自考题库
首页
所有科目
自考历年真题
考试分类
关于本站
游客
账号设置
退出登录
注册
登录
出自:医学影像技术高级职称
颈动脉三角的边界包括( )
A:胸骨甲状肌
B:二腹肌前腹
C:肩胛舌骨肌
D:二腹肌后腹
E:胸锁乳突肌前缘
下列无紫绀先天性心脏病中,哪种疾病的肺血不增多( )
A:动脉导管未闭
B:房间隔缺损
C:室间隔缺损
D:主动脉瓣狭窄
E:佛氏窦瘤破入右心室
立位片上,腹腔游离气体典型影像为( )
A:球形
B:半球形,有气-液面
C:新月形
D:与胸腔间距>15mm
E:不规则形
食管狭窄部位内的溃疡形成并伴发食管裂孔疝是Barrett溃疡的特点。
李某,男,15岁,数年来多处骨折伴有关节疼痛,肝肾功能正常,超声显示甲状腺下极背侧1.0cm×1.5cm,低回声结节,包膜完整,血流丰富,最可能的诊断是( )
A:甲状旁腺增生
B:甲状旁腺癌
C:低血钙症
D:甲状腺腺瘤
E:甲状旁腺腺瘤
肾结核较为特征的CT表现是( )
A:肾脏外形改变
B:肾脏功能改变
C:钙化和肾盂壁增厚、狭窄
D:肾皮质变薄
E:肾实质内单发或多发囊状低密度区
结节性甲状腺肿的声像图表现( ) ①左右甲状腺不对称增大,有多发结节,无包膜 ②左右甲状腺不对称增大,有单发结节,有包膜 ③甲状腺内结节边界模糊,不规整,结节周围无正常甲状腺组织 ④甲状腺内结节边界清晰,形态规整,结节与周围正常甲状腺组织界限清楚 ⑤CDFI呈多彩状,可见血管绕行征、彩球征 ⑥CDFI呈少血流改变
A:①③⑤
B:②④⑥
C:①④⑥
D:②③⑤
E:①③⑥
前纵隔最常见的肿瘤是( )
A:胸腺瘤
B:畸胎瘤
C:胸内甲状腺肿
D:淋巴管瘤
E:支气管囊肿
什么是特异性肿瘤阳性显像和非特异性肿瘤阳性显像?
肺淤血最早出现可靠征象是( )
A:肺纹理增加、模糊
B:肺水肿
C:上肺静脉扩张,与下肺野血管比例改变
D:胸腔积液
E:以上都不是
角度对超声多谱勒的影响,下列哪项不对( )
A:速度矢量与超声夹角影响流速的检测
B:角度增大时,频谱振幅被压缩
C:当角度为零时,频谱无法检测
D:检测时应选择合适部位以减小角度对测量的影响
E:血流量测定,角度造成6%的误差是临床所允许的
患者中年,男性,黄疸,ERCP术后,三维图像如图,最可能的诊断为( )
A:胰腺癌
B:末梢胆管狭窄
C:胆管癌
D:肝门区肝癌
E:十二指肠癌
有关胸部淋巴瘤CT扫描的作用,哪项
不正确
( )
A:显示纵隔内淋巴结更准确
B:显示胸壁、胸膜及心包病变
C:显示与纵隔肺门相连的肺部病变
D:帮助放疗确定视野
E:重点观察胸腔积液
患者女,28岁,右膝跌伤伴疼痛9年,加重及活动障碍1年半,经治疗病情无好转,跛行步态,结合图像,最可能的诊断是( )
A:结核
B:滑膜肉瘤
C:骨肉瘤
D:软骨肉瘤
E:骨巨细胞瘤
下列哪个疾病属于原发性心肌病( )
A:心肌炎
B:心肌梗死
C:克山病
D:缺血性心肌病
E:高血压性心肌病
与胰腺毗邻关系密切的大血管有哪些( )
A:肠系膜上动脉
B:腔静脉、门静脉
C:脾动脉、脾静脉
D:腹腔动脉、腹主动脉
E:肠系膜下动脉
当窗宽为250,窗位为50时,其CT值显示范围为( )
A:50~250
B:-75~175
C:-125~125
D:0~250
E:50~300
单层螺旋CT在硬件方面的重要改进是( )
A:增加了机架的重量,以抵抗滑环连续旋转的离心力
B:增加了探测器的数量
C:采用了滑环技术
D:采用了飞焦点技术
E:采用了电子束和四个阳极靶面
在MRA技术中,预饱和技术常用于抑制( )
A:吞咽运动伪影
B:心搏伪影
C:呼吸运动伪影
D:化学位移伪影
E:逆向流动液体信号
俯卧扫查腹主动脉周围腹膜后淋巴结有一定难度,是因为( )
A:髂腰肌干扰图像
B:俯卧位时淋巴结肿大
C:俯卧时淋巴结降入腹腔
D:脊柱产生声影伪像
E:以上均是
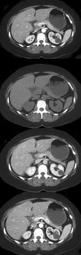
根据所示图像,最可能的诊断是( )
A:左肾囊肿
B:左肾癌
C:左肾积水
D:左肾盂旁囊肿
E:左肾脓肿
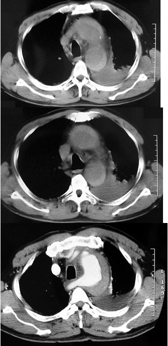
男,58岁,有高血压病史,突发胸背剧痛,CT扫描如图,其最可能的诊断为( )
A:主动脉瘤
B:主动脉假性动脉瘤
C:主动脉窦瘤破裂
D:高安病
E:主动脉夹层动脉瘤
男,28岁,喜爱球类运动,内侧肘部疼痛3个月,结合图像,最可能的诊断是( )
A:尺侧韧带撕裂
B:未见异常
C:桡侧韧带撕裂
D:肱骨远端骨折
E:尺骨骨折
纵隔肿瘤的MRI特征中哪些正确( )
A:胸内甲状腺肿,肿块呈长T1长T2信号
B:胸腺瘤,肿瘤呈TWI低信号,TWI高信号
C:畸胎瘤含脂肪成分多者,TWI和TWI均呈高信号
D:淋巴瘤肿大淋巴结在TWI上呈等信号,TWI上呈高信号
E:神经源性肿瘤,TWI和TWI均为等信号
肾动态显像在肾内占位性病变良、恶性鉴别诊断中有何临床意义?
原发性骨肿瘤最常见的是( )
A:软骨瘤
B:骨瘤
C:骨软骨瘤
D:骨肿瘤
E:骨巨细胞瘤
支气管充气征不见于下列哪种病变( )
A:肺脓肿
B:淋巴瘤
C:炎性假瘤
D:大叶性肺炎
E:肺腺癌
女,41岁,慢性肾功能不全,结合图像,最可能的诊断是( )
A:白血病
B:甲状旁腺功能亢进
C:地中海贫血
D:镰状细胞贫血
E:骨关节结核
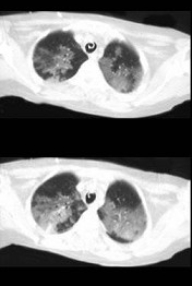
男,32岁,干咳,呼吸困难半月余,2月前被诊断为艾滋病,结合影像学检查,最可能的诊断是( )
A:肺结核
B:卡氏肺囊虫性肺炎
C:肺癌
D:大叶性肺炎
E:间质性肺炎
使用滤线栅的注意事项,正确的是( )
A:使用聚集式滤线栅时不可倒置
B:X线中心线必须垂直于栅板平面
C:倾斜中心线摄片时倾斜的方向与栅排列方向垂直
D:摄片距离在栅焦距的允许范围内
E:相应增加摄片kV值或mAs
首页
<上一页
313
314
315
316
317
下一页>
尾页