自考题库
首页
所有科目
自考历年真题
考试分类
关于本站
游客
账号设置
退出登录
注册
登录
出自:放射医学主治医师
胸腰椎椎体的骨折常表现为()
A:粉碎性骨折
B:病理性骨折
C:疲劳性骨折
D:压缩性骨折
E:撕脱性骨折
MRI诊断骨创伤,难以显示的是( )
A:皮质骨内骨折线
B:骨折周围软组织挫伤
C:骨折周围肌肉撕裂
D:骨折后创伤性血肿
E:骨挫伤
马蹄肾()
A:输尿管长度正常,输尿管扭曲
B:输尿管过短或过长
C:输尿管长度正常,改变体位时扭曲
D:输尿管短,在肾脏前面下行
E:输尿管细小,开口异位
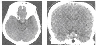
女,42岁,泌乳2个月,平扫CT检查如图,最可能的诊断为()
A:颅咽管瘤
B:垂体瘤
C:脊索瘤
D:脑膜瘤
E:正常
下列关于肺转移瘤的描述
不正确
的是()
A:人体许多部位的原发性肿瘤都可转移至肺内
B:血行转移X线表现为两中、下肺野散在小结节或球形阴影
C:血行转移多见于肝癌、胰腺癌、甲状腺癌或绒癌等
D:淋巴转移X线表现为两中、下肺野多发小结节、粟粒状或网格状阴影
E:以上都不是
目前公众个人全身受照射的年剂量应低于()。
A:0.5mSv
B:1mSv
C:2mSv
D:5mSv
E:10mSv
锁骨上下区有形状不规则的纤维空洞,周围有比较广泛的条索状纤维性改变,并有新老不一的病灶,肺门上提,中下野肺纹理呈垂柳状,常见胸膜增厚,诊断为()
A:浸润型肺结核
B:结核球
C:干酪性肺炎
D:慢性纤维空洞型肺结核
E:干性胸膜炎
声带癌侵犯声门下的标准是肿瘤向下超过声带突()
A:2mm
B:3mm
C:4mm
D:5mm
E:6mm
患者,男,30岁,癫痫3个月。CT示左额后有一1.0cm×1.5cm囊样低密度影,边界清楚,囊周无水肿,边缘轻度强化,内有点状强化,应诊断为()
A:脑内结核
B:脑脓肿
C:胶质瘤
D:脑囊虫病
E:胶质病母细胞瘤
X线透视在骨关节疾病诊治中的应用是()
A:金属异物的寻找和定位及外伤性骨折、脱位的整复
B:显示青枝骨折优于摄片
C:对部位厚、层次多的结构显示更佳
D:显示骨小梁结构
E:显示低密度异物和软组织层次
肠扭转的征象是()
A:跳跃征
B:狭颈征
C:充盈缺损
D:间位结肠
E:空回肠换位征
颅骨骨折的正确分型为()
A:线样骨折、凹陷骨折、压缩性骨折
B:线样骨折、粉碎性骨折
C:凹陷骨折、粉碎性骨折、穿入骨折
D:撕脱骨折、穿入骨折
E:线样骨折、凹陷骨折、粉碎性骨折、穿入骨折
当室壁厚度减少至多少以下时提示为透壁性心肌梗死()
A:3mm
B:4mm
C:5mm
D:6mm
E:7mm
正常内耳道宽度为()
A:3~10mm
B:4~6mm
C:5~10mm
D:3~8mm
E:4~10mm
患者,男,16岁,主诉发热头痛半月,右小腿胀痛20天,X线片示右小腿软组织肿胀,内有网状阴影,层次不清,胫骨上端骨质疏松,骨小梁模糊,似有斑点状透亮区。急性化脓性骨髓炎常需要与下列哪些疾病鉴别()
A:尤因肉瘤
B:骨肉瘤
C:骨梅毒
D:骨结核
E:骨纤维异常增殖症
F:骨巨细胞瘤
下列用于减少CT影像运动伪影的方法,错误的是()
A:检查前训练患者呼吸
B:减少或不做吞咽动作
C:儿科患者服用镇静剂
D:提高扫描速度
E:降低X线扫描剂量
下列哪项不是矽肺的X线征象()
A:矽结节
B:肺门淋巴结蛋壳样钙化
C:胸膜肥厚
D:肺气肿
E:病变晚期肺纹理明显增多
粟粒性肺结核胸片的特征是哪项()
A:胸膜增厚
B:胸腔积液
C:从肺尖到肺底大小均匀的结节影
D:两肺尖部一般不受累
E:肺门淋巴结增大
患者,女,32岁,右下颌骨膨隆。CT示下颌角有一分叶状囊实性肿块,大小2.5cm×3cm。最大可能是()
A:骨肉瘤
B:含齿囊肿
C:右上颌窦癌
D:软骨瘤
E:造釉细胞瘤
下述描述不符合骨巨细胞瘤的表现的是()
A:长骨骨端关节面下出现溶骨性破坏区
B:破坏区内出现肥皂泡样骨性间隔
C:骨皮质菲薄向外膨胀
D:骨膜增生不明显
E:病变处不易发生病理性骨折
X线损伤基础()
A:穿透性
B:荧光效应
C:感光效应
D:电离效应
E:生物效应
下述支架不能用作食管病变治疗的为()
A:Strecker支架
B:Wallstent支架
C:Ultraflex食管支架
D:Z形支架
E:Symphony支架
肾上腺的圆形或椭圆形肿块,直径多在3cm以上。肿瘤常因坏死出血而密度不均。钙化少见()
A:嗜铬细胞瘤
B:肾上腺转移瘤
C:肾上腺囊肿
D:肾上腺皮质腺癌
E:肾上腺腺瘤
StanfordA型主动脉夹层是指()
A:破口位于升主动脉,病变仅局限于升主动脉
B:破口位于升主动脉,病变累及升、降和(或)腹主动脉
C:破口位于左锁骨下动脉以远,病变仅累及胸主动脉者
D:夹层不累及升主动脉
E:夹层累及升主动脉
治疗脾功能亢进宜使用()
A:PTA
B:经导管血管栓塞术
C:经导管动脉内药物灌注术
D:经皮穿刺体腔减压术
E:经皮针刺活检术
眼部的感觉神经是()
A:泪腺神经和额神经
B:额神经和滑车神经
C:泪腺神经和动眼神经
D:额神经和展神经
E:滑车神经和鼻睫神经
鞍区动脉瘤与脑膜瘤的鉴别要点
不包括
()
A:脑膜瘤占位效应明显,动脉瘤一般占位效应较轻
B:脑膜瘤多有邻近骨质反应,动脉瘤不存在
C:脑膜瘤常有块状钙化,动脉瘤表现为点状强化
D:脑膜瘤多明显均匀强化,动脉瘤常与血管同步明显强化
E:脑膜瘤增强后常有“脑膜尾征”,动脉瘤增强后呈“靶征”
经皮穿刺肾造瘘术适应证
不包括
()
A:肾后梗阻的引流和减压
B:尿液改道
C:经皮肾、输尿管镜检活检术的术前术后
D:输尿管狭窄扩张或置入内支架内引流术前后
E:肾肿瘤
以下关于肾上腺肿瘤的描述,错误的是()
A:对患有恶性肿瘤的患者,如CT检查发现一侧肾上腺占位,有可能为转移瘤或肾上腺原发性无功能肿瘤
B:肾上腺转移瘤最常见来自肺癌,约15%肺癌患者肾上腺可能是唯一转移部位
C:CT表现为正常肾上腺,可排除显微镜下转移灶
D:肾上腺转移先累及肾上腺髓质,后累及皮质
E:肾上腺单侧肿瘤时,有时难以鉴别是转移瘤或是原发肿瘤
鼻窦恶性肿瘤主要X线特点是()
A:窦腔软组织肿块影
B:窦腔密度增高
C:窦腔扩大
D:窦腔骨壁破坏
E:面部软组织肿块
首页
<上一页
33
34
35
36
37
下一页>
尾页