自考题库
首页
所有科目
自考历年真题
考试分类
关于本站
游客
账号设置
退出登录
注册
登录
出自:神经病学高级职称
夏科(Charcot)关节
按家系分析,肯定是Duchenne肌营养不良(DMD)的携带者为( )
A:生有本病男孩的母亲
B:生有一个以上本病男孩的父亲
C:本病患者的同胞姐妹
D:生有一个以上本病男患儿的父亲,同时患儿的姨表兄弟或舅父有同病
E:生有一个以上本病男患儿的母亲,同时患儿的姨表兄弟或舅父有同病
原发性三叉神经痛是三叉神经分布区内出现()。
A:阵发性搏动性疼痛
B:阵发性剧痛
C:持续性钝痛
D:持续性麻痛
E:持续性剧痛
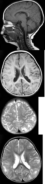
患者,男,1岁。癫痫发作3次,智力反应低下。行头颅MRI扫描如图所示,应诊断为( )
A:颅内结核瘤
B:病毒性脑炎
C:胶质瘤病
D:结节性硬化
E:未见异常
脊髓亚急性联合变性不会出现精神症状。( )
癫痫持续状态发生的原因及其常见的致死原因是什么?
部分性发作包括:___________、___________、___________。
简述甘露醇降颅内压的机制和应用时需注意的事项。
40岁以上发生皮肌炎者须高度警惕( )
A:恶性肿瘤
B:风湿热
C:红斑狼疮
D:类风湿性关节炎
E:心脏病
简述脑蛛网膜下腔出血的治疗措施。
论述线粒体脑肌病的定义、病理特征和各型的主要临床表现。
肝豆状核变性的眼部表现是( )
结节性硬化症的眼部表现是( )
Kearns-sayre综合征的眼部表现是( )
神经纤维瘤病的眼部表现是( )
A:角膜K-F环
B:虹膜Lisch结节
C:视乳头旁细小钙化结节
D:眼底樱桃红斑
E:视网膜色素变性
符合控制癫痫的药物治疗原则是( )
A:大剂量、短期应用单一抗癫痫药
B:按发作类型选择单药短期间歇用药
C:按发作类型长期、规则单一用药
D:大剂量、短期、数个抗癫痫药合并应用
E:长期规则数个抗癫痫药合并应用
可引起对侧同向性偏盲或象限盲的病变有( )
A:视束
B:外侧膝状体
C:内囊
D:枕叶视皮质
E:上丘
症状性癫痫是由于脑部病损和代谢障碍,原因有()、脑外伤、感染、中毒、颅内肿瘤、脑血管疾病、营养代谢疾病、低血糖等。
基底节区出血的临床特点有哪些?
不是脑死亡的临床表现是( )
A:有去大脑强直发作
B:自主呼吸丧失
C:对光反射消失
D:深度昏迷,对外界刺激毫无反应,无任何自发运动
E:脑电图呈一直线
下列单纯疱疹病毒性脑炎脑脊液改变哪个
不正确
( )
A:蛋白质正常或轻度增高
B:脑脊液可有黄变和红细胞
C:细胞数增多最多可达1000×10/L
D:糖和氧化物明显降低
E:细胞数增多以淋巴细胞或多形核细胞为主
最常见的晕厥类型为__________和__________。
患儿,男,10岁,自5年前其家人发现患儿行走不稳,易跌倒,近年来行走时向两侧摇摆,从仰卧位站起时必须先转为俯卧位,再用双手臂攀附身体方能直立,并有翼状肩胛,腓肠肌肥大。
第1题,共1个问题
(配伍题)
此患儿首先考虑为何病( )
针对此患儿,目前适宜的治疗为( )
如患儿的姨表兄弟也患此病,而患儿之母欲生第二胎,其产前必须要做何检查及处理( )
颈内动脉短暂性脑缺血发作的临床表现最常见的症状为( )
A:运动障碍
B:感觉障碍
C:意识障碍
D:失语发作
E:视觉丧失
下列哪项不是上运动神经元瘫痪的特点( )
A:肌张力增高
B:腱反射亢进
C:病理征阳性
D:无肌萎缩
E:以肌群瘫痪为主
前庭性共济失调的临床特征有( )
A:眩晕、呕吐、眼球震颤,改变头位可使症状加重
B:站立步行时躯体易向病侧倾斜
C:前庭功能检查:内耳变温试验或旋转试验反应减退或消失
D:四肢共济运动正常
神经系统钩端螺旋体病的后期可出现两种主要的神经系统并发症类型,分别是__________型和__________型。
雷诺病发病时,肢体远端相继出现__________、__________、__________的皮肤改变。
患者,男性,20岁,发病后出现双侧周围性面瘫,吞咽困难,四肢驰缓性瘫痪,发病第5天出现呼吸困难,测动脉氧分压为50mmHg,应立即采取何种措施最为适宜( )
A:血浆交换
B:地塞米松
C:气管切开,辅助呼吸
D:新斯的明
E:静脉注射免疫球蛋白
蛛网膜下隙出血的常见病因及常见并发症有哪些?
压眶反射是区别以下哪种意识状况的方法( )
A:正常意识—嗜睡
B:嗜睡—昏睡
C:昏睡—浅昏迷
D:浅昏迷—中度昏迷
E:中度昏迷—深昏迷
Litter病
亚急性硬化性全脑炎的病理表现为( )
A:大脑白质内斑片状髓鞘脱失
B:小血管周围炎性细胞浸润
C:胶质细胞核内和胞浆内可见嗜伊红性包涵体
D:末梢血中嗜酸性粒细胞增多
E:脑神经元见变性
首页
<上一页
30
31
32
33
34
下一页>
尾页