自考题库
首页
所有科目
自考历年真题
考试分类
关于本站
游客
账号设置
退出登录
注册
登录
出自:神经病学高级职称
原发性三叉神经痛需与以下疾病相鉴别即________、________、_______、_________、________。
慢性脊髓压迫症可分为三期,分别为______________、____________和__________期。
头不能向左侧偏以对杭检查者的阻力是()侧()肌瘫痪。
癫痫药物治疗的基本原则是()。
A:数种药物同时使用
B:控制发作后即可停药
C:长期规律服药
D:定期肌注安定
E:定期停药查脑电图
颅底凹陷症的临床表现
不包括
( )
A:饮水呛咳
B:失语
C:眼球运动受限
D:小脑性共济失调
E:肌肉萎缩
卒中的一、二级预防措施是什么?
成年男性,外伤后一小时,CT检查如图,最可能的诊断为( )
A:硬膜下血肿
B:硬膜外血肿
C:蛛网膜下隙出血
D:正常脑CT
E:脑出血
男,20岁,平时体健,咳嗽发热7天后出现高热、乱语和癫痫发作,1天后昏迷,去脑强直发作,四肢无自主活动。检查:Bp130/85mmHg,四肢瘫,双侧Babinski征(+),但Kernig征和Brudzinski征均(+)。最可能的诊断是( )
A:脑囊虫症
B:感染中毒性休克
C:结核性脑膜炎
D:急性播散性脑脊髓炎
E:急性蛛网膜下隙出血
基底节性失语
原发性帕金森病主要病变部位在( )
A:丘脑
B:黑质—纹状休
C:蓝斑
D:中脑核
E:迷走神经背核
脑型血吸虫病如何进行诊断?
复杂部分性发作开始时出现精神症状或特殊感觉症状,这些症状发作后患者能够回忆,称为___________,随后出现___________、___________。在觉醒时仅30%患者在EEG上一侧或两侧颞区发现___________,为了提高该发作在EEG上的阳性率,一般采用普通EEG加上特殊电极,如___________和___________,必要时加用___________。
患者,女性,30岁,3年前因为双下肢麻木无力,治疗3周后症状消失。1年前右眼视力下降,未经治疗2周后好转。近1周出现走路不稳、复视。MRI表现如图。 应该给予的辅助检查包括( )
A:头MRI
B:CSFOB检测
C:脊髓MRI
D:诱发电位
E:以上均是
皮质-纹状体-脊髓变性具有诊断意义之一的是脑脊液中存在( )
A:蛋白总量增高
B:寡克隆带
C:13-3-3蛋白
D:14-3-3蛋白
E:S100蛋白
简述脊髓圆锥受损的临床表现。
多发性硬化的病因可能是( )
A:病毒感染
B:环境因素
C:遗传因素
D:自身免疫
E:血管炎
Shy-Drager综合征患者,检查发现皮肤划痕试验__________,Valsalva动作试验在正常人出现血压__________、心率__________,Shy-Drager综合征患者无反应。
雷诺病为( )
Shy-Drager综合征为( )
A:肢端小动脉异常扩张性疾病
B:肢端小动脉异常痉挛性疾病
C:两者均有
D:两者均无
隐球菌性脑膜炎的病变范围可累及( )
A:脑膜
B:蛛网膜下隙
C:脑室
D:脑实质
E:脑脊液
深感觉传导径路由三个感觉神经元相连而成,分别是__________、_________、_______。
左旋多巴的副作用有( )
A:恶心、呕吐
B:症状波动
C:运动障碍
D:下肢网状青斑
E:精神症状
男性,60岁,晨起发现右侧肢体麻木乏力,次日下午又出现言语不清。头颅CT显示左侧内囊区低密度影。该患者最可能的诊断为( )
女性,45岁,突感头痛,颈部不敢活动,头颅CT显示外侧裂和鞍上池高密度影。该患者最可能的诊断为( )
男性,44岁有风湿性心脏病多年,散步时突感头痛,右侧肢体无力。头颅CT显示左侧基底节低密度影。最可能的诊断为( )
A:脑血栓形成
B:脑栓塞
C:蛛网膜下隙出血
D:脑出血
E:短暂性脑缺血发作
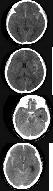
女,37岁,产后10天出现剧烈头痛头昏伴神志不清2天,请根据所提供图像,选择最可能的诊断( )
A:右侧蛛网膜下隙出血
B:右侧脑膜脑炎
C:右侧硬膜下血肿
D:右侧脑梗死
E:右侧静脉窦血栓形成
什么是多发性硬化(MS)?
Foville综合征
马尾的病变多见根性疼痛,二便障碍可不明显。( )
Kearns-Sayre综合征
如图中箭头所示范围感觉区的脊髓中枢为( )
A:L
1
B:L
2
C:L
3
D:L
4
E:L
5
女性,23岁,工作压力大,长期头痛,全头胀痛紧缩感,按住后缓解,不伴恶心呕吐,可以坚持日常工作,每日均有发作,但各项检查未见异常。该患者最可能的诊断是( )
A:颅内占位
B:颅内感染
C:慢性偏头痛
D:抑郁症
E:偏头痛
脑囊虫病如何进行病因学治疗?需注意哪些问题?
首页
<上一页
29
30
31
32
33
下一页>
尾页