自考题库
首页
所有科目
自考历年真题
考试分类
关于本站
游客
账号设置
退出登录
注册
登录
出自:放射医学主治医师
患者,女,32岁。闭经泌乳半年,CT冠状扫描示垂体左侧可疑低密度灶,直径约8.0mm。关于影像学分析下列正确的是()
A:必须行矢状位增强扫描
B:延迟扫描显示病灶最清楚
C:动态增强扫描早期垂体显示最佳,病灶最易显示
D:垂体柄向患侧移位
E:出现鞍底骨质改变,不管是否与低密度灶有关均应诊断为垂体微腺瘤
以下关于鼻咽癌介入治疗的方法步骤,错误的是()
A:Seldinger法经皮股动脉穿刺
B:多用6.0F的H
1
H脑动脉导管
C:如果病变超过鼻咽中线,应行双侧上颌动脉插管化疗
D:注射栓塞剂要匀速进行
E:先行健侧颈外动脉插管
属于食管癌的直接征象是()
A:跳跃征
B:狭颈征
C:充盈缺损
D:间位结肠
E:空回肠换位征
Schmorl结节是指椎间盘()
A:向后突出
B:向前突出
C:向椎旁突出
D:向椎体内突出
E:向椎间孔突出
排泄性尿路造影,显示双侧肾盂肾盏受压,呈蜘蛛足样()
A:肾囊肿
B:肾盂癌
C:肾结核
D:重复肾
E:多囊肾
膀胱癌()
A:膀胱壁毛糙不平,膀胱容积缩小
B:边缘多不规则,表面凹凸不平,基底宽,局部膀胱壁变硬,膀胱变形
C:逆行造影,表现为充盈缺损且随体位而动
D:造影早期无明显异常,晚期膀胱容积减小,表面毛糙,偶可见膀胱壁线样钙化
E:可见膀胱一侧壁向膀胱内突出的充盈缺损影,形态可呈圆形或不规则形,体位变后病灶无变化
单侧或双侧肾盂积水及输尿管上部扩张,下段输尿管移位和变细()
A:前列腺囊肿
B:前列腺增生
C:前列腺癌
D:腹膜后纤维化
E:前列腺炎
患者,男,55岁,间断肉眼血尿半年,近期耻骨上方疼痛。MR检查示膀胱壁增厚,膀胱底部可见一大小约3.2cm×2.5cm×3.8cm的菜花状异常信号影,在T1WI上与膀胱壁等信号,高于尿液信号,但低于膀胱周围脂肪信号,T2WI呈中等信号,高于膀胱壁信号。增强扫描病变及增厚的膀胱壁明显不均匀强化。该例最可能的诊断是()
A:膀胱息肉
B:膀胱移行细胞癌
C:膀胱内血凝块
D:膀胱炎局部肉芽组织形成
E:膀胱结石
若要明确诊断,应首选的方法为()
A:X线平片
B:胸部超声
C:MSCTA
D:MRI
E:放射性核素扫描
女,2天,口吐白沫,生后每次哺乳后均出现呕吐、呛咳。结合图像,最可能的诊断为()
A:先天性食管闭锁Ⅰ型
B:先天性食管闭锁Ⅱ型
C:先天性食管闭锁Ⅲ型
D:先天性食管闭锁Ⅳ型
E:先天性食管闭锁Ⅴ型
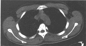
女,43岁,两眼不能完全睁开,全身无力两年余。胸部CT扫描前纵隔内发现肿块,如图,最可能的诊断是()
A:畸胎瘤
B:心包囊肿
C:气管囊肿
D:胸内甲状腺肿
E:胸腺瘤
肾活检后常并发的血肿()
A:血液在肾包膜外吉氏筋膜内
B:局部肾实质损伤,肾内血肿
C:肾实质内出现低密度三角区
D:从肾实质到集合管系统的分裂伤
E:血液在肾外及肾包膜内呈新月形
前列腺癌起源于()
A:中央带
B:外围带
C:移行带
D:前纤维基质区
E:射精管
胸骨左缘3~4肋间全收缩期杂音()
A:房间隔缺损
B:室间隔缺损
C:动脉导管未闭
D:二尖瓣狭窄
E:肺动脉瓣狭窄
患者,男,48岁。主诉为鼻塞、头痛3个月余,患者3个月前始出现鼻塞、流涕,偶有涕中带血,并伴有头痛,呈阵发性,既往体健,否认高血压、心脏病病史。实验室检查未见明显异常。
第1题,共2个问题
(多选题)你认为应做哪些检查()
A:CT
B:MRI
C:ECT
D:X线平片
E:放射性核素骨扫描
F:PET
第2题,共2个问题
(多选题)参考CT图像你的诊断依据是哪些()
A:鼻咽顶后壁软组织增厚达1.5cm,密度不均匀
B:咽隐窝消失,左右两侧轮廓不对称
C:咽旁、颈部淋巴结未见明显肿大
D:颅底及附近骨质有破坏
E:MRI显示软组织及骨质较CT好
F:鼻甲肥大、鼻腔变窄
胆管细胞囊腺癌的CT表现,
不包括
()
A:实质部分为低密度
B:囊壁厚薄不均
C:可见囊壁结节
D:囊内液体密度
E:病变显著强化
痛风性关节炎急性期首先侵犯()
A:腕关节
B:肘关节
C:肩关节
D:膝关节
E:第一跖趾关节
下述子宫输卵管结核最多见的X线表现是()
A:输卵管远端闭塞,局部膨大呈花蕾状或囊状
B:子宫腔狭窄、变形和移位
C:对比剂逆流
D:平片盆腔钙化
E:输卵管狭窄、僵直、边缘不整或串珠状
疲劳性骨折的骨折线多表现为()
A:边缘清楚的带状密度增高影
B:边缘模糊的带状密度增高影
C:边缘清楚的透亮线
D:边缘模糊的透亮线
E:骨折断端错位
男,58岁,上腹部剑突下胀痛3个月余,近期症状加重,伴消瘦、乏力及柏油样便,无黄疸。体检发现左锁骨上两个肿大淋巴结,无压痛,可移动。肝脾肋下未触及。上腹部CT图像如下
根据以上资料,最可能的诊断是()
A:胃恶性间质瘤
B:胃溃疡
C:胃窦癌
D:胃肉瘤
E:胃黑色素瘤
目前,使用最多的CT图像后处理是()
A:多方位重组
B:表面遮蔽技术
C:最大密度投影
D:容积再现
E:CT仿真内镜
Koch三角指的是()
A:冠状窦口前内缘、三尖瓣隔侧尖附着缘和Todaro腱之间的三角区
B:冠状窦口前外缘、三尖瓣隔侧尖附着缘和Todaro腱之间的三角区
C:冠状窦口前内缘、三尖瓣前尖附着缘和To-daro腱之间的三角区
D:冠状窦口前内缘、三尖瓣后尖附着缘和To-daro腱之间的三角区
E:冠状窦口前内缘、三尖瓣隔侧尖附着缘和隔侧乳头肌之间的三角区
应用球囊扩张术治疗贲门失弛缓症时选用球囊的直径是()
A:2cm
B:2.5cm
C:3~4cm
D:5cm以上
E:以上均可
关于摄像管工作原理的描述,错误的是()
A:摄像管的聚焦是用磁的方法实现的
B:摄像管的偏转是用电的方法实现的
C:聚焦线圈可提高聚焦质量
D:校正线圈可提高聚焦质量
E:偏转线圈当通以偏转电流时产生偏转磁场
子宫分叶状增大,密度异常,边缘清楚,可有钙化灶,应考虑为()
A:子宫肌瘤
B:子宫颈癌
C:卵巢畸胎瘤
D:卵巢囊肿
E:盆腔脓肿
正常头颅CT轴位鞍上池呈()
A:圆形或椭圆形
B:梯形或双梯形
C:三角形或梭形
D:长方形或方形
E:五角形或六角形
下列哪种疾病可见Albright综合征()
A:骨软骨瘤
B:骨血管瘤
C:骨髓瘤
D:骨纤维异常增殖症
E:非骨化性纤维瘤
不适用于血管内栓塞治疗的外伤性出血()
A:外伤性脾破裂性出血
B:骨盆骨折所致的直肠破裂出血
C:外伤性肾破裂出血
D:骨盆骨折所致的盆腔大出血
E:外伤性肝破裂出血
患者,男,60岁,右侧颜面肿胀,右眼球渐突出5个月。
第1题,共2个问题
(单选题)CT显示右上颌窦腔增大,窦壁变薄伴局部骨质消失,窦腔内见软组织密度,含气消失。最大可能是()
A:鼻息肉
B:上颌骨骨髓炎
C:黏液囊肿
D:上颌窦癌
E:纤维血管瘤
第2题,共2个问题
(单选题)如果是鼻窦癌,病理上以哪种类型多见()
A:鳞状细胞癌
B:腺癌
C:囊腺癌
D:未分化癌
E:肉瘤
膀胱结核为()
A:膀胱充盈缺损,边缘光整,密度高
B:膀胱缩小,轮廓毛糙即膀胱挛缩
C:膀胱呈"宝塔"状,体积增大,壁增厚
D:膀胱前上方见软组织肿块,在人体中轴线上
E:膀胱内充盈缺损,有强化
首页
<上一页
27
28
29
30
31
下一页>
尾页