自考题库
首页
所有科目
自考历年真题
考试分类
关于本站
游客
账号设置
退出登录
注册
登录
出自:肿瘤学高级职称
卵巢癌的检查方法中最重要、最常用的是()。
A:盆腔超声
B:PET-CT
C:CT
D:MRI
E:X线
灯光射野大小对应于实际射野的50%等剂量线范围,两者符合性误差应小于( )
A:±1mm
B:±2mm
C:±1.5mm
D:±0.5mm
E:±2.5mm
哪种疾病
不属于
胃癌癌前疾病( )
A:慢性萎缩性胃炎
B:胃溃疡
C:胃粘膜巨大皱襞
D:胃息肉
E:残胃
关于骨巨细胞瘤,下列哪项是错误的( )
A:多见于年轻人
B:病灶在骨端,局部有骨质破坏
C:骨端膨胀,骨皮质破坏,侵入软组织
D:常用的手术方法是局部刮除,不易复发
E:术后若有恶变应截肢
简述模拟定位机的主要作用?
男,68岁,上腹部隐痛二月余,CT检查如图,最可能的诊断是( )
A:慢性胆囊炎
B:胆囊癌(肿块型)
C:胆囊腺肌增生症
D:胆囊息肉
E:胆囊区转移瘤
决定直肠癌手术方式的依据是( )
A:直接浸润情况
B:血行转移情况
C:肿瘤大小
D:淋巴转移途径
E:种植转移情况
关于肺癌的副瘤综合征,以下说法正确的是()。
A:杵状指(趾)和肥大性骨关节病是由于长期乏氧导致双下肢及踝部关节肿胀、疼痛,X线片没有骨膜改变,常见于鳞状细胞癌,肿瘤切除后症状减轻或消失
B:杵状指(趾)和肥大性骨关节病是由于长期乏氧导致双下肢及踝部关节肿胀、疼痛,X线片可有骨膜改变,常见于腺癌,肿瘤切除后症状减轻或消失
C:杵状指(趾)和肥大性骨关节病是由于长期乏氧导致双下肢及踝部关节肿胀、疼痛,X线片可有骨膜改变,常见于鳞状细胞癌,肿瘤切除后症状减轻或消失
D:杵状指(趾)和肥大性骨关节病是由于长期乏氧导致双下肢及踝部关节肿胀、疼痛,X线片可有骨膜改变,常见于鳞状细胞癌,肿瘤切除后症状不减轻和消失
E:杵状指(趾)和肥大性骨关节病是由于长期乏氧导致双下肢及踝部关节肿胀、疼痛,X线片没有骨膜改变,常见于腺癌,肿瘤切除后症状减轻或消失
对于Ga肿瘤显像,下列叙述
不正确
的是()。
A:肿瘤病变与炎症病灶均可呈阳性摄取
B:Ga静脉注射后大部分与血浆蛋白结合,特别是与转铁蛋白结合
C:应在淋巴造影前进行
D:静脉注射Ga后,需在24小时内完成显像
E:Ga在结节病、肝脓肿可表现假阳性
在原子壳层模型中,主量子数n=3,轨道量子数1=2的壳层最多可容纳的电子数为()。
A:2
B:3
C:6
D:10
E:18
患者男,54岁,因“进行性消瘦伴腹痛2个月”来诊。查体:KPS=70;消瘦,无黄疸;上腹部轻压痛,无反跳痛,未触及肿物。实验室检查(外院):CA19-9580kU/L,其余血生化未见异常。腹部CT:胰头占位性病变。还须检查()。
A:内镜引导下超声+穿刺细胞学检查
B:腹部MRI/MRCP
C:预防性鼻胆管引流术
D:胸部CT
E:颅脑MRI
F:全身骨扫描
哪一位科学家发现了X线( )
A:贝克勒尔
B:居里夫人
C:伦琴
D:Coutard
E:安培
海绵窦及周围有哪几对脑神经穿行()。
A:1,2,3,4
B:2,3,4,5
C:3,4,5,6
D:4,5,6,7
E:5,6,7,8
槟榔肝(nutmeg liver)的典型病变是()
A:肝小叶结构破坏
B:肝细胞萎缩
C:肝细胞坏死
D:门静脉分支扩张淤血
E:肝血窦扩张淤血,肝细胞脂肪变性
不属于
致癌物质的是( )
A:砷
B:金
C:铬
D:镍
E:镉
患者女,35岁,16个月前行左侧乳腺癌改良根治术。术后病理:左乳浸润性导管癌,腋淋巴结转移6/21。免疫组织化学:ER(+),PR(-),HER-2(+++)。术后行AC→TH辅助治疗,曲妥珠单抗(赫赛汀)辅助治疗52周,末次使用曲妥珠单抗时间为7个月前。近日复查:多发脑转移,伴多发肝转移;无颅内高压症状及脑膜刺激征;肝功能无明显异常;ECOG=1。
第1题,共2个问题
(单选题)目前首选的全身治疗为()。
A:单药卡培他滨治疗
B:单药拉帕替尼治疗
C:拉帕替尼+卡培他滨联合治疗
D:单药曲妥珠单抗治疗
E:曲妥珠单抗+卡培他滨联合治疗
第2题,共2个问题
(单选题)目前首选的局部治疗为()。
A:肝射频消融术
B:肝介入栓塞术
C:全脑放射治疗
D:脑转移灶γ刀治疗
E:脑转移灶及肝转移灶的手术治疗
肿瘤崩解综合征时可出现( )
A:高尿酸血症,高血钾,高血磷,低血钙
B:低尿酸血症,高血钾,低血磷,低血钙
C:高尿酸血症,高血钾,低血磷,高血钙
D:高尿酸血症,低血钾,低血磷,低血钙
E:低尿酸血症,高血钾,低血磷,高血钙
乳腺癌最常见的转移部位是()。
A:骨
B:肝
C:肺
D:脑
E:肾上腺
霍奇金病在淋巴系统内的扩展是( )
A:有规律
B:无规律
C:顺序前进
D:跳跃式
E:逆向扩散
下列
不属于
生长抑素受体表达阳性的肿瘤是()。
A:小细胞肺癌
B:甲状腺髓样癌
C:脑肿瘤
D:乳腺癌
E:神经纤维瘤
早期胃癌是指( )
A: 原位癌
B:粘膜内癌
C:粘膜下癌
D:无淋巴结转移的癌
E:粘膜内癌及粘膜下癌
男性,58岁,进行性吞咽困难2个月,五天前进食时开始呛咳。体检双肺广泛湿啰音,体温39℃。X线平片示两下肺炎。应选用检查方法()。
A:内镜检查
B:钡餐食管造影检查
C:泛影葡胺口服食管造影检查
D:CT检查
E:放射性核素检查
关于GIST
不正确
的是()。
A:起源于胃肠道管壁的细胞
B:可显示为平滑肌和神经成分两种分化的肿瘤
C:>80%的GIST的KIT及S-100表达阳性
D:判断间质瘤良恶性的组织学标准主要是根据核分裂像计数,结合肿瘤体积大小
E:核分裂>5/per50HPF,无论肿瘤大小都属于恶性
下列叙述错误的是()。
A:人群归因危险度百分比与研究因素的人群的暴露率有关
B:人群归因危险度百分比与研究因素的相对危险度有关
C:一般可用对照组的暴露率来代替人群的暴露率
D:相对危险度(RR)一般来自大样本流行病学研究或Meta分析
E:当肿瘤各个环境危险因素的效应相加时,归因分数(AF.可达其最大值(100%)
试述癌症疼痛的处理。
在肿瘤血管生成中起重要作用的分子是()。
A:p53
B:K-RAS
C:Selectins
D:VEGF
E:NM23
在残存肿瘤中,R1表示( )
A:显微镜下可见残存肿瘤
B:无残存肿瘤
C:肉眼可见残存肿瘤
D:X线可见残存肿瘤
E:无法判断是否存在残存肿瘤
良性脑膜瘤X(γ)刀治疗的疗效较普通外照射好,试简述其原因。
患者男,20岁,福建人,因“头痛7个月,右眼复视1个月”来诊。无发热、盗汗及体重减轻。查体:鼻咽右顶后壁结节样肿物,表面坏死,覆盖分泌物,右颈Ⅱ区可触及1枚淋巴结,2cm×2cm,质中,活动,无压痛;脑神经检查:右侧展神经麻痹。患者的AJCC分期(第7版)是()。(提示鼻咽肿物活检:未分化型非角化性癌。MRI:肿物侵犯右侧咽旁间隙,斜坡骨质破坏,侵犯右侧海绵窦,右颈Ⅱ区1枚淋巴结,1.5cm×1.5cm。腹部B型超声、骨ECT及胸部X线片未见转移。)
A:T2N1M0
B:T3N1M0
C:T3N2M0
D:T4N1M0
E:T4bN1M0
F:T4N2M0
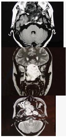
女性,41岁,鼻腔流脓涕3年,鼻部面部肿胀1年,近来加重,MRI检查如图,请选择最可能诊断()
A:鼻腔内囊肿
B:鼻腔内出血
C:鼻腔软骨瘤
D:鼻咽癌
E:鼻腔血管瘤
首页
<上一页
32
33
34
35
36
下一页>
尾页