自考题库
首页
所有科目
自考历年真题
考试分类
关于本站
游客
账号设置
退出登录
注册
登录
出自:消化内科学高级职称
女性,40岁,便秘10余年,加重半年,排便需要刺激性泻药,且伴左下腹腹胀,排出粪便后可缓解,进食量较前减少,体重有所下降,结肠镜未见异常,考虑肠易激综合征,但还需除外()。
A:结肠癌
B:甲状腺功能减低症
C:结肠冗长
D:先天性巨结肠
E:习惯性便秘
男,45岁。食欲减退、乏力1年。Hb90g/L,红细胞体积分布直方图示峰底增宽的双峰图形。最可能的病因是()。
A:典型缺铁性贫血
B:缺铁性贫血治疗无效
C:缺铁性贫血治疗有效
D:轻型β-珠蛋白生成障碍性贫血
E:典型巨幼细胞贫血
病例摘要:男性,55岁,腹腔积液检查:外观微混,细胞数50×10
6
/L,比重1.010。 该患者腹腔积液蛋白质定量测定时,其含量大约为()。
A:<10g/L
B:<15g/L
C:<20g/L
D:<25g/L
E:<30g/L
男性,66岁,反复咳嗽、咳痰30年,加重伴呼吸困难3天入院。查体:T38.7℃,BP150/90mmHg,口唇发绀,双下肺闻及大量干湿啰音,P
2
>A
2
,三尖瓣区可闻及收缩期杂音。急查血糖7.8mmol/L。 该患者最可能的诊断是()。
A:肺栓塞
B:风湿性心脏病
C:高血压心脏病
D:肺源性心脏病
E:冠状动脉硬化性心脏病
胃蛋白酶在pH为________时失去活性。
男性,60岁,因胃溃疡合并多次大出血,行胃大部切除术
第1题,共3个问题
(单选题)术后10天,已进流质饮食,突然出现呕吐,禁食后症状好转。钡餐检查见输出段有较长狭窄,形似漏斗。该患者可选择的治疗措施
不包括
()。
A:胃肠减压
B:输血
C:应用皮质激素
D:肌内注射新斯的明
E:即刻手术
第2题,共3个问题
(单选题)该患者术后5天出现黑便,最可能的原因是()。
A:小弯侧关闭止血不确切
B:吻合口出血
C:吻合口部分黏膜坏死脱落
D:应激性溃疡
E:术后胃内残余血
第3题,共3个问题
(单选题)该患者术后可能出现的营养性并发症
不包括
()。
A:体重减轻
B:溶血性贫血
C:腹泻
D:脂肪泻
E:骨病
患者女,28岁,间断出现胸骨后疼痛10年,进食后明显,伴卧位时呕吐。
第1题,共2个问题
(单选题)下列检查首选()。
A:胸部X线平片
B:立位腹部X线平片
C:X线钡餐
D:内镜
E:超声心动图
第2题,共2个问题
(单选题)对该患者首选的治疗是()。
A:内镜下探条扩张
B:钙通道阻滞剂
C:硝酸酯类药物
D:气囊扩张
E:止痛、止吐药物
男,28岁,3年来反复乏力,纳差,肝区隐痛,血清转氨酶反复升高,胆红素偏高,血清球蛋白升高类风湿因子阳性。体检:面色灰暗,肝掌及蜘蛛痣,肝右肋下2cm质地中等,脾肋下0.5cm.对此病例的诊断应是( )
A:慢性迁延性肝炎
B:慢性活动性肝炎
C:慢性重型肝炎
D:胆道感染
E:类风湿关节炎
男性,29岁,右上腹饥饿痛反复发作3年,近3天解成形黑便量约500克左右,下列治疗哪项最合适( )
A:禁食+输液+西米替丁
B:立即输血+胃内持续滴注去甲肾上腺素盐水+氢氧化铝凝胶
C:输液+大量冰盐水洗胃+制酸剂
D:流汁饮食+输液+法莫替丁
E:手术治疗
不符合急性胰腺炎的实验室检查的是( )
A:血中正铁血白蛋白阳性
B:暂时性高胆红素血症
C:常见血糖减低
D:AKP、SGPT亦可增高
E:可有高甘油三酯血症
男性患者,42岁,15年前发现乙肝“大三阳”,肝功能正常,未予重视。近5年来刷牙时出现齿龈出血。2个月前无明诱因出现呕血,总量大约1500ml,经常规止血治疗后出血停止。但之后反复腹水,且量逐渐增多,并伴进行性消瘦,右上腹隐痛及黄疸。查体:精神差,消瘦,皮肤巩膜轻至中度黄疸,肝肋下3cm,质硬,触痛,脾肋下2cm,质硬无触痛,腹水征阳性。肝功显示:A/G25/36g/L,ALT45U/L,AST62U/L,GGT212U/L,ALP238U/L,TB64μmol/L,DB47μmol/L,血WBC3.8×10/L,N0.78,10.22,PLT52×10/L。该患者的可能诊断是什么?要明确诊断还需哪些检查?
急性胰腺炎时出现脐周围蓝色改变称( )
胆囊结石嵌顿致急性胆囊炎时最重要体征是( )
胆总管结石并胆管炎时最典型表现是( )
A:Murphy征
B:Charcot征
C:Cullen征
D:Gray-Turner征
E:Whipple三联症
患者男性,48岁,明确诊断肝硬化2年,最近2个月出现齿龈出血、双下肢水肿、腹胀。 患者出现性欲减退、睾丸萎缩、乳房发育及蜘蛛痣是由于( )
A:雄激素过多
B:垂体功能减退
C:雌激素过多
D:肾上腺皮质激素过多
E:以上均不是
有关上消化道出血,下列哪项是
不正确
的( )
A:呕血呈咖啡色,是由于血液经胃酸作用形成正铁血红素所致
B:黑粪呈柏油样,系血红蛋白经肠内硫化物作用而形成硫化铁所致
C:可出现低热,一般不超过38.5℃,可持续3~5天
D:血BUN常增高,大多为6.7~9mmol/L,1周后才降至正常
E:出血早期,血红蛋白、红细胞及血细胞比容均无变化
急性胰腺炎发病过程中,哪种酶与胰腺出血直接有关( )
A:弹力蛋白酶
B:磷脂酶A
C:激肽酶
D:脂肪酶
E:胰蛋白酶
功能性胃肠病
患者女,43岁,肝外胆管结石病史3年,今晨突然右上腹绞痛,并恶心、呕吐,继而出现神志淡漠、嗜睡症状。查体:体温41℃,脉搏125次/min,血压10.67/8.00kPa。该患者最可能的诊断是()。
A:急性胆囊炎
B:肝脓肿
C:急性梗阻性化脓性胆管炎
D:急性胰腺炎
E:胆管蛔虫症
上消化道出血伴休克时首要的治疗是()。
A:胃管注入止血药
B:平卧位,下肢抬高
C:积极补充血容量
D:胃镜止血
E:应用奥美拉唑
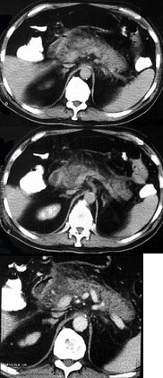
男,32岁,上腹部持续性疼痛,放射至胸背部,高热,恶心呕吐,上腹部压痛反跳痛,CT检查如图,最佳的诊断是( )
A:急性单纯性胰腺炎
B:出血坏死性胰腺炎
C:慢性胰腺炎
D:慢性胰腺炎急性发作
E:胰腺癌
下述关于胃肠激素的描述,哪一项是错误的()。
A:由散在于黏膜层的内分泌细胞分泌
B:均为肽类激素
C:仅存在于胃肠道
D:可调节消化道的运动和消化腺的分泌
E:有些胃肠激素具有营养作用
女性,22岁,解黏液脓血便8个月,伴左下腹部隐痛,里急后重。查体:一般情况尚好,心肺无异常,左下腹部轻压痛。该患者应做哪项检查最合适()。
A:血白细胞计数
B:球蛋白测定
C:腹部超声
D:结肠镜检查
E:大便培养
慢性萎缩性胃炎的患者一般不伴有的情况是()。
A:恶性贫血
B:桥本甲状腺炎
C:白癜风
D:维生素B
12
缺乏
E:甲状腺功能亢进
咽下困难可见于哪些疾病()。
A:重度反流性食管炎
B:食管癌
C:慢性胃炎
D:消化性溃疡
E:胰腺炎
高位肠梗阻呕吐特点( )
A:出现迟,次数多
B:出现早,次数多
C:出现早,次数少
D:出现早,次数多,量多
E:出现迟,次数少,量多
慢性胃炎伴胆汁反流应选用( )
胃溃疡并Hp阳性应选用( )
球溃疡并不完全幽门梗阻应选用( )
A:洛赛克
B:前列腺素E
C:De-nol
D:普鲁苯辛
E:铝碳酸镁
贲门失弛缓症的X线表现()。
A:胸部X线平片可显示纵隔增宽
B:食管下端鸟嘴样改变
C:食管体部扩张
D:食管下段黏膜串珠样改变
E:食管下段黏膜皱襞增粗或纡曲
对肝癌诊断最有价值的体征是哪项( )
A:肝脏大小
B:肝脏的质地
C:肝脏表面是否有结节
D:肝脏表面可听到血管杂音
E:压痛程度
一般怎样才会发展为酒精性肝硬化()。
A:平均每日摄入乙醇60g达10年以上
B:平均每日摄入乙醇40g达10年以上
C:平均每日摄入乙醇100g达10年以上
D:平均每日摄入乙醇20g达10年以上
E:平均每日摄入乙醇80g达10年以上
男性,55岁。既往无胃病史,近半年来,出现上腹隐痛,食欲减退,体重下降,胃镜提示胃角溃疡,约1.5×1.5cm,病理诊断为早期胃癌。首选治疗方案是()。
A:免疫治疗
B:手术治疗
C:内镜下切除
D:动脉栓塞
E:放疗+化疗
甲胎蛋白诊断肝细胞癌下列哪项正确()。
A:正常人血清中无甲胎蛋白
B:阳性者即可诊断
C:阴性者即可排除
D:病情好转时甲胎蛋白降低,恶化时增高
E:反向血凝法检测甲胎蛋白特异性最高
首页
<上一页
25
26
27
28
29
下一页>
尾页