出自:放射医学主治医师

化脓性关节炎X线表现不包括()
A:关节囊肿胀
B:关节间隙狭窄
C:骨质疏松
D:关节面边缘少许骨质破坏
E:关节骨性强
患者,女,49岁,头痛,MRI表现如下图,最可能的诊断是()
A:硬膜下血肿
B:硬膜下积液
C:Dandy-Walker综合征
D:脑积水
E:蛛网膜囊肿
患者,女,25岁。低热、乏力及微咳,有蛔虫病史。X线见左肺尖淡片状阴影,经抗结核治疗一周该阴影消失,而在肺部其他部位又出现类似阴影。你认为可能性最大的疾病是()
A:过敏性肺炎
B:肺结核
C:葡萄球菌性肺炎
D:支原体肺炎
E:真菌性肺炎

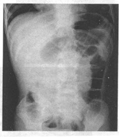
患儿,男,1岁。出现烦躁、啼哭1天,1小时前出现血便。行空气灌肠检查如图。



第1题,共3个问题
(单选题)该患者应首先考虑()
A:肠梗阻
B:肠扭转
C:肠套叠
D:坏死性小肠炎
E:肠结核
F:溃疡性结肠炎

第2题,共3个问题
(多选题)对该病的描述正确的是()
A:分原发性和继发性两种。95%以上为继发性,多为小儿
B:临床上表现为腹痛、呕吐、血便、腹部包块等
C:是婴幼儿最常见的急腹症之一。80%发生于2岁以下的小儿,女性比男性多2~3倍。多突然起病
D:病变早期应趁早手术治疗
E:典型的X线表现为空回肠换位征
F:CT表现为同心圆征

第3题,共3个问题
(单选题)对该病最有价值的影像学检查是()
A:空气或钡灌肠
B:CT
C:MRI
D:腹部平片
E:超声
F:肠镜
施加180°脉冲后,关于质子宏观磁化矢量M的描述,错误的是()
A:M与B0平行
B:M与B0方向相反
C:M与B0垂直
D:Mxy为零
E:Mz达到反向最大值
类风湿关节炎最常见的起始部位()
A:对称的远侧指间关节
B:对称的近侧指间关节
C:对称的掌指关节
D:双腕关节
E:双侧骶髂关节
Calve线()
A:髂翼的外侧面与股骨颈外侧面的弧形连线
B:上耻骨支的下缘与股骨颈内侧缘的弧形连线
C:股骨上干骺端的内侧面与相邻髋臼壁的距离
D:经过两侧"Y"形软骨中央的连线
E:经过髋臼外侧缘向下的垂线
能大致区分胸腔积液性质的影像检查方法为()
A:X线
B:CT
C:MRI
D:CT增强扫描
E:MR增强扫描
肾腺瘤分型中,哪种最多见()
A:乳头状型
B:管状型
C:腺泡型
D:混合型
E:以上都不是
子宫恶性肿瘤()
A:CT提示附件区或子宫直肠陷窝处的均一水样密度肿块,呈圆形或椭圆形,边缘光滑,壁薄,无内隔,增强扫描无强化
B:子宫输卵管造影可见宫腔内圆形充盈缺损,大者可致富腔增大、变形
C:尿路造影输尿管和膀胱受侵,输尿管、肾盂肾盏积水和膀胱壁不规则、僵硬
D:CT提示子宫腔内可见软组织密度肿物,密度低于正常强化的子宫肌,肿瘤呈菜花状或结节状,周围可为更低密度的子宫腔内积液所环绕,也可填充全部子宫腔
E:CT表现为盆腔内水样密度肿块,增强后周边明显环形强化
左心房增大最早出现的X线征象是()
A:轻度肺淤血
B:左心房耳部突出
C:左前斜位左主支气管抬高
D:心脏右缘出现双房影
E:服钡见食管局限性压迹
下列关于肺内支气管与肺动脉的描述中不正确的是()
A:肺内支气管一般与肺动脉分支并行
B:二者的管径大致相等
C:肺外围一般不能显示支气管的断面
D:肺外围一般可能显示肺动脉分支的断面
E:伴行的支气管可以比相邻肺动脉粗2倍以上
大蛋白质分子的共振频率为()
A:显著高于拉摩尔共振频率
B:显著低于拉摩尔共振频率
C:接近拉摩尔共振频率
D:亿万Hz
E:6~65Hz
MRI诊断膝关节交叉韧带撕裂,错误的表述为()
A:横轴位易于显示
B:检查时取仰卧标准解剖正位,也可采用膝关节10°~20°外旋位,足先进
C:交叉韧带扭曲,形态呈波浪状
D:T1WI、T2WI,韧带内均可见不规则高信号灶
E:正常韧带轮廓分裂
对DSA检查最有效的X线光谱是()
A:35~70kev
B:60~70kev
C:35~50kev
D:40~50kev
E:35~60kev
腹膜后最常见的恶性肿瘤是()
A:平滑肌肉瘤
B:纤维组织细胞肉瘤
C:恶性畸胎瘤
D:横纹肌肉瘤
E:脂肪肉瘤
下述子宫肌瘤的CT表现,错误的是()
A:子宫体积增大,可呈分叶状
B:子宫向外突出的软组织密度肿块
C:肿块内钙化
D:肿块内低密度坏死区
E:增强后密度一般较子宫肌层明显增高

患者,男,35岁。畏寒,发热,胸痛,食欲缺乏12天,体温最高时为40℃,伴有咳嗽、咳黏液痰,无咯血,今晨突然咳出大量脓臭痰及坏死组织,痰量约350ml,体温降至37.8℃,全身毒性症状减轻。体检:肺部叩诊浊音,可闻及湿啰音及胸膜摩擦音。



第1题,共3个问题
(单选题)此病例最可能的诊断是()
A:肺脓肿
B:缩窄性心包炎
C:胸腔积液
D:大叶性肺炎
E:肺梗死

第2题,共3个问题
(单选题)该病若确诊,其X线表现应是()
A:肺内见大小结节影,支气管血管束扭曲、聚拢或变形,支气管扩张等
B:两肺多发或单发的球形病灶,其周围见刺状突起及与胸膜的条索影
C:致密的炎症阴影中出现透亮区.其中可见气液平面,可呈多发空洞,周边有渗出表现
D:肺纹理增强、网状及小结节状影、肺气肿,肺门区有时可见“袖口征”
E:肺内单发或多发的球形病灶,可出现厚壁或薄壁空洞

第3题,共3个问题
(单选题)该病最有效的治疗方法是()
A:抗感染治疗
B:B超引导下胸腔穿刺引流
C:透视下胸腔穿刺
D:抗感染治疗+B超引导下胸腔穿刺引流
E:以上都不是
患者,男,56岁。左足肿痛2年。 关于痛风性关节炎描述下列哪些正确()
A:95%男性发病,有家族遗传倾向
B:血清及体液中尿酸增加
C:潜伏期常无症状
D:关节肿痛呈非对称性结节样肿胀
E:皮下有痛风结节
F:常首先出现于第一跖趾关节,关节端出现边缘锐利的小囊状或穿凿状圆形或椭圆形骨缺损区,其边缘翘起突出颇具特征
胃肠钡餐造影时,腔外龛影与憩室的共同之处不包括()
A:均为良性病变
B:均突出于胃肠轮廓之外
C:均有黏膜进入
D:均可呈乳头状
E:均为管壁受累
关于颅面血管瘤病,下列说法错误的是()
A:又称为Sturge-Weber综合征,是先天性神经皮肤血管发育异常
B:主要病理改变为一侧颜面三叉神经分布区有紫色血管瘤
C:以三叉神经眼支分布区最明显
D:CT平扫显示面部血管瘤的对侧大脑半球皮质钙化,呈宽大锯齿状,相应蛛网膜下腔扩大
E:病侧大脑发育不良或萎缩
主动脉瘤在主动脉造影时的表现不符合的是()
A:双腔改变影像
B:主动脉局限性扩张
C:主动脉增宽、延长、迂曲,梅毒性动脉瘤多见
D:升主动脉根部动脉瘤可伴主动脉瓣关闭不全
E:真性动脉瘤表现为囊状、梭形或混合扩张
胃冠状静脉栓塞术()
A:肝外伤破裂出血
B:保守治疗无效的顽固性鼻出血
C:前胸壁出血
D:肺癌伴咯血
E:胃底食管静脉曲张出血
胃肠道疾病的影像学诊断的手段以下列哪一项为主()
A:消化道造影
B:CT
C:MR
D:ECT
E:B超
患者,男,36岁。4天前突发右肾绞痛,B超提示右侧输尿管结石可能,进一步最佳检查为()
A:排泄性尿路造影
B:逆行肾盂造影
C:B超
D:MRI
E:腹部平片
鞍上池内不包括下列哪项结构()
A:垂体柄
B:视束
C:丘脑
D:颈内动脉
E:视交叉
患者,男,48岁,钡餐示食管壁张力减低,蠕动减弱,钡剂排空延迟,并在食管下段见到串珠状充盈缺损影。应首先考虑()
A:食管癌
B:食管下段黏膜下平滑肌瘤
C:反流性食管炎
D:食管裂孔疝
E:食管下段静脉曲张
关于超声下胰腺穿刺活检技术,叙述错误的是()
A:应选择22号细抽吸针,忌用粗针及切割针
B:进针径路应避开大血管,尽量避开肠管
C:抽吸标本时穿刺针尖应在病变内活动,禁止多点多方向采集
D:穿刺后严密观察是否出现出血、胆汁性腹膜炎等
E:抽吸标本应避开坏死区和出血区
患者,男,25岁,胫骨上段疼痛2个月,测体温37.5℃,胫骨上段骨干骺部出现一局限类圆形、边缘清楚的骨破坏,其内见碎屑状死骨,邻近无明显骨质增生,也无骨,膜反应,最大可能为()
A:骨脓肿
B:骨结核
C:骨囊肿
D:骨肉瘤
E:骨巨细胞瘤
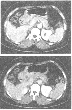
患者,女,56岁,上腹隐痛半年余,黑便。上腹部CT增强扫描图像如下,最有可能的诊断是()
A:胃癌
B:胃溃疡
C:慢性胃窦炎
D:胃淋巴瘤
E:胃间质瘤