出自:内分泌学高级职称

内分泌系统对中枢神经包括下丘脑有直接调整其功能的作用,一种激素可作用于多个部位,而多种激素也可作用在同一器官组织。
Graves病的甲状腺肿大是由于()。
A:促甲状腺激素释放激素(TRH)
B:促甲状腺激素(TSH)分泌增多
C:甲状腺激素分泌增多
D:体内缺乏碘
E:以上因素都无关
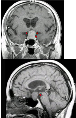
男,37岁,视力模糊,部分视野缺失,伴有头痛、恶心数月,MRI检查如图,最可能的诊断为( )
A:颅咽管瘤
B:脑膜瘤
C:蛛网膜囊肿
D:垂体瘤
E:表皮样囊肿
关于糖尿病大血管病变叙述不正确的是( )
A:是2型糖尿病患者的主要死亡原因
B:内源性高胰岛素血症促进脂质合成加速动脉粥样硬化形成
C:胰岛素不足可减低脂质清除加速动脉粥样硬化形成
D:与血清低密度脂蛋白水平呈正相关
E:引起糖尿病心肌病
患者,男,48岁。心慌、纳亢4月余就诊。既往有哮喘史。体检:甲状腺一度肿大,心界向左扩大。HR124次/分,律齐,肝肋下2cm,质中,肝颈回流征(+),双下肢可有凹陷性水肿。FT3、FT4均升高,TSH0.2U/ml。最完整的诊断是()。
A:甲亢
B:甲亢伴心衰
C:心衰
D:甲亢伴肺心病
E:甲亢伴哮喘
产后甲状腺炎的治疗原则?
甲状旁腺功能减退症患者出现手足搐搦( )
血清钙的正常范围( )
A:血清钙一般在2mmol/L以下
B:血清钙低于1.88mol/L
C:血清钙低于0.95mmol/L
D:血清钙在2.0~2.25mmol/L之间
E:血清钙在2.25~2.75mmol/L之间
男性,20岁,半年前车祸,头部受伤昏迷。近3个月来,多尿,多饮,每日尿量超过6000ml。

第1题,共3个问题
(单选题)下列检查可能出现异常的是()。
A:血糖
B:尿比重
C:甲状腺功能
D:肾功能
E:肝功能

第2题,共3个问题
(单选题)患者有效的治疗方案为()。
A:胰岛素
B:去氨加压素
C:保肝治疗
D:保肾治疗
E:抗甲状腺治疗

第3题,共3个问题
(单选题)预计这种异常表现在()。
A:空腹血糖高
B:甲状腺功能亢进
C:尿比重低于1.005
D:血肌酐升高
E:肝酶升高
患者男,16岁,身高202cm,面部粗糙,手脚肥大,无第二性征发育,垂体发现一腺瘤。诊断应首先考虑()。
A:肢端肥大症
B:巨人症
C:青春期发育延迟
D:骨关节炎
E:垂体瘤
引起血管升压素分泌最敏感的因素是()。
A:循环血量减少
B:血浆晶体渗透压增高
C:血浆胶体渗透压增高
D:动脉血压降低
E:疼痛刺激
嗜铬细胞瘤
妊娠期甲状腺功能亢进症的禁忌治疗是()。
A:ATD治疗
B:以上都是
C:PTU治疗
D:手术治疗
E:RAI治疗
患者,女性,25岁,因原发性闭经就诊,幼时智力尚可,以后学习逐渐落后,初中为毕业辍学,查:身高1.4m,体形匀称,有颈蹼,乳房、生殖器幼稚型。最可能的诊断是()。
A:呆小症
B:Turner综合征
C:垂体性侏儒
D:幼年型黏液性水肿
E:青春期延迟
关于激素的敏感性缺陷叙述正确的是( )
A:可表现为功能减低
B:血中激素水平异常升高
C:可表现为功能亢进
D:血中激素水平异常降低
E:主要是受体和(或)受体后缺陷
下列最不适合长期治疗甲减的药物是()。
A:L-甲状腺素
B:T4
C:干甲状腺片
D:L-甲状腺素+维生素B12
E:T3
患者男,65岁,“因心悸、手颤3年,加重1个月”来诊。查体:P110次/min,BP160/60mmHg;消瘦,皮肤潮湿,甲状腺Ⅰ度肿大;颈静脉无怒张,心界不大,HR134次/min,心律绝对不齐,心音强弱不等;肺、腹(-);双下肢无水肿。该患者最可能的诊断是()。
A:冠心病
B:扩张性心肌病
C:高血压心脏病
D:老年退行性心脏病
E:甲状腺功能亢进症
异位ACTH综合征是由于垂体以外的恶性肿瘤产生ACTH,刺激肾上腺皮质增生,分泌过多的皮质类固醇所致。
Pendred综合征
下列哪种病属于肾上腺皮质疾病()
A:Cushing综合征
B:嗜铬细胞瘤
C:原醛症
D:先天性11β-羟类固醇脱氢酶缺乏
E:Addison病
患者,女,36岁,农民。皮肤粘膜色素沉着进行加深半年,咳嗽、发热伴纳差,乏力3天。2年前患“肺结核”,治疗3个月后自行停药。查体:血压100/65mmHg,体温38℃,颜面及乳晕、齿龈等处有色素沉着,右上肺可闻及散在的湿啰音,血糖6.5mmol/L。(1)该患者最可能的诊断是什么?(2)为明确诊断,进一步应做哪些检查?(3)治疗原则是什么?
由于甲状腺腺体本身病变引起的甲减称为原发性甲减。
垂体瘤根据肿瘤大小可分为微腺瘤、大腺瘤和巨大腺瘤。
关于弥漫性甲状腺肿伴甲状腺功能亢进症,正确的是()。
A:可有水冲脉
B:可有血胆固醇明显升高
C:可有不同程度的突眼
D:可有主动脉瓣关闭不全
E:血TRAb可阳性
Addison病最常见的病因是()。
A:葡萄球菌性肾上腺炎
B:自身免疫性肾上腺炎
C:先天性肾上腺发育不良
D:恶性肿瘤转移
E:肾上腺结核

患者,男,65岁。糖尿病史10年,高血压史15年,BMI23kg/m。2年前曾发生过下壁心肌梗死,血脂检查显示:总胆固醇6.5mmol/L;LDL-C4.0mmol/L,甘油三酯1.6mmol/L;HDL-C1.1mmol/L。



第1题,共4个问题
(单选题)该患者有关血脂代谢的诊断是( )
A:高胆固醇血症
B:高甘油三酯血症
C:低HDL-C血症
D:高HDL-C血症
E:低LDL-C血症

第2题,共4个问题
(单选题)该患者的治疗目标,应将LDL-C控制到( )
A:<4.0mmol/L
B:<3.4mmol/L
C:<3.0mmol/L
D:<2.8mmol/L
E:<2.6mmol/L

第3题,共4个问题
(单选题)除饮食控制和调脂药物治疗外,该患者控制血脂的治疗中最重要的是( )
A:减肥治疗
B:控制血糖治疗
C:血液净化治疗
D:运动治疗
E:手术治疗

第4题,共4个问题
(单选题)该患者调脂治疗最合适的药物是( )
A:树脂类
B:天然鱼油制剂
C:他汀类
D:烟酸类
E:贝特类
腺垂体功能减退症时最早表现为下列哪些激素缺乏( )
A:促性腺激素
B:生长激素
C:催乳素
D:促甲状腺激素
E:促肾上腺皮质激素
糖尿病饮食治疗的总原则就是少吃饭。
有关抗甲状腺药物不良反应说法错误的是()。
A:抗甲状腺药物最常见的不良反应是白细胞减少
B:白细胞减少多发生在开始治疗后的2—3个月内
C:发生白细胞减少时应立即停用抗甲状腺药物,白细胞恢复后再用
D:发生胆汁淤积性黄疸、中毒性肝炎或血管神经性水肿时应立即停用抗甲状腺药物
E:发生皮疹时可先用抗组胺药
男性,24岁,肥胖,一日前新诊断为2型糖尿病,首先应该告知患者( )
A:饮食控制和体育锻炼
B:双胍类降糖药
C:减肥药物
D:口服磺脲类药物
E:胰岛素
与动脉粥样硬化密切有关的物质是( )
A:醛固酮,B脂蛋白及甘油三酯
B:胆固醇,B脂蛋白及甘油三酯
C:胆固醇,B脂蛋白及醛固酮
D:胆固醇,醛固酮及甘油三酯
E:肾上腺素,醛固酮及甘油三酯