自考题库
首页
所有科目
自考历年真题
考试分类
关于本站
游客
账号设置
退出登录
注册
登录
出自:消化内科学高级职称
胃泌素瘤所致溃疡的特点是( )
A:典型部位溃疡
B:多发性溃疡
C:难治性溃疡
D:高胃酸分泌
E:高空腹血清胃泌素
患者男,64岁。间断右上腹疼痛4个月。患者4个月前无明显诱因出现间断右上腹部绞痛,无恶心呕吐,无腹泻,无发热,数小时后腹痛自行缓解。发病以来食欲尚可,大小便正常,体重减轻3kg。查体:一般状态尚可,睑结膜苍白,浅表淋巴结无肿大,心肺查体未见异常,腹平软,肝脾肋下未触及,肝区无叩痛,全腹元压痛,右上腹可触及-鸡蛋大小的包块,质硬,表面光滑,无压痛,活动度好。患者肠镜检查示:横结肠见一菜花状隆起,表面不平,有出血、糜烂,触之易出血,病理检查为结肠高分化腺癌。有哪些处理方法()。
A:外科手术切除
B:抗生素
C:化疗
D:放疗
E:内镜下切除
F:对症支持治疗
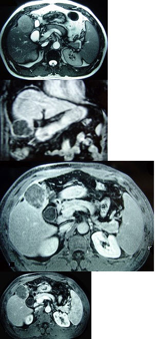
男性,60岁,右上腹胀不适,右肝区叩击痛,影像检查如图,最可能的诊断是( )
A:肝硬化
B:肝硬化、再生性肝癌
C:肝硬化、腹腔间质瘤
D:肝硬化、膈下脓肿
E:肝硬化、结节性增生
急性重型肝炎最常发生于( )
A:HBV感染
B:HCV感染
C:HAV感染
D:HEV感染
E:药物中毒
慢性胃炎应考虑手术治疗的是()。
A:有脐状突起
B:有溃疡形成
C:有重度不典型增生
D:有反复性上消化道出血
E:有血管透见
能保护人体,防止乙肝病毒感染的是( )
存在于受感染的肝细胞核内,不游离存在于血清中的是( )
血清中出现表示体内有乙肝病毒活跃复制的是( )
感染HBV后,血中首先出现的是( )
A:HBsAg
B:抗-HBs
C:HBcAg
D:抗-HBc
E:抗-HBe
消化性溃疡疼痛的特征为()。
A:慢性周期性发作
B:节律性
C:发作与情绪改变、天气变化等诱因有关
D:经用抗酸、解痉药物可缓解
E:持续性疼痛阵发性加剧
女性,35岁,发作性呼吸困难6年,今日在打扫卫生时突然再发,且伴有明显哮鸣音。最可能的疾病是()。
A:支气管哮喘
B:心源性哮喘
C:大面积肺梗死
D:急性心包炎
E:急性心肌梗死
胃酸分泌量最大的时相()。
A:基础分泌
B:胃相
C:迷走相
D:头相
E:肠相
女,58岁,上腹部疼痛半月,无畏寒、发热、黄疸等症状,CT检查如图,最可能的诊断是( )
A:慢性胆囊炎
B:胆囊癌(胆囊壁增厚型)
C:胆囊腺肌增生症
D:胆囊息肉
E:胆囊转移瘤
简述肝性脑病的治疗原则。
具有内源胆酸分泌,降低血胆红素,抑制免疫球蛋白产生的药物是()。
A:水飞蓟素
B:秋水仙碱
C:青霉胺
D:熊去氧胆酸
E:泼尼松
下列哪项不是引起上消化道出血的常见病因()。
A:消化性溃疡
B:急性胃黏膜病变
C:胰腺炎
D:胃癌
E:食管胃底静脉曲张
早期大肠癌病理组织学表述正确的是()。
A:肿瘤已侵及黏膜固有层
B:肿瘤已侵及浆膜层
C:肿瘤已侵及固有肌层伴淋巴结转移
D:肿瘤局限于黏膜下层
E:肿瘤局限于黏膜层,无淋巴结转移
患者男,50岁,腹泻10d,果酱样粪便,6次/d,伴右下腹痛,里急后重。每天下午发热,最高37.8℃。在某诊所诊断为急性胃肠炎,静脉滴注左氧氟沙星,0.2g,2次/d,共1周,症状无缓解。入院查体:腹软,右下腹压痛,无肌紧张,无反跳痛,肝、脾肋下未及。实验室检查:白细胞10.5×10
9
/L,中性粒细胞0.81;粪涂片镜检见大量团聚状红细胞、少量白细胞。 首选的检查是()。
A:实验室检查癌胚抗原
B:结肠镜检查
C:粪便培养
D:新鲜粪便反复送检,寻找寄生虫卵
E:血清ANCA
以下病例最可能的诊断是
第1题,共1个问题
(配伍题)
男性,20岁。中上腹间歇性疼痛1年,伴反酸,胃液分析BA0及MA0均高于正常人水平( )
女性,45岁。既往无胃病史,因为感冒曾服用感冒药数粒,今晨突然呕吐咖啡色液体300ml( )
胃巨大溃疡少见,是老年人消化性溃疡的特点
血清脂肪酶测定对诊断急性胰腺炎的意义为( )
A:对早期诊断有帮助
B:起病后48小时内增高
C:检查技术较简单易行
D:增高越多胰腺病变越严重
E:可诊断血淀粉酶正常的较晚期病例
细菌性痢疾传播途径是( )
A:消化道传播
B:呼吸道传播
C:经血液传播
D:性传播
E:内源性感染
女,52岁,因声音嘶哑、带鼻音就诊。检查时患者张口发“啊”音时腭垂偏向左侧。提示受损神经是()。
A:左侧舌咽神经、迷走神经
B:左侧舌咽神经
C:右侧舌咽神经、迷走神经
D:右侧舌咽神经
E:右侧面神经
肝硬化患者出现内分泌紊乱,下列哪项
不正确
( )
A:醛固酮增多
B:血管升压素增多
C:雌激素增多
D:肾上腺皮质激素增多
E:垂体前叶分泌功能受抑制
女,45岁,胃镜提示:慢性浅表性胃炎,伴胃窦粘膜散在糜烂,活检找到Hp。首选治疗方案为( )
A:西米替丁+氢氧化铝
B:果胶铋+氢氧化铝+阿莫西林
C:奥美拉唑+胶体次枸椽酸铋
D:胶体次枸橼酸铋+克拉霉素+阿莫西林
E:法莫替丁+胶体次枸椽酸铋+克拉霉素
肝硬化腹水少尿时首选哪种利尿剂( )
A:螺内酯
B:速尿
C:氨茶蝶啶
D:双氢克尿塞
E:速尿+氨茶喋啶
患者男,70岁。近2年出现消瘦,进行性吞咽困难,胸骨后疼痛症状,遂来院就诊。若患者出现刺激性干咳、心率加快症状,分析可能为肿瘤细胞侵犯哪些部位所致()。
A:喉返神经
B:气管
C:膈神经
D:迷走神经
E:臂丛神经
F:咽
女,48岁,皮肤巩膜黄染半年,伴瘙痒,食欲减退,大便颜色变浅,性状正常,病后无腹痛及发热,否认肝炎史。查体:巩膜皮肤中度黄染,皮肤有抓痕,心肺听诊正常;腹平软,无压痛。肝肋下1cm,质软,无压痛;脾未扪及。化验:SGPT20u,γ-GT:80u/L,尿胆红素阳性,尿胆原阴性。下述哪项检查能作出明确的定位及定性诊断( )
A:ERCP
B:腹腔镜
C:钡餐
D:胃镜
E:肝扫描
女性,67岁。4个月来出现腰背痛,喜坐位,进食油腻食物时出现上腹部不适和腹泻。查体:上腹轻度压痛,无反跳痛及肌紧张。立位腹平片:第一腰椎左侧可见结石影。血AFP、CEA及CA199正常。
第1题,共3个问题
(单选题)为明确诊断,首要的检查是()。
A:肝胆脾胰超声
B:消化道钡餐
C:淀粉酶及脂肪酶
D:MRCP
E:胃镜
第2题,共3个问题
(单选题)该患者目前诊断为()。
A:胆石症
B:炎症性肠病
C:慢性胆囊炎
D:慢性胰腺炎
E:胰腺癌
第3题,共3个问题
(单选题)还需要与下列哪种疾病鉴别()。
A:胆石症
B:炎症性肠病
C:慢性胆囊炎
D:慢性胰腺炎
E:胰腺癌
促胃液素瘤常起源于()。
A:胃体
B:胃窦
C:胰腺
D:十二指肠
E:胆管
男,40岁,原有风湿性心瓣膜病主动脉瓣关闭不全,因劳累性呼吸困难1周就诊。体检:胸骨左缘第3、4肋间有舒张期哈气样杂音,心尖部有舒张期杂音。
第1题,共3个问题
(单选题)作相关血管检查时不可能存在的是()。
A:脉压增大
B:毛细血管搏动征
C:Duroziez双重杂音
D:奇脉
E:枪击音
第2题,共3个问题
(单选题)关于心尖部舒张期杂音是器质性或是相对性狭窄的鉴别,较不可靠的是()。
A:杂音特点:是否粗糙、递增或递减,有否震颤等
B:拍击性S:有或无
C:开瓣音:有或无
D:心房颤动:有或无
E:X线心影:呈二尖瓣型或呈主动脉型
第3题,共3个问题
(单选题)心脏触诊时,最可能发现的体征是()。
A:心尖搏动移向左下,呈抬举样搏动
B:胸骨右缘第2肋间可触及收缩期震颤
C:心尖区触及收缩期震颤
D:上肢血压高于下肢血压
E:胸骨左下缘收缩期抬举样搏动
在阿米巴肝脓肿中,下列均应手术引流()。
A:左叶肝脓肿
B:右叶肝脓肿
C:经抗阿米巴药物治疗无效及穿刺引流失败者
D:多发性脓肿穿刺引流失败者
E:继发细菌感染者或穿破入腹者
难治性腹水的重要原因是()。
A:门静脉高压
B:血清白蛋白减少
C:肝脏淋巴液生成增加,淋巴回流受阻,自肝表面漏出
D:肾脏血流量减少
E:抗利尿素增多
首页
<上一页
26
27
28
29
30
下一页>
尾页