自考题库
首页
所有科目
自考历年真题
考试分类
关于本站
游客
账号设置
退出登录
注册
登录
出自:神经病学高级职称
Guillain-Barre综合征在病理上属于神经元变性。
脊髓腰膨大受损的临床表现有哪些?
52岁男患,爬山时突发眩晕、呕吐、行走不稳,很快昏迷,呼吸不规则;CT检为小脑出血,血肿20ml。首选治疗及须采取的措施是( )
A:大剂量止血药
B:呼吸兴奋剂
C:应用呼吸机
D:20%甘露醇250~500ml,静脉滴注
E:立即手术治疗
AD的病理特点有哪些?
髓外硬脊膜内肿瘤的临床特点是什么?
震颤为帕金森病最早的症状,其发生率为( )
A:约20%
B:约40%
C:约50%
D:约70%
E:约90%
原发性三叉神经痛的治疗目标是()。
A:终止痉挛
B:解除疼痛
C:镇静
D:神经阻滞或切断
E:防止并发症
Guillain-Barré综合征急性期的主要体征是()。
A:四肢弛缓性瘫痪
B:肌肉萎缩
C:尿潴留
D:四肢手套、袜套状感觉障碍
E:脑脊液呈蛋白-细胞分离现象
痴呆综合征患者不应该有的临床表现为( )
A:妄想
B:全面智能减退
C:注意力不集中
D:有消极观念
E:有意识障碍
脑性瘫痪临床表现复杂多样,下列哪一种不是脑性瘫痪( )
A:早产儿基质出血
B:紧张不安婴儿
C:遗传性痉挛性截瘫
D:先天性婴儿偏瘫
E:先天性舞蹈手足徐动症
眼动脉交叉瘫
醉酒步态
可以清除自由基具有脑保护作用的药物是( )
A:甘露醇
B:苯巴比妥
C:激素
D:维生素C
E:维生素E
神经梅毒如何进行诊断?
重症肌无力的临床特征是( )
A:全身骨骼肌均呈同样程度的无力
B:感染后肌无力加重
C:全身肌无力伴酸痛、按痛
D:受累骨骼肌极易疲劳和短时休息后好转
E:眼睑下垂伴面颊红斑
简述Alzheimer病的主要病理学改变。
多发性硬化提示中枢IgG合成的IgG指数应高于( )
A:O.1
B:O.3
C:0.4
D:O.7
E:0.9
最常见的卒中类型是( )
脑深部白质及脑干的缺血性微梗死称为( )
相邻血管供血区之间的边缘带局部缺血梗死称为( )
A:脑血栓形成
B:TIA
C:脑栓塞
D:腔隙性脑梗死
E:分水岭梗死
炎性脱髓鞘
多发性硬化急性发作或病情恶化时,应优先选用( )
A:抗生素
B:止痛药
C:维生素
D:肾上腺皮质激素
E:神经营养药
女性,60岁。帕金森病患者,已用美多巴治疗6年,近2年来加用培高利特后症状一度又获改善。目前药效减退,出现一天中症状波动,全身僵直,卧床时间增加。选用最佳添加药物为( )
A:恩他卡朋
B:继续加大苄丝肼—左旋多巴剂量
C:维生素E
D:改用息宁治疗
E:苯海索
压颈试验阳性的临床意义是什么?
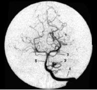
分别标出如图所示1_______________2_______________3_____________4______________5_______________为颅内哪根血管。
中枢神经系统最常见的真菌感染疾病是__________。
正电子发射断层扫描在临床上主要用于( )
A:脑肿瘤分级
B:肿瘤组织与放射性坏死组织鉴别
C:癫痫病灶定位
D:各种痴呆的鉴别
E:帕金森病与帕金森综合征的鉴别
试述慢性炎症性脱髓鞘性多发性神经病(CIDP)的诊断和鉴别诊断。
血管源性脑水肿
临床常用的血清梅毒抗体检查方法为:__________、__________。
主侧半球的哪个部位受损会造成命名性失语( )
A:额上回
B:颞上回
C:顶叶的中央后回
D:颞中、下回后部
E:顶叶角回
全面性发作的特征
不包括
( )
A:大部分与遗传关系密切
B:痫性放电起源于两侧大脑半球
C:有先兆
D:可由缺氧性脑病引起
E:有自动症
首页
<上一页
31
32
33
34
35
下一页>
尾页