出自:内分泌学高级职称

磺脲类降糖药的适应症是()。
A:饮食治疗不能控制的Ⅱ型糖尿病轻中型患者
B:脆性糖尿病患者可与胰岛素合并应用
C:饮食治疗不能控制的无症状糖尿病患者
D:糖尿病患者进行大手术时
E:妊娠糖尿病
肢端肥大症患者手术治愈的标准()。
A:血浆生长激素增多的临床症状消失
B:术后视力恢复正常
C:术后垂体CT正常
D:术后血浆生长激素小于10μg/L,葡萄糖负荷后血浆生长激素小于2μg/L
E:术后血浆生长激素小于5μg/L,葡萄糖负荷后血浆生长激素小于2μg/L
抗甲状腺药物可引起粒细胞减少甚至缺乏,下列哪项说法是错误( )
A:丙硫氧嘧啶不良反应相对较小
B:粒细胞减少多发生在初用药后2~3个月内
C:发生粒细胞减少时应立即停用抗甲状腺药物,粒细胞恢复后再用
D:粒细胞减少多发生在用药后1~2周内
E:各种抗甲状腺药物之间有一定交叉过敏反应
下列各项不支持非胰岛素依赖型糖尿病者为()。
A:胰岛素水平一定不低
B:多为成人发病
C:心血管病变常较严重
D:可用优降糖
E:少发生酮症
甲状腺危象时应用碘剂的作用()。
A:抑制甲状腺激素释放
B:抑制甲状腺激素合成
C:抑制T4向T3的转换
D:阻断甲状腺激素对心脏的兴奋作用
E:破坏甲状腺滤泡细胞
假性甲旁亢是由于各种原因所致的低钙血症,刺激甲状旁腺,使之肥大,分泌过多PTH所致。
男性,20岁,半年前车祸,头部受伤昏迷。近3个月来,多尿,多饮,每日尿量超过6000ml。预计这种异常表现在()。
A:空腹血糖高
B:甲状腺功能亢进
C:尿比重低于1.005
D:血肌酐升高
E:肝酶升高
病历摘要:患者,男性,40岁,因“口渴、多饮1月”来诊。1月前患者无明显诱因出现口渴,多饮,无多食易饥,体重下降。在外院检查示空腹血糖9.8mmol/L。如果患者正在服用格列吡嗪控释片治疗,下列哪一种(或哪几种)药物会增加发生低血糖的风险?()
A:普萘洛尔
B:阿司匹林
C:罗格列酮
D:呋噻米
E:二甲双胍
F:阿卡波糖
肾上腺皮质腺瘤患者,已行腺瘤切除术,术后使用可的松替代治疗的时间多为( )
A:1个月
B:1~6个月
C:6~12个月
D:1~2年
E:长期
女性,36岁。甲亢,服丙硫氧嘧啶月余,症状好转,近2日喉痛,心率增快,全身乏力,似有低热。抗甲状腺药物的不良反应包括()。
A:甲状腺功能低下
B:皮疹
C:粒细胞减少
D:中毒性肝病
E:消化道症状
F:肌无力

男性,50岁。办公室工作,体检发现空腹血糖6.2mmol/L。无多饮、多尿、多食,身高168cm,体重77kg。



第1题,共3个问题
(单选题)为明确诊断,该患者成进行的检查是( )
A:复查空腹血糖
B:检查餐后2小时血糖
C:OGTT
D:IVGTT
E:糖化血红蛋白

第2题,共3个问题
(单选题)该患者的血糖控制的理想目标是( )
A:空腹血血糖4.0~5.5mmol/L,非空腹血糖7.0~7.8mmol/L,糖化血红蛋白6.5%~7.5%
B:空腹血糖4.4~6.1mmol/L,非空腹血糖4.4~8.0mmol/L,糖化血红蛋白<6.5%
C:空腹血糖4.4~6.1mmol/L,非空腹血糖<7.8mmol/L,糖化血红蛋白<7.5%
D:空腹血糖≤7.Ommol/L,非空腹血糖<7.0mmol/L,糖化血红蛋白6.5%~7.5%
E:空腹血糖4.4~6.1mmol/L,非空腹血糖4.4~6.1mmol/L,糖化血红蛋白<8.5%

第3题,共3个问题
(单选题)2年后,该患者空腹血糖8.9mmol/L,餐后2小时血糖15.6mmol/L,体重无变化,首选的口服降糖药是( )
A:阿卡波糖
B:格列齐特
C:二甲双胍
D:瑞格列奈
E:哪格列奈
下列关于肥胖症的描述,错误的是( )
A:体内脂肪堆积过多和(或)分布异常
B:与遗传因素,高热量,高脂饮食,体力活动少有关
C:常与2型糖尿病,高血压,血脂异常集结出现
D:梨型肥胖者比苹果型更易发生代谢综合征
E:腹型肥胖反应的是内脏脂肪蓄积
嗜铬细胞瘤可产生多种肽类激素,其中引起面部潮红的是()。
A:P物质
B:阿片肽
C:生长抑素
D:血清素
E:神经肽Y
患儿女,5岁,因“乳房增大,身高增长加快,阴道分泌物增多1年余”来诊。查体:身高120cm,体重25kg;双侧乳房发育(TannerⅢ期),外阴发育正常,耻骨上毳毛略显增粗,阴蒂无明显肥大,大、小阴唇轻度着色,有少量白色分泌物。

第1题,共2个问题
(单选题)为明确病因下列检查中不必要的是()。
A:骨龄
B:LH、FSH、雌激素
C:子宫、卵巢B超
D:心脏超声
E:GnRH刺激试验

第2题,共2个问题
(单选题)患者目前的诊断是()。
A:单纯乳腺发育
B:性早熟
C:中枢性性早熟
D:外周性性早熟
E:特发性性早熟
糖尿病饮食治疗中三大营养素(碳水化合物、蛋白质、脂肪)含量占饮食总热量百分比分别为( )
A:35%~45%,45%,<20%
B:40%~50%,40%,20%
C:50%~60%,<15%,30%
D:20%~30%,60%,20%
E:<15%,50%,40%
下述哪一点不符合神经内分泌的细胞特征()。
A:属于一些特化的神经细胞
B:通过胞突接受神经冲动
C:由轴突释放神经递质
D:由轴突释放激素物质
E:释放的激素经血运输后,发挥作用
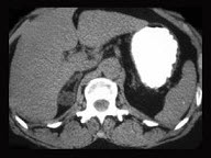
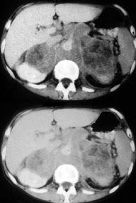
男,76岁,全身浅表淋巴结肿大,请结合下列图片作出诊断( )
A:肾上腺腺瘤
B:肾上腺癌
C:肾上腺嗜铬细胞瘤
D:肾上腺转移瘤
E:肾上腺淋巴瘤
甲减的病理特征是()。
A:黏多糖在组织和皮肤堆积,表现为黏液性水肿
B:以上都不对
C:低渗导致细胞内水肿
D:组织凹陷性水肿
E:高渗导致细胞外水肿
女性,31岁,孕3个月,2个月以来自觉消瘦、易饥、心悸、多汗。轻度突眼,甲状腺二度肿大,质软,无震颤,未闻及血管杂音,心肺腹未见明显异常。

第1题,共3个问题
(单选题)如患者要求手术治疗,应选择以下方案()。
A:先用他巴唑控制病情至症状控制,心率<100次/分,FT3、FT4正常,于妊娠6~9个月手术
B:先用PTU控制病情至症状控制,心率<100次/分,FT3、FT4正常,于妊娠6~9月手术
C:先用PTU控制病情至症状控制,心率<100次/分,FT3、FT4正常,于妊娠4~6月手术
D:先用他巴唑控制病情至症状控制,心率<80次/分,FT3、FT4正常,于妊娠4~6月手术
E:先用PTU控制病情至症状控制,心率<80次/分,FT3、FT4正常,于妊娠4~6月手术

第2题,共3个问题
(单选题)确诊最有价值的辅助检查是()。
A:FT3、FT4
B:TRH兴奋试验
C:TT3、TT4
D:甲状腺131I摄取率
E:sTSH

第3题,共3个问题
(单选题)该患者治疗应注意()。
A:抗甲状腺药量稍小,使甲状腺功能维持在稍高于正常水平,避免应用心得安类药物
B:抗甲状腺药物量及甲状腺功能维持均与正常人相似,无特殊
C:抗甲状腺药物量及甲状腺功能与正常人相似,可应用小剂量心得安类药物
D:抗甲状腺药量稍大,使甲状腺功能维持在稍低于正常水平,避免应用心得安类药物
E:抗甲状腺药量稍大,可与甲状腺制剂合用避免发生甲减
1型糖尿病患者,20岁,2d来出现恶心,面色潮红,呼吸深快,渐发生意识浑浊以致昏迷,最可能的诊断是()。
A:尿毒症酸中毒
B:糖尿病高渗昏迷
C:乳酸性酸中毒
D:呼吸性碱中毒
E:糖尿病酮症酸中毒
什么是胰岛素?
中年男性,午夜突发左踝关节剧痛而惊醒,考虑痛风可能。哪项具有特征性诊断价值( )
A:吲哚美辛诊断性治疗
B:吗啡类诊断性治疗
C:糖皮质激素诊断性治疗
D:秋水仙碱诊断性治疗
E:硝酸甘油诊断性治疗
异位ACTH综合征主要有_________和_________两种临床类型。
诊断不典型甲状腺功能亢进症最有意义的是()。
A:基础代谢率增高
B:甲状腺摄131I率增高
C:血清总三碘甲状腺原氨酸值增高
D:血清蛋白结合碘值增高
E:血胆固醇值降低
甲状旁腺功能减退主要临床表现为反复发作的肾结石、消化性溃疡、精神改变与广泛的骨吸收。
抢救糖尿病酮症酸中毒的主要措施( )
A:抗生素抗炎
B:纠正电解质紊乱
C:补液+胰岛素
D:补液
E:吸氧等对症处理
患者的空腹血糖为7.0mmol/L,下列哪项措施是错误的( )
A:进行OGTT以确诊
B:24小时尿糖定量测定
C:可诊断为糖尿病并予口服降糖药治疗
D:糖基化蛋白测定
E:注意有无服用影响血糖结果的药物
肾上腺皮质腺瘤行大剂量地塞米松抑制试验可被抑制。
下列关于双胍类药物治疗糖尿病正确的是( )
A:能加速无氧糖酵解,抑制糖异生及抑制葡萄糖在胃肠道吸收
B:肥胖的2型糖尿病患者首选
C:肾功能不全患者不宜应用
D:最严重的并发症是引起乳酸酸中毒
E:1型糖尿病不能应用
Cushing综合征患者,血浆ACTH明显升高,大剂量地塞米松不能抑制。为进一步明确诊断下列哪一项检查最有价值( )
A:ACTH兴奋试验
B:蝶鞍拍片
C:双肺拍片
D:甲吡酮试验
E:双侧肾上腺MRI