出自:消化内科学高级职称

1994年WHO宣布胃癌的Ⅰ类致癌原是()。
A:霉变食品
B:环境因素
C:腌制烟熏食品
D:遗传因素
E:幽门螺杆菌
男性,78岁。反复上腹痛10年,多出现于餐后半小时至1小时,进食后加重,未系统诊治。近1年疼痛不规律,消瘦,偶有黑便。最应该检查()。
A:便常规+潜血
B:14C呼气试验
C:胃镜+活检
D:腹部CT
E:X线钡餐
在治疗胃食管反流病时,为增加食管下括约肌(LES)压力,选择的主要药物是()。
A:促进胃动力药
B:H2受体拮抗剂
C:硝酸甘油
D:质子泵抑制剂
E:钙通道阻滞剂
有关消化性溃疡,以下哪一个不正确()。
A:十二指肠溃疡较胃溃疡多见
B:绝大多数病例病变位于胃和十二指肠
C:男性发病多于女性
D:全世界均多见
E:老年罕见
男性患者,45岁。近半年来出现上腹隐痛、食欲减退、体重下降,一般状态较好,内镜发现胃角溃疡,约1.5cm×1.5cm,病理诊断为早期胃癌。首先应选择的治疗方法是()。
A:免疫治疗
B:内镜下切除
C:放疗+化疗
D:动脉栓塞
E:手术治疗
关于肝性脑病的氨代谢,下述不正确的是()。
A:大多数门腔分流术患者血氨及脑脊液中氨含量都增高
B:暴发性肝功能衰竭时血氨往往明显增高
C:动脉血和脑脊液中氨含量明显相关
D:便秘时会引起血氨增高
E:结肠呈碱性环境时产氨增多
肝硬化患者出现血性腹水,应首先考虑肝硬化合并()。
A:结核性腹膜炎
B:原发性肝癌
C:继发性腹膜炎
D:液系统疾病
E:自发性腹膜炎
RNA聚合酶Ⅱ的作用()。
A:促进mRNA的合成
B:抑制mRNA的合成
C:促进tRNA的合成
D:抑进tRNA的合成
E:促进RNA的合成
高三酰甘油血症作为急性胰腺炎的病因之一,血三酰甘油水平应()。
A:>2.3mmol/L
B:>11.0mmol/L
C:达到正常上限的3倍
D:>20.0mmol/L
E:达到正常上限的3倍,伴血胆固醇升高
可减少肠道氨的生成和吸收的药物有()。
A:乳梨醇
B:乳糖
C:新霉素
D:乳果糖
E:利福昔明
关于上消化道出血量的估计不正确的是()。
A:如果短时间内出血量1000ml方可出现周围循环衰竭表现
B:如果出现呕血则提示胃内储血量>250ml
C:如果没有全身症状,失血量一般<400ml
D:如果出现黑粪则提示每日出血量>50ml
E:如果短时间内出血量400ml则出现周围循环衰竭表现
男,37岁,间歇性左下腹痛、粘液脓血便5年,多次大便细菌培养阴性,反复抗生素治疗无效,查体:腹平软,左下腹轻压痛,未触及包块,为明确诊断首选检查为( )
A:复查大便培养
B:结核菌素试验
C:全胃肠道钡餐检查
D:结肠镜检查
E:血沉+C反应蛋白
肝硬化并发原发性腹膜炎时腹水性质是()。
A:漏出液
B:渗出液
C:血性腹水
D:乳糜液
E:界于渗出液与漏出液之间

男性,45岁。上腹隐痛6年,为空腹时疼痛,进餐后可缓解,1年前患者行胃肠钡透提示十二指肠球部变形,2天前因大量进食后出现上腹疼痛加重,疼痛可向腰背部放散,查体:上腹部压痛、反跳痛及肌紧张,急检血常规提示:白细胞为11×109/L,中性粒细胞78%。



第1题,共3个问题
(单选题)最易发生幽门梗阻的溃疡是()。
A:胃角溃疡
B:胃窦溃疡
C:球后溃疡
D:胃多发性溃疡
E:幽门管溃疡

第2题,共3个问题
(单选题)消化性溃疡的重要病因是()。
A:幽门螺杆菌感染
B:非甾体类消炎药
C:吸烟
D:胃酸、胃蛋白酶
E:遗传

第3题,共3个问题
(单选题)该患者初步诊断为()。
A:急性重症胰腺炎
B:胃溃疡穿孔
C:绞窄性肠梗阻
D:十二指肠溃疡穿孔
E:胃癌
当腹内有游离腹水出现移动性浊音时,腹腔游离腹水量最少应超过()。
A:100ml
B:200ml
C:500ml
D:1000ml
E:2000ml
女,36岁,低热、乏力,腹胀不适1月余,结合影像检查,应考虑为( )
A:肝硬化腹水
B:结核性腹膜炎
C:腹腔转移瘤
D:心源性腹腔积液
E:急性化脓性腹膜炎
患者男,58岁。饮酒30余年。5小时前大量饮酒后突然出现上腹痛,弯腰抱脓体位疼痛缓解,伴呕吐及发热,1小时前出现幻觉及烦躁不安。查体:意识恍惚,计算力、定向力降低,查体不配合。关于淀粉酶与急性胰腺炎的关系,下列哪项说法正确()。
A:淀粉酶升高不一定是胰腺炎
B:淀粉酶正常可除外胰腺炎
C:淀粉酶的高低与胰腺炎的病情程度呈正相关
D:尿淀粉酶敏感性最强
E:血脂肪酶特异性最高
F:血脂肪酶持续时间最长
男性,45岁。因大量进食后突发持续性疼痛,扩散至全腹,查体:全腹压痛、反跳痛及肌紧张,X线检查可见膈下新月形气体,诊断为()。
A:急性胰腺炎
B:胃十二指肠溃疡穿孔
C:急性阑尾炎穿孔
D:绞窄性肠梗阻
E:缺血性肠病
对消化不良伴有严重腹泻患者的治疗,错误的是()。
A:重症患者摄入的总热量逐步提高
B:高碳水化合物饮食
C:高蛋白质饮食
D:摄入高维生素
E:摄入高脂肪
男性患者,51岁。乙肝病史19年,大量饮酒史30年,1年来出现乏力、腹胀、尿量减少,偶有牙出血和鼻出血。1天前,劳累后突然出现恶心,呕新鲜血,含有血块,共约1000ml。查体:BP85/40mmHg,P130次/分,神志淡漠。在积极治疗上述症状的同时应该()。
A:预防心力衰竭
B:预防感染
C:预防肝性脑病
D:预防出血量进一步增大
E:预防肾衰竭
胆囊的主要功能是( )
A:脂肪的消化与吸收
B:免疫凋节
C:分泌粘液
D:浓缩、贮存、排泄胆汁
E:调节胆红素代谢
用甲硝唑和万古霉素治愈的艰难梭菌感染的患者

第1题,共2个问题
(单选题)复发率是()。
A:5%~10%
B:15%~30%
C:20%~40%
D:60%
E:>60%

第2题,共2个问题
(单选题)治疗复发患者,恰当的方法是()。
A:增加疗程至30d
B:增加抗生素的剂量
C:增加消胆胺的量以结合毒素
D:和第一疗程使用相同的抗生素,但增加疗程至14d
E:换用其他抗生素
溃疡性结肠炎的主要病理特点为( )
A:结肠壁全层性炎症
B:病变是节段性分布
C:病变主要限于大肠粘膜
D:病变主要限于大肠粘膜与粘膜下层
E:病变先发生于盲肠,后向下侵犯远端结肠
常用于胰腺内分泌肿瘤的生物治疗为()。
A:干扰素
B:生长抑素类似物
C:生长抑素
D:胸腺肽
E:格列卫
慢性萎缩性胃炎分为__________和__________两类。前者主要由_________引起,萎缩病变主要位于___________;后者主要由_________引起,萎缩病变主要位于___________。
男,45岁,近10天出现食欲不振、恶心、呕吐,伴乏力,尿黄来医院就诊。检查:巩膜黄染,可见肝掌和数枚蜘蛛痣,肝肋下未触及,脾肋下1.0cm。化验:肝功ALT450U/L,AST510U/L、T-Bil86.5μmol/L,ALB42g/L,GLB35g/L,anti-HAV-IgM阳性,乙肝五项全为阴性。患者1989年因外伤后行手术治疗,术中输血1600ml。对该患者当前的治疗原则应()。
A:应用干扰素抗病毒治疗为主要目的
B:以保肝、降酶、退黄为主要目的,恢复正常肝功能,防止重型肝炎发生
C:应用免疫调节药物,以抑制甲型肝炎病毒和丙型肝炎病毒的复制
D:加强营养支持,适当药物治疗
E:应用激素退黄
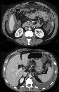
下列何项是诊断胰腺坏死的最佳方法()。
A:B超
B:生化检查
C:增强CT
D:白细胞计数
E:腹部平片
肝硬化腹水患者,行护肝,利尿治疗,昨晚述乏力,腹胀,今晨起意识不清,为查明原因先作哪项检查( )
A:血常规
B:血电解质
C:血氨
D:肾功
E:肝功
男,60岁,反复上腹痛3年,疼痛节律不明显,食欲差,体重下降。突发呕血3次,约1000ml,经积极治疗24小时,出血仍不止。血压为90/50mmHg,用下列哪种方法治疗为宜( )
A:注射立止血
B:法莫替丁静滴
C:尽快手术治疗
D:口服凝血酶
E:去甲肾上腺素冰盐水灌注
有关肝细胞性黄疸哪种说法错误( )
A:血中结合胆红素及非结合胆红素均增加
B:血中结合胆红素增加幅度多高于非结合胆红素
C:尿中胆红素定性实验阳性
D:尿胆原多减少或缺如
E:肝功能多有不同程度损害