出自:放射医学主治医师

对放射防护的目的叙述,错误的是()
A:保障放射工作者健康安全
B:保障放射工作者后代健康安全
C:保障受检者的健康安全
D:保障受检者后代健康安全
E:保障人群非随机效应的发生
椎体成形术最严重的并发症为()
A:骨水泥渗漏
B:肺动脉栓塞
C:肋骨骨折
D:出血
E:过敏
胸部连续扫描,个别层面CT图像出现重复,多见原因是()
A:心脏搏动
B:呼吸运动
C:床动错误
D:操作有误
E:设备故障
患者,男,71岁,主诉:发作性头晕、恶心、面色苍白伴高血压半年,于去年入院观察,当时测量血压180/80mmHg,上腹部CT示:双侧少量胸腔积液,右侧肾上腺区有直径5cm大小圆形稍高密度影,边缘清晰,内部密度不均,最可能的诊断为()
A:肾上腺囊肿
B:肾上腺转移瘤
C:肾上腺髓样脂肪瘤
D:肾上腺腺瘤
E:嗜铬细胞瘤
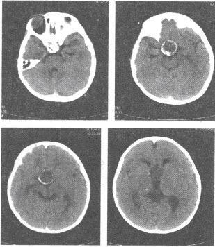
患儿,男,5岁,CT平扫图像如下,最可能的诊断是()
A:垂体瘤
B:透明隔囊肿
C:颅咽管瘤
D:蛛网膜囊肿
E:Rathke裂囊肿
患者,男,60岁。20年前患右上肺结核治愈。近1个月来刺激性咳嗽、血痰来诊。查体右上肺呼吸音消失,可闻及湿啰音,叩诊呈实音,胸片见右上肺大片致密阴影,右侧水平裂上移,右肺门抬高呈横S征。

第1题,共3个问题
(单选题)该诊断需高度警惕下列哪种疾病()
A:肺结核复发
B:肺癌
C:肺化脓症
D:肺炎
E:肺结节病
F:肺炎性假瘤

第2题,共3个问题
(单选题)进一步检查首选()
A:经皮穿刺肺活检
B:磁共振检查
C:纤维支气管镜检查
D:CT扫描
E:核素扫描
F:查痰及痰培养

第3题,共3个问题
(单选题)为明确诊断应选择下列哪项检查()
A:痰细胞学检查
B:磁共振检查
C:放射性核素扫描
D:超声波检查
E:剖胸探查
F:纤维支气管镜检查
患者,男,65岁,矿工。反复咳嗽、咳痰20年,1周前受凉后畏寒、发热、咳脓痰、气急、食欲缺乏,体检:体温37.5℃,呼吸急促,双肺呼吸音减弱,有较多湿哕音,双下肢水肿无力,最可能的诊断是()
A:冠心病
B:风湿性心脏病
C:原发性心脏病
D:肺源性心脏病
E:大叶性肺炎
男,26岁,乏力,上腹痛3个月,近来加剧。疼痛以夜间为重,坐起可缓解,向背部放射,胃纳差,近期体重下降。实验室检查正常。 应做哪些检查()
A:CT
B:MRI
C:MRCP
D:US
E:DSA
F:X线透视
哪项不是经皮激光腰椎间盘减压术的适应证()
A:腿痛
B:游离型椎间盘突出
C:感觉及反射障碍
D:CT及MRI证实为椎间盘突出症
E:3个月神经受损症状
关于继发性肺结核不正确的是()
A:多为内源性,偶为外源性
B:多位于肺局部,如肺尖、锁骨下区及下叶背段
C:可见薄壁、张力性、干酪厚壁、纤维性等不同类型的空洞
D:可见结核球或干酪性肺炎
E:常有肺门淋巴结肿大
主动脉夹层CT的特征性征象是()
A:两个不同增强密度的主动脉腔被一内膜所分隔
B:主动脉钙化内移
C:主动脉壁异常扩张
D:主动脉各段管径不成比例
E:主动脉周围血肿形成
盆腔充气造影时发现于子宫两侧,近盆壁处各有一表面光滑、密度一致的椭圆形阴影,它可能为()
A:膀胱
B:卵巢
C:直肠
D:圆韧带
E:输卵管
盆腔内水样密度肿块,增强后周边明显环形强化()
A:子宫肌瘤
B:子宫颈癌
C:卵巢畸胎瘤
D:卵巢囊肿
E:盆腔脓肿
肾发育不全()
A:输尿管长度正常,输尿管扭曲
B:输尿管过短或过长
C:输尿管长度正常,改变体位时扭曲
D:输尿管短,在肾脏前面下行
E:输尿管细小,开口异位
克罗恩病的特征病变是()
A:病变一般较局限,病变大多不超过回盲瓣
B:溃疡多与肠管纵轴垂直
C:阶段性分布、卵石征及纵行溃疡
D:肠管痉挛激惹呈"线样征"
E:溃疡较大时呈T状或领扣状
DSA诊断颈动脉海绵窦瘘的金标准是()
A:海绵窦扩大
B:眼上静脉增粗
C:眼下静脉增粗
D:眼动脉增粗
E:海绵窦瘘口

女性,35岁。阵发性劳力性呼吸困难及阵发性夜间呼吸困难。听诊可闻及奔马律。行胸部平片检查如下图:



第1题,共2个问题
(单选题)关于该病在X线透视下的征象下列哪项是正确的()
A:两心缘搏动无明显减弱
B:左心室段搏动区域性减弱
C:右心房段搏动减弱
D:心脏搏动快速有力
E:主动脉结搏动增强

第2题,共2个问题
(单选题)该患者可考虑下列哪种疾病()
A:右室流出道狭窄
B:限制型心肌病
C:扩张型心肌病
D:二尖瓣关闭不全
E:室间隔缺损
正常腹部平片上哪些脏器不能显示()
A:肝脏
B:脾脏
C:胰腺
D:双肾
E:肠管
关于CT增强扫描,错误的叙述是()
A:注入对比剂后进行的CT扫描称为增强扫描
B:增强就是增加组织之间对X线的吸收差
C:增强扫描的实质是加大X线照射量的扫描
D:增强后形成的图像对比度增加
E:增强扫描提高了病变的检出率和诊断率
核磁弛豫的概念及宏观磁化矢量的变化如下()
A:出现于90°射频脉冲之前
B:出现于90°射频脉冲之中
C:Mxy由最大恢复到平衡状态的过程
D:Mxy最小
E:Mz最大
骨折不愈合的X线征象是()
A:两骨折端移位
B:两骨折端分离
C:两骨折端骨质硬化
D:两骨折端成角
E:两骨折端重叠
脑囊虫病的CT表现不包括()
A:可导致脑积水
B:不发生于外侧裂池
C:脑实质内多发点状钙化影
D:脑白质区广泛低密度影
E:脑实质内的囊性灶,囊内可见小结节
椎间盘突出的部位常见于()
A:颈2~3
B:颈3~4
C:胸5~6
D:腰3~4
E:腰5~骶1
女,10岁,头痛,抽搐,右颞部膨隆,CT示右中颅凹有一3cm×4cm脑脊液样密度影,边界清楚,蝶骨大翼变薄,颞骨薄,向外膨隆,应诊断为()
A:神经纤维瘤病
B:表皮样囊肿
C:脑脓肿
D:蛛网膜囊肿
E:脑发育不全
一对农村夫妇抱着白喉病患儿来医院求治,因患儿呼吸困难,面部发绀,生命垂危,医师决定马上做气管切开术,但父母坚决不同意。医师反复解释劝导,患儿父母拒绝手术签字。急诊医师看到患儿病情危急,为及时抢救患儿,毅然对患儿施行了手术,患儿得救,其父母感激不尽

第1题,共4个问题
(单选题)该案例中的医患关系模式是()
A:主动-被动型
B:指导-合作型
C:共同参与型
D:并列互补型
E:以上都不是

第2题,共4个问题
(单选题)该案例中,医师不得不违背了患者(或监护人)的何种权利,除了()
A:监督权
B:同意权
C:平等的医疗权
D:自主权
E:自我决定权

第3题,共4个问题
(单选题)该案例中,医师的行为主要是在行使何种权利()
A:自主权
B:干涉权
C:治疗权
D:诊断权
E:监督权

第4题,共4个问题
(单选题)该案例中,医师行为的道德价值主要体现了医德情感的()
A:感人性
B:职业性
C:理智性
D:主观性
E:原则性
左心室增大常见的原因为()
A:主动脉瓣关闭不全
B:二尖瓣关闭不全
C:动脉导管未闭
D:室间隔缺损
E:以上都是
肝豆状核变性与下列哪种物质代谢障碍相关()
A:铁
B:铜
C:铅
D:一氧化碳
E:维生素B12
钢圈(coil)()
A:一般使血管闭塞24~48小时
B:一般使血管闭塞2~4周,可按需制成不同形状和大小
C:较长时间阻塞肿瘤实质血供的外围性液态栓塞剂
D:机械性永久性栓塞物
E:液态高分子聚合物,可长期闭塞血管
关于肝癌的影像表现错误的是()
A:肿瘤以膨胀性生长为主的病灶增长较慢,形成假包膜,可出现晕圈征
B:肿瘤呈浸润性生长一般无包膜形成,边界模糊不清
C:肝癌结节中可形成坏死或偶见脂肪成分
D:肝癌增强扫描静脉期,平扫呈低密度的病灶区CT值迅速升高并明显高于正常肝实质
E:肝癌75%~80%血液由肝动脉供应

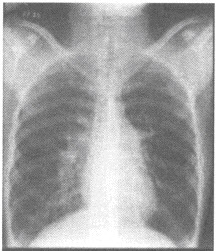
男性,26岁,发育尚可。反复发生上呼吸道感染,近来出现气急,心悸,易疲劳。听诊肺动脉瓣区第二心音亢进,可听到收缩期杂音。行胸部X线平片检查如下图:



第1题,共2个问题
(单选题)该患者应考虑下列哪种疾病()
A:右室流出道狭窄
B:主动脉瓣关闭不全
C:二尖瓣脱垂
D:房间隔缺损
E:三尖瓣闭锁

第2题,共2个问题
(单选题)该病的首选检查方法为()
A:X线三相位片
B:超声心动图和彩色多普勒
C:X线心血管造影
D:多层螺旋CT
E:磁共振检查