自考题库
首页
所有科目
自考历年真题
考试分类
关于本站
游客
账号设置
退出登录
注册
登录
出自:医学影像技术高级职称
吻形死骨
下面哪项应采取介入放射学的成形术( )
A:动脉狭窄
B:消化道出血
C:晚期胰腺癌
D:肝囊肿
E:脾功能亢进
有关CT成像过程的论述,错误的是( )
A:DAS为数据收集系统
B:图像处理机与控制计算机并行工作
C:计算机可进行重建图像的运算
D:原始数据存储到硬盘
E:探测器输出的是数字信号
平扫天幕与大脑镰可见V、Y、M形,幕上的病灶在( )
A:V形外方
B:V形内侧
C:Y形内侧
D:M形内侧
E:M形外方
根据所提供的图像,最可能的诊断是( )
A:感染
B:胃腺癌
C:胃肠道间质瘤
D:淋巴瘤
E:转移癌
男,60岁,右侧肢体功能障碍2小时,CT平扫正常,24小时后复查,CT示左颞叶大片模糊低密度,最可能的诊断为( )
A:左颈内动脉支配区急性脑梗死
B:前交通动脉支配区急性脑梗死
C:左大脑中动脉支配区急性颞叶脑梗死
D:左大脑前动脉支配区急性颞叶脑梗死
E:左大脑后动脉支配区急性颞叶脑梗死
对“垂体微腺瘤”的诊断最佳技术是以下哪项( )
A:冠状面、矢状面MRI增强扫描
B:冠状面CT平扫
C:横断面CT增强扫描
D:蝶鞍分层
E:头颅侧位片
膈疝
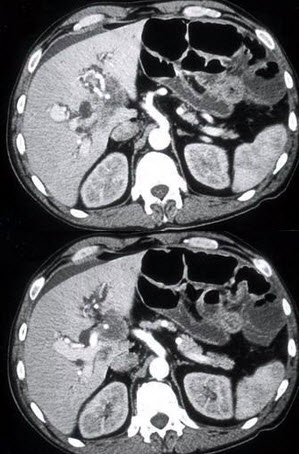
患者溃疡性结肠炎并最近黄疸发作,结合图像,最可能的诊断为( )
A:胆管癌
B:肝细胞癌
C:肝脓肿
D:肝炎
E:胆囊癌
T1加权像肝脏病变表现为近似水信号的是( )
A:肝囊肿出血
B:海绵状血管瘤
C:囊性转移癌
D:局灶性结节增生
E:上述全不正确
有关胃肠道粘膜的说法中,哪些正确( )
A:空肠粘膜皱襞常显示为羽毛状影像
B:十二指肠球部粘膜皱襞为纵向、彼此平行的条纹
C:胃粘膜皱襞呈条纹状影
D:食管粘膜皱襞为纤细条纹状阴影
E:大肠粘膜皱襞为纵、横、斜3种方向交划结合的纹理
患者反复发热,原有先心病史,该病例最有可能诊断( )
A:室缺并感染性心内膜炎
B:主动脉瓣脱垂
C:窦瘤破裂
D:右流狭窄
E:肺动脉瓣狭窄
胸部侧位片肺门区不显影的是( )
A:两上叶支气管
B:右上肺静脉干
C:左肺动脉弓
D:左下肺动脉
E:左上肺静脉干
男,63岁,进行性吞咽困难1月。食管钡餐示:食管下段粘膜不规则充盈缺损,管腔狭窄,贲门扩张欠佳。
第1题,共2个问题
(单选题)最可能的诊断是( )
A:食管下段炎症
B:食管下段溃疡侵及贲门
C:食管下段癌侵及贲门
D:食管下段静脉曲张
E:以上都不对
第2题,共2个问题
(单选题)病变侵及食管的( )
A:粘膜层
B:粘膜下层
C:肌层
D:外膜
E:粘膜肌层
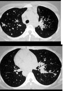
男,64岁,咳嗽半月,咯血1天,不发热,结合图像,最可能的诊断是( )
A:金葡菌肺炎
B:肺转移瘤
C:肺结核
D:结节病
E:组织胞浆菌病
动脉导管未闭闭塞术可选用( )
A:PVA颗粒
B:聚四氟乙烯海绵塞子
C:可脱球囊装置
D:明胶海绵块
E:蓝色组织胶
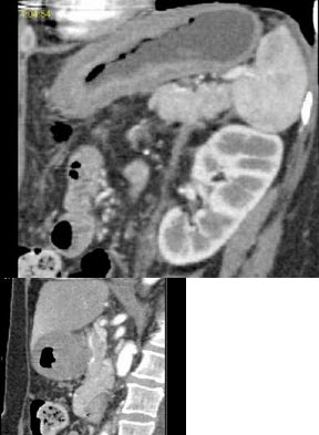
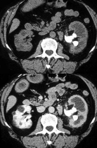
根据所提供的图像,最可能的诊断是( )
A:鹿角状结石
B:肾盂积水
C:肾动静脉畸形
D:黄色肉芽肿性肾盂肾炎
E:肾盂旁囊肿
男,32岁,头痛、抽搐3年余,MRI检查如图,最可能的诊断是( )
A:先天发育不全
B:灰质异位
C:正常颅脑
D:片状脑梗死
E:脑水肿
关于仰卧位摄片,下列组合中哪个是
不正确
的( )
A:骶髂关节正位——中心线向头侧倾斜15°~30°
B:骶髂关节斜位——人体矢状面倾斜15°~20°
C:骶髂关节左后斜位——显示左侧骶髂关节
D:腰椎左后斜位——显示左侧椎间关节
E:胸椎右后斜位——显示右侧椎间关节
下列心脏影像中,哪项不太重要( )
A:位置
B:大小
C:形态
D:密度
E:搏动状态
下列关于结核性冷脓肿的描述,正确的是( )
A:脓肿的弧度越大,密度越高,常提示具有活动性
B:脊柱周围的梭形软组织影
C:冷脓肿常见于脊椎结核
D:脓肿内为干酪样坏死
E:以上都是
女,62岁,头痛,精神焦虑,CT检查如图,最可能的诊断为( )
A:正常脑CT
B:苍白球钙化
C:腔隙性脑梗死
D:脑出血
E:脑萎缩
对图像作平滑滤波可以降低图像的统计噪声,但过度的平滑滤波有副作用,其副作用是( )
A:使存储图像所需的存储空间变大
B:降低图像的空间分辨率
C:产生星状伪影
D:降低γ相机的灵敏度
E:降低γ相机的能量分辨率
肺气肿患者,HRCT显示两肺上叶散在分布小圆形,无壁多发低密度区,大小约为2~10mm。属于哪种类型肺气肿( )
A:全小叶型
B:小叶中心型
C:间隔旁型
D:瘢痕型
E:不规则型
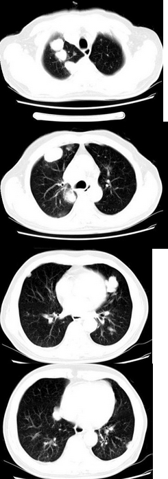
患者31岁,女性,最可能的诊断为( )
A:结节病
B:转移瘤
C:肺泡细胞癌
D:曲霉菌病
E:以上都不是
以下肺部异常MRI的表现,哪项正确( )
A:钙化灶表现为高信号
B:空洞表现为低信号
C:肿块表现为高信号
D:纤维化表现为高信号
E:渗出性病变表现为低信号
在胸部平片上,可见圆形或类圆形的孤立性结节影的是( )
A:结节病
B:结核球
C:慢性支气管炎
D:肺泡蛋白沉积症
E:肺不张
急性腹膜炎时腹腔内积气的X线表现为__________、_____________、_______________、_______________、______________、_______________和_________________。
前列腺增生的MRI表现有哪些?
腹主动脉内径大于______即可认为是腹主动脉瘤。
首页
<上一页
312
313
314
315
316
下一页>
尾页