自考题库
首页
所有科目
自考历年真题
考试分类
关于本站
游客
账号设置
退出登录
注册
登录
出自:放射医学主治医师
X线片上的“日光放射”征象见于()
A:骨结核
B:骨肉瘤
C:骨坏死
D:骨巨细胞瘤
E:骨软骨瘤
外中耳畸形
不包括
()
A:听小骨畸形
B:外耳道狭窄及闭锁
C:鼓膜穿孔
D:面神经管异常
E:颈动脉异位
蝶翼征()
A:肺动脉高压
B:间质性肺水肿
C:肺泡性肺水肿
D:肺栓塞
E:动脉导管未闭
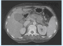
男,56岁。上腹不适3个月,CT检查如图。
第1题,共2个问题
(单选题)CT诊断最可能为()
A:胰腺癌
B:胰腺囊肿
C:慢性胰腺炎
D:胰腺假囊肿
E:急性胰腺炎
第2题,共2个问题
(单选题)CT诊断的主要依据是()
A:胰腺肿块+肿块远侧胰管扩张
B:胰腺囊性病灶+肿块远侧胰腺萎缩
C:胰腺肿块+肿块远侧胰腺萎缩
D:胰管扩张+胰腺萎缩
E:胰腺内低密度灶+腹水
下列哪项
不属于
中耳结构()
A:听小骨
B:咽鼓管
C:鼓室
D:前庭
E:乳突窦
患儿,6岁。活动后心悸、气促。X线平片显示心影呈“方盒”形。最可能的诊断是()
A:三尖瓣下移畸形
B:肺静脉畸形连接
C:大动脉错位
D:先天性主动脉窦瘤
E:先天性右位主动脉弓
好发于斜坡蝶鞍部的肿瘤是()
A:颅内脊索瘤
B:颅咽管瘤
C:胶质瘤
D:生殖细胞瘤
E:室管膜瘤
眶上裂上界为()
A:蝶骨小翼
B:蝶骨大翼
C:蝶骨体
D:额骨
E:以上都不是
卵巢囊肿中最常见的是()
A:单纯囊肿
B:滤泡囊肿
C:巧克力囊肿
D:皮样囊肿
E:多囊性卵巢
下列疾病常常无骨膜反应的是()
A:内生软骨瘤
B:慢性化脓性骨髓炎
C:骨肉瘤
D:动脉瘤样骨囊肿
E:尤因(Ewing)肉瘤
膀胱肿瘤为()
A:膀胱充盈缺损,边缘光整,密度高
B:膀胱缩小,轮廓毛糙即膀胱挛缩
C:膀胱呈"宝塔"状,体积增大,壁增厚
D:膀胱前上方见软组织肿块,在人体中轴线上
E:膀胱内充盈缺损,有强化
脑膜瘤栓塞时,所用固体栓子的大小为()
A:100~150μm
B:150~250μm
C:50~100μm
D:小于50μm
E:250~300μm
患者,男,43岁,右眼突出5个月,甲状腺功能检查正常。CT示右眼眶下直肌肌腹梭形增粗,密度较低,注射造影剂后增强明显。
第1题,共2个问题
(单选题)对眼型Graves病的叙述,正确的是()
A:主要CT特征是眼外肌增厚,眼球突出
B:所有患者都有甲状腺功能亢进的表现
C:球后脂肪间隙模糊
D:常出现钙化
E:肌腱增粗
第2题,共2个问题
(单选题)最可能的诊断为()
A:炎性假瘤
B:横纹肌肉瘤
C:海绵窦瘘,眼外肌充血
D:甲状腺性突眼(眼型Graves病)
E:细菌性眼肌炎
与SE序列相比,FSE或TSE序列的主要优点在于()
A:加快了成像速度
B:T
2
对比更好
C:T
1
对比更好
D:信噪比更高
E:伪影更少
最有利于脉冲方式DSA成像的采集部位()
A:盆腔
B:心脏
C:左冠状动脉
D:右冠状动脉
E:腹部
胃肠钡餐造影时,炎性浸润、结缔组织增生或黏膜下静脉曲张造成()
A:黏膜皱襞破坏、消失
B:黏膜皱襞平坦
C:黏膜皱襞增宽、迂曲
D:黏膜皱襞纠集
E:黏膜皱襞纤细
边缘系统
不包括
()
A:扣带回
B:海马回
C:颞横回
D:钩回
E:杏仁核
患者,男,钳工,摔伤后,右腕疼痛、活动障碍2月,经拍片发现,月骨变形,呈扁平状,体积较小,密度增高,首先考虑为何病()
A:腕月骨缺血坏死
B:月骨结核
C:月骨骨折
D:类风湿关节炎
E:月骨骨髓炎
消化道溃疡最严重的并发症是()
A:穿孔
B:出血
C:幽门梗阻
D:恶变
E:瘢痕形成
咽后脓肿的高发年龄多见于()
A:1岁以内
B:3个月至3岁
C:1岁至5岁
D:学龄期儿童
E:成人多见
女,54岁,超声体检发现肝右后叶直径约2.4cm强回声结节。CT增强扫描(动脉期、静脉期及延迟期三期扫描)如图所示,最有可能的诊断为()
A:肝海绵状血管瘤
B:肝细胞性肝癌
C:转移瘤
D:肝局灶性结节性增生(FNH)
E:肝囊肿
女性生殖系统结核好发于()
A:卵巢
B:宫体
C:宫颈
D:输卵管
E:盆腔
关于肾动脉变异,以下描述
不正确
的是()
A:肾脏可有两支或三支肾动脉供血
B:下腔静脉骑跨肾动脉并从肾动脉间通过(胡桃夹征)
C:迷走肾动脉不可能发自髂动脉
D:迷走肾动脉可发自肾动脉,也可发自腹主动脉
E:迷走肾动脉可不从肾门入肾
扩张型心肌病MRI表现为()
A:以心室腔扩大为主,室间隔亦增厚
B:以心室腔扩大为主,室间隔不增厚
C:以心房腔扩大为主,室间隔亦增厚
D:以心房腔扩大为主,室间隔不增厚
E:心室腔和心房腔均扩大,室间隔增厚
对子宫体癌的描述下列哪项是错误的()
A:绝经后出血
B:多为老年妇女
C:阴道排液
D:超声表现为宫腔病变
E:常合并卵巢囊肿
女,40岁,头部外伤4小时,CT示侧脑室旁白质、胼胝体压部、大脑脚散在斑点样高密度影,提示有可能是()
A:脑出血
B:蛛网膜下腔出血
C:丘脑出血
D:脑穿通伤
E:脑白质剪切伤
肾血管平滑肌脂肪瘤的病理(CT扫描见下图),错误的是()
A:肾实质内肿瘤
B:由三种组织成分构成
C:有包膜
D:可有肾盂肾盏变形
E:肿瘤容易出血
下列关于冠状动脉瘤的CT表现哪项是正确的()
A:多层螺旋CT不能显示动脉瘤全貌
B:CT横断面图像不利于观察动脉瘤壁
C:多见附壁血栓
D:动脉瘤壁无钙化
E:CT横断面图像不利于观察动脉瘤壁局限性或弥漫性扩张,形态为囊状、梭形或不规则形
不符合胆囊癌影像表现的是()
A:分为胆囊壁增厚型、腔内型和肿块型
B:胆囊壁增厚型表现为胆囊壁不规则增厚,局限性或弥漫性厚度常大于10mm
C:腔内型表现为胆囊腔内肿块,基底部胆囊壁增厚
D:肿块型表现为胆囊由一软组织充填或代替
E:增强后多早期较明显强化,且持续时间短
球囊扩张成形术治疗贲门失弛缓症,应选用的球囊直径为()
A:<1.0cm
B:1~1.5cm
C:1.5~2cm
D:3~4cm
E:>4.0cm
首页
<上一页
28
29
30
31
32
下一页>
尾页