出自:神经病学高级职称

诊断椎管内肿瘤最可靠的根据是()。
A:腰椎穿刺示压颈试验完全梗阻
B:脑脊液蛋白增高
C:脊髓造影所见
D:脊柱X线平片所见
E:脊髓同位素扫描
多发性硬化病理中不出现的病理变化是( )
A:损害以白质为主,分布在脑室周围
B:沿小静脉周围有炎症细胞
C:神经胶质的硬化斑
D:髓鞘的崩解和脱失
E:传导束(纤维束)变性
Schilder病
muscular pseudohypertrophy
原发性进行性失语
垂体瘤导致的视野障碍最常见的是( )
A:双鼻侧偏盲
B:双颞侧偏盲
C:双眼同向偏盲
D:象限盲
E:单眼偏盲
简述需与三叉神经痛鉴别的疾病是什么?
男性,40岁,1年来双下肢进行性无力,9个月来双脐水平以下深浅感觉减退,3个月来排尿困难,便秘。检查:双下肢肌力3级,肌张力明显增高,膝腱反射和跟腱反射亢进,双侧病理反射(+)。T10以下痛觉、温度觉、位置觉、音叉觉均明显减退。腰椎穿刺:压颈试验示不完全梗阻,脑脊液细胞数、糖和氯化物正常,蛋白0。9g/L(90mg%)。最可能的诊断是()。
A:急性脊髓炎
B:脊髓亚急性联合变性
C:运动神经元病
D:脊髓压迫症
E:急性炎症性脱髓鞘性多发性神经病
视觉失认多见于__________、__________和__________的病变。
脑出血患者无高热、多汗、呕吐或腹泻等症状的前提下,每日的入液量一般是( )
A:3000ml
B:尿量+500ml
C:尿量+1000ml
D:800~1000ml
E:2000~2500ml
动眼神经、()和外展神经,颅神经损害可出现复视。
下列哪种疾病是由朊蛋白致病的( )
A:急性播散性脑脊髓炎
B:皮质—纹状体—脊髓变性
C:进行性多灶性白质脑病
D:亚急性硬化性全脑炎
E:橄榄—脑桥—小脑萎缩
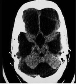
根据CT表现考虑为( )
A:Dandy-Walker综合征
B:Arnold-Chiari畸形
C:颅底凹陷症
D:大脑导水管狭窄
E:上矢状窦血栓形成

八岁女孩,目前发生左手和左前臂抽搐,最后扩大到整个左上肢抽搐1分钟。连续发作2次后,左上肢肌力Ⅲ级,肱二头肌、肱三头肌腱反射减退。1天后肢体肌力和体征完全恢复正常。



第1题,共3个问题
(单选题)本病最可能的定位诊断中病损在( )
A:右侧内囊
B:右侧中央前回
C:左侧中央后回
D:右侧中央后回
E:左侧中央前回

第2题,共3个问题
(单选题)本例癫痫发作的类型是( )
A:儿童良性中央一颞部棘波癫痫
B:儿童良性枕区放电癫痫
C:阵挛性发作
D:部分运动性发作
E:复杂部分性发作

第3题,共3个问题
(单选题)首选治疗药物是( )
A:氯硝西泮
B:苯妥英钠
C:卡马西平
D:乙琥胺
E:扑米酮
病毒性脑膜炎是常累及__________和________的弥漫性炎症,主要的临床表现是__________、__________和__________。
简述少年近端型脊髓性肌萎缩症与肌营养不良症的鉴别。
具有广谱抗单纯疱疹病毒作用并且对机体毒性相对较低的鸟嘌呤衍生物类药是( )
可以使人体产生内源性干扰素,从而发挥抗病毒作用的药物是( )
可使正常淋巴细胞致敏而转化为免疫淋巴细胞的药物是( )
A:地塞米松
B:阿昔洛韦
C:干扰素
D:麻疹活疫苗
E:转移因子
神经源性体位性低血压,是一种少见的特发性多系统变性病,其最具特征性的临床特点是__________,还可有__________、__________、__________、__________。
最易发生脑梗死的血管是椎-基底动脉系。( )
垂体瘤( )
视束病变( )
枕叶病变( )
外侧膝状体病变( )
A:同向偏盲
B:象限偏盲
C:同向偏盲伴黄斑回避现象
D:双颞侧偏盲
E:单眼失明
叙述多梗死性痴呆的特点和诊断标准。
艾滋病患者易并发的原发性淋巴瘤的发生率最多为( )
A:3%
B:4%
C:5%
D:6%
E:7%
甘露醇从肾脏排泄时可以带走大量水分,因此可以用来降低脑水肿,大约每8克甘露醇可以带出水分量为( )
A:25ml
B:50ml
C:100ml
D:200ml
E:150ml
Duchenne型肌营养不良症患者可有下列哪些临床表现( )
A:男性,多在12岁以后发病
B:鸭步
C:Gower征阳性
D:腓肠肌假性肥大
E:翼状肩胛
昂伯氏征
膝反射消失可能受损的部位是( )
A:T
B:T
C:S
D:L
E:S
基底动脉的尖端分出的两对动脉是_____________和___________,以上血管闭塞后可出现基底动脉尖综合征,主要的临床表现是____________、___________、__________________和___________。
体姿
癫痫患者服用抗癫痫药切忌( )
A:用药剂量太小
B:同时合用两种药
C:只在夜间服
D:药物价格太高
E:突然停药
MG的主要临床特征?