自考题库
首页
所有科目
自考历年真题
考试分类
关于本站
游客
账号设置
退出登录
注册
登录
出自:放射医学主治医师
梯度场强增加会产生()
A:皮肤灼伤
B:神经肌肉刺激症状
C:食欲缺乏
D:白细胞减少
E:消化不良
高血压性心脏病患者X线平片显示的典型心脏形态应是()
A:普大型
B:二尖瓣型
C:主动脉型
D:二尖瓣普大型
E:主动脉普大型
颅脑CT图像出现带征提示()
A:脑炎
B:脑梗死
C:脑出血
D:脑血管病变
E:脑囊虫
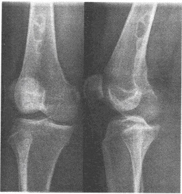
男,17岁,右腿酸痛、肿胀2个月余。右膝关节平片如下,最可能的诊断为()
A:纤维性骨皮质缺损
B:非骨化性纤维瘤
C:骨化性纤维瘤
D:骨样骨瘤
E:骨巨细胞瘤
结节性硬化的脑部病理特征,错误的是()
A:室管膜下胶质结节
B:白质胶质结节
C:白质内异位细胞团
D:灶性脱髓鞘
E:室管膜下结节常钙化
肾癌X线血管造影中,错误的是()
A:大多数肿瘤血管丰富
B:有明显的动静脉瘘
C:肾动脉闭塞
D:可见静脉池
E:肾静脉内有充盈缺损
支气管扩张的X线影像表现,下述哪项不对()
A:胸片正常可除外此病
B:局部肺纹理增多、走行紊乱
C:囊状或蜂窝状影
D:不规则杵状致密影
E:不规则管状透明影
关于DSA感兴趣区处理方法中,错误的是()
A:脂肪组织的测量
B:多幅图像显示
C:介入治疗前后图像同屏分隔显示
D:减影像与未减影像同屏分隔显示
E:自动显示所摄图像的角度
下列哪种疾病一般不会出现空洞()
A:大叶性肺炎
B:肺结核
C:转移性鳞癌
D:肺吸虫病
E:韦格纳肉芽肿
关于栓塞剂明胶海绵的描述,不恰当的是()
A:是目前临床应用广泛、最有价值的栓塞剂之一
B:可按需裁剪成不同形状和大小,且价格低廉
C:不但能机械性阻塞血管,还可造成继发血栓形成
D:多用于栓塞肿瘤、血管性疾病和控制出血
E:不能被机体吸收
患者,男,36岁。腹痛半年,CT示胰腺略小并见较多细小钙化灶,胰管轻度扩张。最可能的诊断是()
A:胰腺结核
B:慢性胰腺炎
C:急性胰腺炎
D:胰腺癌
E:以上都不是
风湿性心脏病最易侵犯的瓣膜是()
A:主动脉瓣
B:肺动脉瓣
C:二尖瓣
D:三尖瓣
E:二尖瓣+主动脉瓣
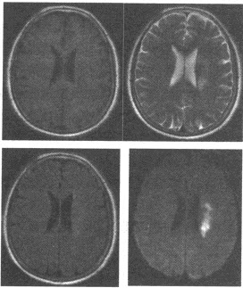
女性,53岁,右侧肢体活动不灵1天余。查体:伸舌右偏,右上下肢肌力3~4级,右侧病理征(+),MRI检查如图,最可能的诊断为()
A:脑出血
B:脑梗死
C:脑炎
D:脑胶质瘤
E:脑转移瘤
诊断十二指肠球溃疡较可靠的X线征象是()
A:呈三叶瓣形变形
B:有激惹征象
C:局部有压迹
D:球充盈不佳
E:黏膜皱襞不清
男,54岁,右上腹部不适,CT检查如图
关于该病的描述,下列哪项
不正确
()
A:病理上可分为海绵状血管瘤和毛细血管性血管瘤
B:平扫多呈低密度
C:增强扫描从病灶周边部开始强化
D:病灶边缘增强的密度与同一层面的主动脉密度相似
E:与肝癌相比,血管瘤向病灶中心增强的速度较快
Caroli病的CT表现错误的是()
A:肝内胆管扩张,右叶为主
B:肝门区中心胆管不扩张
C:肝内多个小囊状区域,与肝内胆管不连接
D:扩张的肝内胆管可以有小结石
E:可伴有肝硬化表现
正常肋软骨钙化最早开始于()
A:第1肋骨
B:第2肋骨
C:第3肋骨
D:第11肋骨
E:第12肋骨
影响心脏外形改变的因素有()
A:体型
B:体位
C:呼吸
D:年龄
E:以上都是
表现为肾上腺的类圆形或椭圆形小肿块,直径多在2cm以下,边界清楚,均匀一致的低密度()
A:嗜铬细胞瘤
B:肾上腺转移瘤
C:肾上腺囊肿
D:肾上腺皮质腺癌
E:肾上腺腺瘤
肾盂癌的Rubenstein分期,错误的是()
A:Ⅰ期:肿瘤限于肾盂内
B:Ⅱ期:肿瘤侵至肾盂肌层或肾实质,但尚未穿破肾被膜
C:Ⅲ期:肿瘤穿破包膜,侵至肾周脂肪囊
D:Ⅳ期:肿瘤已有区域淋巴结转移
E:Ⅴ期:肿瘤已有远处转移
下列哪一种疾病
不属于
肺血液循环障碍性疾病()
A:肺水肿
B:肺栓塞
C:肺梗死
D:肺动静脉畸形
E:成年人呼吸窘迫综合征
患者,男,56岁。咳嗽、咳痰、低热1个月(每天18:00或早晨5:00左右低热)。患者有糖尿病史。查体:右下肺可闻及湿啰音。白细胞:15×10/L,抗感染治疗效果不佳。胸部CT如下图所示。
对肺炎性假瘤描述正确的是()
A:发病年龄以30~40岁多见,女性多于男性
B:多数假瘤小于5cm,少数可大于10cm
C:一般为中等密度,密度均匀
D:有的假瘤周围还可出现类似周围型肺癌的毛刺样表现
E:位于肺周边的假瘤,其邻近胸膜可见局限性粘连增厚
尿路结石多为()
A:阴性(透X线)结石
B:胆色素结石
C:胆固醇结石
D:滞积性结石
E:阳性(不透X线)结石
胸骨左缘2~3肋间收缩期吹风样杂音()
A:房间隔缺损
B:室间隔缺损
C:动脉导管未闭
D:二尖瓣狭窄
E:肺动脉瓣狭窄
泌尿系肿瘤血尿特点()
A:全程肉眼血尿
B:终末血尿
C:镜下血尿
D:初始血尿
E:乳糜尿
男性,15岁,腰背痛3个月,近月来右髋疼痛。骨盆X线片显示,右髋关节间隙轻度变窄,双侧骶髂关节间隙模糊。
第1题,共2个问题
(单选题)可能的诊断是()
A:类风湿关节炎
B:关节结核
C:一过性滑膜炎
D:腰椎间盘突出
E:强直性脊柱炎
第2题,共2个问题
(单选题)根据以上情况,进一步证实诊断的检查手段是()
A:验血沉
B:OT试验
C:腰椎CT
D:类风湿因子
E:HLA-B27
胸骨后甲状腺好发于()
A:上纵隔
B:前纵隔
C:中纵隔中区
D:中纵隔下区
E:后纵隔
颞骨骨折Ⅲ型为()
A:骨折线与岩锥长轴平行,骨折线常起自颞骨鳞部
B:骨折线与岩锥长轴平行,骨折线常起自颅后窝枕大孔
C:骨折线与岩锥长轴垂直,骨折线常起自颞骨鳞部
D:骨折线与岩锥长轴垂直,骨折线常起自颅后窝枕大孔
E:混合型骨折
内耳成像()
A:in-outphase
B:水成像
C:DWI
D:MRS
E:DTI
输尿管生理狭窄最窄的部位在()
A:肾盂起始部
B:输尿管起始部
C:过髂主动脉处
D:跨过骨盆入口处
E:进入膀胱壁处
首页
<上一页
29
30
31
32
33
下一页>
尾页