自考题库
首页
所有科目
自考历年真题
考试分类
关于本站
游客
账号设置
退出登录
注册
登录
出自:放射医学主治医师
女,40岁,头痛、头晕半个月。MRI平扫及增强检查图像如图,最可能的诊断为()
A:髓母细胞瘤
B:星形细胞瘤
C:血管母细胞瘤
D:脑膜瘤
E:脑脓肿
鼻窦黏膜下囊肿的MRI信号为()
A:A
B:B
C:C
D:D
E:E
关于纵裂的描述,
不正确
的是()
A:纵裂内是由硬脑膜构成的大脑镰
B:内含静脉窦
C:内含大脑前、中动脉
D:将半球分成两半
E:大脑镰可以增强
在CT图像上腮腺深浅部的分界为()
A:颈内动脉
B:颈外动脉
C:颈内静脉
D:颈外静脉
E:面神经及其分支
部分型肺静脉畸形连接,血流动力学改变与什么疾病类似()
A:动脉导管未闭
B:肺动脉瓣狭窄伴房间隔缺损
C:房间隔缺损
D:法洛四联症
E:以上都不是
心肌缺血MRS检查多检测何种物质()
A:碳
B:氢
C:氧
D:磷
E:氮
患者,男,42岁。每日大量饮酒多年,近期觉双侧髋关节疼痛,并放射痛。
第1题,共3个问题
(多选题)影像学首先应做哪些检查()
A:X线平片
B:CT
C:MRI
D:ECT
E:MRA
F:PET
第2题,共3个问题
(单选题)CT片如下图所示,最有可能的诊断是()
A:强直性脊柱炎
B:退行性骨关节病
C:类风湿关节炎
D:髋关节结核
E:股骨头肿瘤
F:股骨头缺血坏死
第3题,共3个问题
(多选题)以下几项属于该病表现的是()
A:常可发生于外伤后、激素治疗后、酒精中毒、减压病等
B:关节间隙常变窄
C:X线见股骨头皮质下方可出现新月状透亮影以及条带状和斑片状硬化
D:X线见股骨头塌陷、扁平,轮廓不规则;股骨头基底外侧出现平行的双皮质影(双边征)
E:CT见股骨头塌陷碎裂,股骨头内见斑片状、条带状钙质样高密度硬化和软组织密度透光区
F:该病常伴有病理性骨折
下面叙述
不正确
的是()
A:肿瘤手术前栓塞治疗可减少术中出血
B:身体各部位的实体肿瘤出血均可行栓塞治疗
C:肺癌伴咯血可行支气管动脉栓塞
D:肝癌伴门静脉主干癌栓形成,栓塞治疗可延长生存期
E:保守治疗无效的外伤性鼻出血可行颌内动脉栓塞术
关于心脏和大血管的摄片检查,错误的是()
A:能了解心内变化
B:资料能保存供复查时参考
C:可作会诊使用,可供仔细观察与测量
D:可以初步观察心脏形态,估计各房室大小和肺循环异常的类型
E:不能了解动态变化和测算血流动力学情况
下列有关副脾的错误说法是()
A:最常见于脾门附近,单发或多发
B:一般小于4.0cm
C:圆形或卵圆形,密度均匀
D:增强扫描无强化
E:CT值与脾脏完全相同
下列哪一项不是肾上腺嗜铬细胞瘤的CT特点()
A:肿瘤内有脂肪可以呈低密度
B:较小肿瘤密度均匀,类似肾脏的密度
C:较大的肿瘤可以出现囊变
D:增强检查肿瘤明显强化,其内低密度区无强化
E:10%的嗜铬细胞瘤为多发性
下述哪项是骨巨细胞瘤的典型X线征象()
A:位于骨骺处多发性骨质破坏,内有钙化
B:干骺端的囊性破坏区,其透亮区模糊,皮质变薄
C:长骨干骺端的偏心性囊性骨质破坏,边缘硬化
D:骨干的中心性囊性骨质破坏,常伴有病理性骨折
E:位于骨端的膨胀性偏心性囊性骨质破坏,内有皂泡样骨间隔
关于胰腺CT断面解剖论述错误的是()
A:胰腺位于腹膜后肾前间隙中,前为腹膜壁层,后为肾前筋膜
B:胰体、尾层面高于胰头,钩突最低
C:正常胰头宽径最大范围不应超过同层面上椎体的横径
D:胰颈位于胰头、体之间,肠系膜动脉前方,前缘可见边缘凹入
E:胰头在十二指肠内呈圆形或分叶状,下腔静脉在其后方,这是确定胰头的标志
心脏MRI检查的绝对禁忌证是()
A:安装心脏起搏器的患者
B:长期卧床的老年患者
C:下腔静脉置入金属支架的患者
D:体内置有金属节育环的患者
E:装有义齿的患者
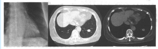
患者,女,35岁。咳嗽1个月余,胸片及CT如下图。
针对上述病例,下列哪种疾病可能性最大()
A:肺癌
B:肺炎性假瘤
C:肺结核球
D:肺错构瘤
E:球形肺炎
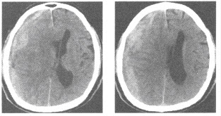
男,74岁,外伤1小时,意识模糊,平扫CT检查如图,最可能的诊断为()
A:硬膜外血肿
B:硬膜下血肿
C:蛛网膜下腔出血
D:脑内血肿
E:脑梗死
膀胱炎()
A:膀胱壁毛糙不平,膀胱容积缩小
B:边缘多不规则,表面凹凸不平,基底宽,局部膀胱壁变硬,膀胱变形
C:逆行造影,表现为充盈缺损且随体位而动
D:造影早期无明显异常,晚期膀胱容积减小,表面毛糙,偶可见膀胱壁线样钙化
E:可见膀胱一侧壁向膀胱内突出的充盈缺损影,形态可呈圆形或不规则形,体位变后病灶无变化
功能性胰岛素瘤的强化特征是()
A:增强后密度稍高于正常胰腺,中心可出现囊变
B:无明显强化
C:增强晚期(静脉期)强化明显
D:环形强化
E:增强早期(动脉期)呈高密度结节或肿块影,CT值明显增高,高于正常胰腺30~50HU以上
下述不是鼻咽癌放疗后CT表现的是()
A:鼻咽壁肌肉水肿、增厚
B:咽隐窝变浅
C:鼻咽腔扩大
D:鼻窦炎
E:乳突炎
鼻咽癌在PFB方案行上颌动脉化疗灌注的基础上进行栓塞化疗时,每侧顺铂微球的用量为()
A:20mg
B:30mg
C:40mg
D:50mg
E:60mg
立位摄像,左肾位于盆腔内,变换体位,只有上下方向,没有左右方向的移位,左输尿管迂曲,其长度与健侧相仿,最可能的诊断为()
A:左侧游走肾
B:左侧移植肾
C:左侧重复肾
D:左侧肾下垂
E:左侧异位肾
颌内动脉栓塞术()
A:肝外伤破裂出血
B:保守治疗无效的顽固性鼻出血
C:前胸壁出血
D:肺癌伴咯血
E:胃底食管静脉曲张出血
颅骨骨瘤在MRI上的信号特点为()
A:A
B:B
C:C
D:D
E:E
检查椎间盘和脊髓的最佳方法是()
A:MRI
B:CT
C:ECT
D:X线平片
E:超声成像
中年男性,全程无痛性血尿半年余,静脉肾盂造影显示肾盂输尿管及膀胱均可见充盈缺损影,最可能的诊断是()
A:移行细胞癌
B:肾癌种植转移
C:肾结核
D:腺瘤
E:转移癌
Seldinger技术发明于()
A:1933年
B:1943年
C:1953年
D:1963年
E:1973年
患者,女,40岁。胸闷气短1个月,伴全身乏力,咳嗽,发热。胸片示:中上纵隔增宽,右缘呈波浪状改变。白细胞:8.0×10
9
/L。为明确诊断,进一步做的检查是()
A:血沉
B:食管钡餐造影
C:痰细胞学检查
D:胸部增强CT检查
E:胸部MRI检查
受累段肾实质呈透明区,肾区缺少一段实质。急性期肾盂肾盏结构正常()
A:肾梗死
B:肾囊性病变
C:肾恶性肿瘤
D:肾脓肿
E:肾良性肿瘤
布-加综合征介入治疗的并发症
不包括
()
A:肺栓塞
B:穿刺损伤
C:右心功能衰竭
D:左心功能衰竭
E:管腔或分流道再狭窄或闭塞
泌尿系结核()
A:活动后血尿
B:全程无痛性血尿
C:尿频尿急后伴血尿
D:乳糜性血尿
E:阵发性高血压
首页
<上一页
25
26
27
28
29
下一页>
尾页