间隙与钩锥关节显示清晰
E:下颌骨显示于第4颈椎高度
关于脑神经的叙述错误的是()
A:脑神经共12对,可分为运动神经、感觉神经和混合神经
B:嗅神经为感觉神经,传导嗅觉冲动
C:三叉神经为运动神经,支配面部肌肉的运动
D:展神经为运动神经
E:前庭蜗神经为感觉神经
原子核对电子的吸引力,下列描述错误的是()
A:靠近原子核越近,壳层电子结合能力越强
B:靠近原子核越远,壳层电子结合能力越强
C:原子序数越高,对电子的吸引力越大
D:结合力越大,从原子内移走电子所需的能量越大
E:结合能是移走原子中某壳层轨道电子所需要的最小能量
DSA检查常用的药物准备不包括()
A:肝素
B:利多卡因
C:葡萄糖水
D:离子型或非离子型对比剂
E:各类抢救药
常规口服法胆系造影所用的对比剂是()
A:胆影葡胺
B:碘番酸
C:泛影葡胺
D:优维显
E:碘化油
蛛网膜下腔出血的常见原因()
A:颅内动脉瘤破裂
B:毛细血管扩张症
C:海绵状血管瘤
D:动静脉畸形
E:蛛网膜撕裂
滤波反投影法的运算流程为()
A:预处理-卷积-反投影
B:预处理-反投影-卷积
C:预处理-迭代-反投影
D:预处理-傅立叶变换-重建
E:预处理-傅立叶变换-反投影
以下关于骨骼的X线表现的描述,错误的是()
A:正常骨膜在X线片上不显影
B:骨松质在X线片上呈网状骨纹理
C:儿童骨皮质较成人薄
D:骨骺板由致密骨构成
E:婴幼儿期骨骺为软骨,X线片上不显影
关于X线机的基本组成,错误的说法是()
A:X线机主要由主机和外部设备组成
B:X线管装置属于外部设备
C:X线机控制台属于主机设备
D:影像增强系统属于外部设备
E:高压发生器属于主机设备
单层面CT扫描,控制层厚的部件是()
A:X线管窗口大小
B:X线管滤过板厚度
C:X线管焦点面积
D:准直器狭缝长度
E:准直器狭缝宽度
患者,女性,于大腿根部出现一肿块,在平卧时能消失。手术时应如何修补薄弱环节,下列哪种方法最有助于治疗()
A:修补腹股沟管皮下环
B:修补腹股沟管前壁
C:修补股环
D:修补腹股沟管腹环
E:修补隐静脉裂孔

X线影像诊断的正确性,相当程度上依赖于X线影像的质量,而影像形成过程中的每个环节都可能导致影像质量下降。影像质量下降的后果是使诊断信息丢失,影响正确诊断。影像质量评价是对影像形成过程中的各个环节的性能进行评价,从而确定所成影像的质量好坏及是否符合诊断要求。



第1题,共1个问题
(单选题)影像质量评价方法有()
A:主观评价法
B:客观评价法
C:综合评价法
D:以上都是
E:以上都不是
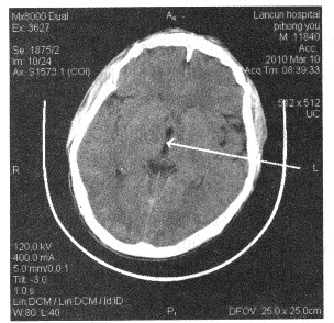
下面颅脑断层图像中箭头所指为()
A:鞍上池
B:大脑外侧窝池
C:第三脑室
D:小脑上池
E:第四脑室
选择氢原子核作为人体磁共振成像的原子核的理由是()
A:1H是人体中最多的原子核
B:1H约占人体中总原子核数的2/3以上
C:1H的磁化率在人体磁性原子核中是最高的
D:以上都是
E:以上都不是
血细胞比容是指血细胞()
A:与血清容积之比
B:与血浆容积之比
C:与血管容积之比
D:在血液中所占容积百分比
E:在血液中所占重量百分比
摄影条件的基本因素不包括()
A:管电压
B:管电流
C:摄影距离
D:冲洗时间
E:增感屏
采用125kV摄影,滤过板应选用()
A:1mm铝
B:2mm铝
C:3mm铝
D:3mm铝+0.3mm铜
E:3mm铝+1mm铜
下列哪个内分泌腺的激素分泌不足时,引起呆小症()
A:甲状腺
B:松果体
C:垂体
D:肾上腺
E:甲状旁腺
内呼吸是指()
A:组织细胞和毛细血管血液之间的气体交换
B:空气进入呼吸道以后的整个吸气过程
C:细胞器之间的气体交换
D:血液中的氧与血红蛋白相结合的过程
E:细胞内的生物氧化过程